Rabbit anti-Human CLCA4 Polyclonal Antibody | anti-CLCA4 antibody
CLCA4 Antibody
Gene Names
CLCA4; CaCC; CaCC2
Reactivity
Human
Applications
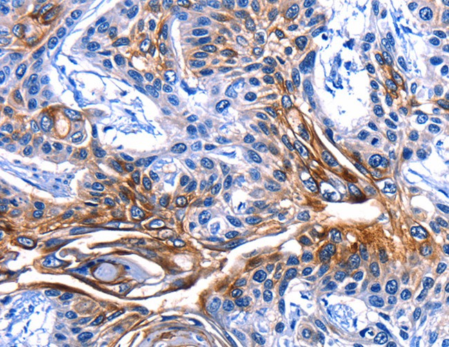
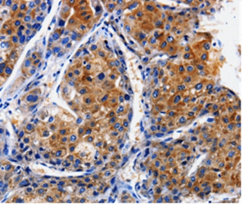
Immunohistochemistry, Western Blot
Purity
Antigen affinity purification.
Synonyms
CLCA4, Antibody; CLCA4 Antibody; CaCC; CaCC2; anti-CLCA4 antibody
Host
Rabbit
Reactivity
Human
Clonality
Polyclonal
Specificity
The antibody detects endogenous levels of total CLCA4 protein.
Purity/Purification
Antigen affinity purification.
Form/Format
Rabbit IgG in pH7.3 PBS, 0.05% NaN3, 50% Glycerol.
Concentration
0.4 mg/ml (varies by lot)
Sequence Length
919
Applicable Applications for anti-CLCA4 antibody
IHC (Immunohistochemistry), WB (Western Blot)
Immunogen Type
Recombinant Protein
Immunogen Description
Fusion protein corresponding to a region derived from internal residues of human Calcium-activated chloride channel regulator 4
Target Name
CLCA4
Preparation and Storage
Store at -20 degree C
Related Product Information for anti-CLCA4 antibody
The protein encoded by this gene belongs to the calcium sensitive chloride conductance protein family. To date, all members of this gene family map to the same site on chromosome 1p31-p22 and share high degrees of homology in size, sequence and predicted structure, but differ significantly in their tissue distributions. Alternative splicing results in multiple transcript variants, only one of which is thought to be protein coding.
Product Categories/Family for anti-CLCA4 antibody
NCBI and Uniprot Product Information
NCBI GI #
NCBI GeneID
NCBI Accession #
NCBI GenBank Nucleotide #
Molecular Weight
25,849 Da
NCBI Official Full Name
calcium-activated chloride channel regulator 4
NCBI Official Synonym Full Names
chloride channel accessory 4
NCBI Official Symbol
CLCA4
NCBI Official Synonym Symbols
CaCC; CaCC2
NCBI Protein Information
calcium-activated chloride channel regulator 4
UniProt Protein Name
Calcium-activated chloride channel regulator 4
UniProt Gene Name
CLCA4
UniProt Synonym Gene Names
CaCC2; hCLCA4; CaCC-2; hCaCC-2
UniProt Entry Name
CLCA4_HUMAN
Customer Reviews
Loading reviews...
Share Your Experience
Similar Products
Product Notes
The CLCA4 clca4 (Catalog #AAA301618) is an Antibody produced from Rabbit and is intended for research purposes only. The product is available for immediate purchase. The CLCA4 Antibody reacts with Human and may cross-react with other species as described in the data sheet. AAA Biotech's CLCA4 can be used in a range of immunoassay formats including, but not limited to, IHC (Immunohistochemistry), WB (Western Blot). Researchers should empirically determine the suitability of the CLCA4 clca4 for an application not listed in the data sheet. Researchers commonly develop new applications and it is an integral, important part of the investigative research process. It is sometimes possible for the material contained within the vial of "CLCA4, Polyclonal Antibody" to become dispersed throughout the inside of the vial, particularly around the seal of said vial, during shipment and storage. We always suggest centrifuging these vials to consolidate all of the liquid away from the lid and to the bottom of the vial prior to opening. Please be advised that certain products may require dry ice for shipping and that, if this is the case, an additional dry ice fee may also be required.Precautions
All products in the AAA Biotech catalog are strictly for research-use only, and are absolutely not suitable for use in any sort of medical, therapeutic, prophylactic, in-vivo, or diagnostic capacity. By purchasing a product from AAA Biotech, you are explicitly certifying that said products will be properly tested and used in line with industry standard. AAA Biotech and its authorized distribution partners reserve the right to refuse to fulfill any order if we have any indication that a purchaser may be intending to use a product outside of our accepted criteria.Disclaimer
Though we do strive to guarantee the information represented in this datasheet, AAA Biotech cannot be held responsible for any oversights or imprecisions. AAA Biotech reserves the right to adjust any aspect of this datasheet at any time and without notice. It is the responsibility of the customer to inform AAA Biotech of any product performance issues observed or experienced within 30 days of receipt of said product. To see additional details on this or any of our other policies, please see our Terms & Conditions page.Item has been added to Shopping Cart
If you are ready to order, navigate to Shopping Cart and get ready to checkout.
