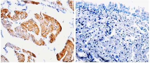
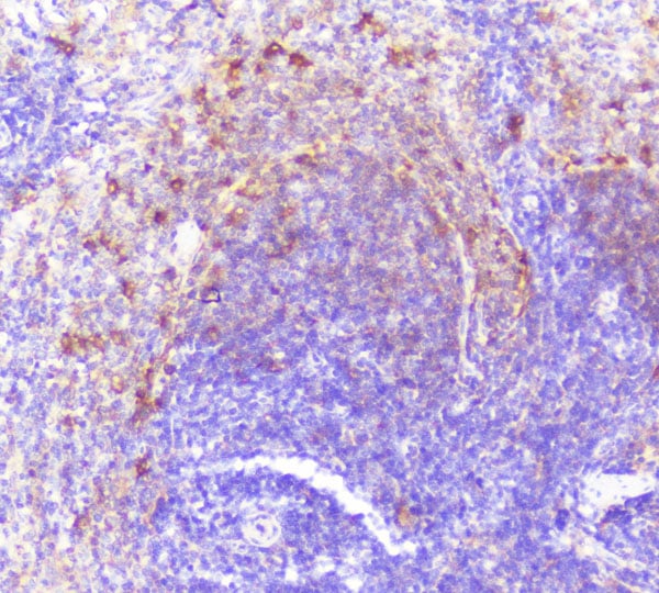
Rabbit Cleaved-Caspase-2 p18 Polyclonal Antibody | anti-CASP2 antibody
Cleaved-Caspase-2 p18 (G170) Polyclonal Antibody
Gene Names
CASP2; ICH1; NEDD2; CASP-2; NEDD-2; PPP1R57
Reactivity
Human, Mouse, Rat
Applications
Western Blot
Synonyms
Cleaved-Caspase-2 p18, Antibody; Cleaved-Caspase-2 p18 (G170) Polyclonal Antibody; CASP2; ICH1; NEDD2; Caspase-2; CASP-2; Neural precursor cell expressed developmentally down-regulated protein 2; NEDD-2; Protease ICH-1; anti-CASP2 antibody
Host
Rabbit
Reactivity
Human, Mouse, Rat
Clonality
Polyclonal
Applicable Applications for anti-CASP2 antibody
WB (Western Blot)
Preparation and Storage
Maintain refrigerated at 2-8 degree C for up to 2 weeks. For long term storage store at -20 degree C in small aliquots to prevent freeze-thaw cycles.
Related Product Information for anti-CASP2 antibody
Involved in the activation cascade of caspases responsible for apoptosis execution. Might function by either activating some proteins required for cell death or inactivating proteins necessary for cell survival (PubMed:15073321). Associates with PIDD1 and CRADD to form the PIDDosome, a complex that activates CASP2 and triggers apoptosis in response to genotoxic stress (PubMed:15073321).
NCBI and Uniprot Product Information
NCBI GI #
NCBI GeneID
NCBI Accession #
NCBI GenBank Nucleotide #
UniProt Accession #
Molecular Weight
50,685 Da
NCBI Official Full Name
caspase-2 isoform 2
NCBI Official Synonym Full Names
caspase 2, apoptosis-related cysteine peptidase
NCBI Official Symbol
CASP2
NCBI Official Synonym Symbols
ICH1; NEDD2; CASP-2; NEDD-2; PPP1R57
NCBI Protein Information
caspase-2; protease ICH-1; protein phosphatase 1, regulatory subunit 57; neural precursor cell expressed developmentally down-regulated protein 2
UniProt Protein Name
Caspase-2
UniProt Gene Name
CASP2
UniProt Synonym Gene Names
ICH1; NEDD2; CASP-2; NEDD-2
UniProt Entry Name
CASP2_HUMAN
Customer Reviews
Loading reviews...
Share Your Experience
Similar Products
Product Notes
The CASP2 casp2 (Catalog #AAA293425) is an Antibody produced from Rabbit and is intended for research purposes only. The product is available for immediate purchase. The Cleaved-Caspase-2 p18 (G170) Polyclonal Antibody reacts with Human, Mouse, Rat and may cross-react with other species as described in the data sheet. AAA Biotech's Cleaved-Caspase-2 p18 can be used in a range of immunoassay formats including, but not limited to, WB (Western Blot). Researchers should empirically determine the suitability of the CASP2 casp2 for an application not listed in the data sheet. Researchers commonly develop new applications and it is an integral, important part of the investigative research process. It is sometimes possible for the material contained within the vial of "Cleaved-Caspase-2 p18, Polyclonal Antibody" to become dispersed throughout the inside of the vial, particularly around the seal of said vial, during shipment and storage. We always suggest centrifuging these vials to consolidate all of the liquid away from the lid and to the bottom of the vial prior to opening. Please be advised that certain products may require dry ice for shipping and that, if this is the case, an additional dry ice fee may also be required.Precautions
All products in the AAA Biotech catalog are strictly for research-use only, and are absolutely not suitable for use in any sort of medical, therapeutic, prophylactic, in-vivo, or diagnostic capacity. By purchasing a product from AAA Biotech, you are explicitly certifying that said products will be properly tested and used in line with industry standard. AAA Biotech and its authorized distribution partners reserve the right to refuse to fulfill any order if we have any indication that a purchaser may be intending to use a product outside of our accepted criteria.Disclaimer
Though we do strive to guarantee the information represented in this datasheet, AAA Biotech cannot be held responsible for any oversights or imprecisions. AAA Biotech reserves the right to adjust any aspect of this datasheet at any time and without notice. It is the responsibility of the customer to inform AAA Biotech of any product performance issues observed or experienced within 30 days of receipt of said product. To see additional details on this or any of our other policies, please see our Terms & Conditions page.Item has been added to Shopping Cart
If you are ready to order, navigate to Shopping Cart and get ready to checkout.
