Rabbit Cleaved-Notch 1 Polyclonal Antibody | anti-NOTCH1 antibody
Cleaved-Notch 1 (V1754) Polyclonal Antibody
Gene Names
NOTCH1; hN1; TAN1
Reactivity
Human, Mouse, Rat
Applications
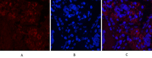
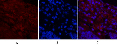
Immunofluorescence, Immunohistochemistry, Western Blot
Synonyms
Cleaved-Notch 1, Antibody; Cleaved-Notch 1 (V1754) Polyclonal Antibody; NOTCH1; TAN1; Neurogenic locus notch homolog protein 1; Notch 1; hN1; Translocation-associated notch protein TAN-1; anti-NOTCH1 antibody
Host
Rabbit
Reactivity
Human, Mouse, Rat
Clonality
Polyclonal
Applicable Applications for anti-NOTCH1 antibody
IF (Immunofluorescence), IHC (Immunohistochemistry), WB (Western Blot)
Preparation and Storage
Maintain refrigerated at 2-8 degree C for up to 2 weeks. For long term storage store at -20 degree C in small aliquots to prevent freeze-thaw cycles.
Related Product Information for anti-NOTCH1 antibody
Functions as a receptor for membrane-bound ligands Jagged-1 (JAG1), Jagged-2 (JAG2) and Delta-1 (DLL1) to regulate cell-fate determination. Upon ligand activation through the released notch intracellular domain (NICD) it forms a transcriptional activator complex with RBPJ/RBPSUH and activates genes of the enhancer of split locus. Affects the implementation of differentiation, proliferation and apoptotic programs. Involved in angiogenesis; negatively regulates endothelial cell proliferation and migration and angiogenic sprouting. Involved in the maturation of both CD4 (+) and CD8 (+) cells in the thymus. Important for follicular differentiation and possibly cell fate selection within the follicle. During cerebellar development, functions as a receptor for neuronal DNER and is involved in the differentiation of Bergmann glia. Represses neuronal and myogenic differentiation. May play an essential role in postimplantation development, probably in some aspect of cell specification and/or differentiation. May be involved in mesoderm development, somite formation and neurogenesis. May enhance HIF1A function by sequestering HIF1AN away from HIF1A. Required for the THBS4 function in regulating protective astrogenesis from the subventricular zone (SVZ) niche after injury. Involved in determination of left/right symmetry by modulating the balance between motile and immotile (sensory) cilia at the left-right organiser (LRO).
NCBI and Uniprot Product Information
NCBI GI #
NCBI GeneID
NCBI Accession #
NCBI GenBank Nucleotide #
Molecular Weight
272,505 Da
NCBI Official Full Name
neurogenic locus notch homolog protein 1 preproprotein
NCBI Official Synonym Full Names
notch 1
NCBI Official Symbol
NOTCH1
NCBI Official Synonym Symbols
hN1; TAN1
NCBI Protein Information
neurogenic locus notch homolog protein 1; Notch homolog 1, translocation-associated; translocation-associated notch protein TAN-1
UniProt Protein Name
Neurogenic locus notch homolog protein 1
UniProt Gene Name
NOTCH1
UniProt Synonym Gene Names
TAN1; Notch 1; hN1; NICD
UniProt Entry Name
NOTC1_HUMAN
Customer Reviews
Loading reviews...
Share Your Experience
Similar Products
Product Notes
The NOTCH1 notch1 (Catalog #AAA293441) is an Antibody produced from Rabbit and is intended for research purposes only. The product is available for immediate purchase. The Cleaved-Notch 1 (V1754) Polyclonal Antibody reacts with Human, Mouse, Rat and may cross-react with other species as described in the data sheet. AAA Biotech's Cleaved-Notch 1 can be used in a range of immunoassay formats including, but not limited to, IF (Immunofluorescence), IHC (Immunohistochemistry), WB (Western Blot). Researchers should empirically determine the suitability of the NOTCH1 notch1 for an application not listed in the data sheet. Researchers commonly develop new applications and it is an integral, important part of the investigative research process. It is sometimes possible for the material contained within the vial of "Cleaved-Notch 1, Polyclonal Antibody" to become dispersed throughout the inside of the vial, particularly around the seal of said vial, during shipment and storage. We always suggest centrifuging these vials to consolidate all of the liquid away from the lid and to the bottom of the vial prior to opening. Please be advised that certain products may require dry ice for shipping and that, if this is the case, an additional dry ice fee may also be required.Precautions
All products in the AAA Biotech catalog are strictly for research-use only, and are absolutely not suitable for use in any sort of medical, therapeutic, prophylactic, in-vivo, or diagnostic capacity. By purchasing a product from AAA Biotech, you are explicitly certifying that said products will be properly tested and used in line with industry standard. AAA Biotech and its authorized distribution partners reserve the right to refuse to fulfill any order if we have any indication that a purchaser may be intending to use a product outside of our accepted criteria.Disclaimer
Though we do strive to guarantee the information represented in this datasheet, AAA Biotech cannot be held responsible for any oversights or imprecisions. AAA Biotech reserves the right to adjust any aspect of this datasheet at any time and without notice. It is the responsibility of the customer to inform AAA Biotech of any product performance issues observed or experienced within 30 days of receipt of said product. To see additional details on this or any of our other policies, please see our Terms & Conditions page.Item has been added to Shopping Cart
If you are ready to order, navigate to Shopping Cart and get ready to checkout.
