Rabbit anti-Human CLEC2D Polyclonal Antibody | anti-CLEC2D antibody
CLEC2D Antibody
Gene Names
CLEC2D; CLAX; LLT1; OCIL
Reactivity
Human
Applications
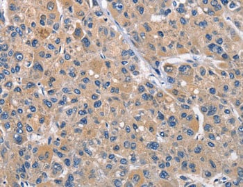
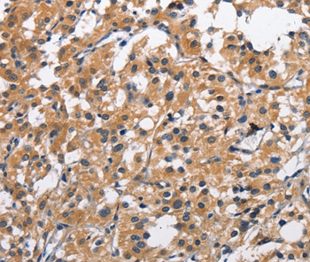
Immunohistochemistry
Purity
Antigen affinity purification.
Synonyms
CLEC2D, Antibody; CLEC2D Antibody; CLAX; LLT1; OCIL; anti-CLEC2D antibody
Host
Rabbit
Reactivity
Human
Clonality
Polyclonal
Specificity
The antibody detects endogenous levels of total CLEC2D protein.
Purity/Purification
Antigen affinity purification.
Form/Format
Rabbit IgG in pH7.3 PBS, 0.05% NaN3, 50% Glycerol.
Concentration
3.1 mg/ml (varies by lot)
Sequence Length
194
Applicable Applications for anti-CLEC2D antibody
IHC (Immunohistochemistry)
Immunogen Type
Recombinant Protein
Immunogen Description
Fusion protein corresponding to a region derived from internal residues of human C-type lectin domain family 2, member D
Target Name
CLEC2D
Preparation and Storage
Store at -20 degree C
Related Product Information for anti-CLEC2D antibody
This gene encodes a member of the natural killer cell receptor C-type lectin family. The encoded protein inhibits osteoclast formation and contains a transmembrane domain near the N-terminus as well as the C-type lectin-like extracellular domain. Several alternatively spliced transcript variants have been identified for this gene.
Product Categories/Family for anti-CLEC2D antibody
NCBI and Uniprot Product Information
NCBI GI #
NCBI GeneID
NCBI Accession #
NCBI GenBank Nucleotide #
Molecular Weight
10,823 Da
NCBI Official Full Name
C-type lectin domain family 2 member D isoform 2
NCBI Official Synonym Full Names
C-type lectin domain family 2, member D
NCBI Official Symbol
CLEC2D
NCBI Official Synonym Symbols
CLAX; LLT1; OCIL
NCBI Protein Information
C-type lectin domain family 2 member D
UniProt Protein Name
C-type lectin domain family 2 member D
UniProt Gene Name
CLEC2D
UniProt Synonym Gene Names
CLAX; LLT1; OCIL; LLT-1
UniProt Entry Name
CLC2D_HUMAN
Customer Reviews
Loading reviews...
Share Your Experience
Similar Products
Product Notes
The CLEC2D clec2d (Catalog #AAA304711) is an Antibody produced from Rabbit and is intended for research purposes only. The product is available for immediate purchase. The CLEC2D Antibody reacts with Human and may cross-react with other species as described in the data sheet. AAA Biotech's CLEC2D can be used in a range of immunoassay formats including, but not limited to, IHC (Immunohistochemistry). Researchers should empirically determine the suitability of the CLEC2D clec2d for an application not listed in the data sheet. Researchers commonly develop new applications and it is an integral, important part of the investigative research process. It is sometimes possible for the material contained within the vial of "CLEC2D, Polyclonal Antibody" to become dispersed throughout the inside of the vial, particularly around the seal of said vial, during shipment and storage. We always suggest centrifuging these vials to consolidate all of the liquid away from the lid and to the bottom of the vial prior to opening. Please be advised that certain products may require dry ice for shipping and that, if this is the case, an additional dry ice fee may also be required.Precautions
All products in the AAA Biotech catalog are strictly for research-use only, and are absolutely not suitable for use in any sort of medical, therapeutic, prophylactic, in-vivo, or diagnostic capacity. By purchasing a product from AAA Biotech, you are explicitly certifying that said products will be properly tested and used in line with industry standard. AAA Biotech and its authorized distribution partners reserve the right to refuse to fulfill any order if we have any indication that a purchaser may be intending to use a product outside of our accepted criteria.Disclaimer
Though we do strive to guarantee the information represented in this datasheet, AAA Biotech cannot be held responsible for any oversights or imprecisions. AAA Biotech reserves the right to adjust any aspect of this datasheet at any time and without notice. It is the responsibility of the customer to inform AAA Biotech of any product performance issues observed or experienced within 30 days of receipt of said product. To see additional details on this or any of our other policies, please see our Terms & Conditions page.Item has been added to Shopping Cart
If you are ready to order, navigate to Shopping Cart and get ready to checkout.
