Rabbit COL18A1 Polyclonal Antibody | anti-COL18A1 antibody
COL18A1 Antibody
Phosphate buffered saline, pH 7.4, 150mM NaCl, 0.02% sodium azide and 50% glycerol.
IF (Immunofluorescence)
(AAA326342 staining HepG2 cells by IF/ICC. The sample were fixed with PFA and permeabilized in 0.1% Triton X-100, then blocked in 10% serum for 45 minutes at 25 degree C. The primary antibody was diluted at 1/200 and incubated with the sample for 1 hour at 37 degree C. An Alexa Fluor 594 conjugated goat anti-rabbit IgG (H+L) antibody, diluted at 1/600, was used as secondary antibody.)
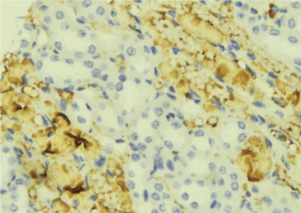
IHC (Immunohiostchemistry)
(AAA326342 at 1/100 staining Mouse liver tissue by IHC-P. The sample was formaldehyde fixed and a heat mediated antigen retrieval step in citrate buffer was performed. The sample was then blocked and incubated with the antibody for 1.5 hours at 22 degree C. An HRP conjugated goat anti-rabbit antibody was used as the secondary.)
WB (Western Blot)
(Western blot analysis of extracts of A431, using COL18A1 antibody. The lane on the left is treated with the antigen-specific peptide.)
Function: Probably plays a major role in determining the retinal structure as well as in the closure of the neural tube.
Subunit Structure: Non-collagenous domain 1 forms homotrimers. Endostatin is monomeric (PubMed:11257123). Recombinant non-collagenous domain 1 has stronger affinity to NID1, HSPG2 and laminin-1:NID1 complex and lower affinity to FBLN1 and FBLN2 than endostatin. Endostatin interacts with KDR/VEGFR2. Endostatin interacts with the ITGA5:ITGB1 complex (By similarity).
Post-translational Modifications: Prolines at the third position of the tripeptide repeating unit (G-X-Y) of the triple-helical regions are hydroxylated. Circulating endostatins are found as sialoglycoprotein and asialoglycoprotein structures. Undergoes proteolytic processing by cathepsin-L and elastase-like proteases to generate both NC1 trimers and endostatin monomers (PubMed:10626789). In vitro, several proteolytic cleavage sites in the non-collagenous domain 1 hinge region generating different endostatin-like peptides are reported (By similarity).
Similarity: Belongs to the multiplexin collagen family.
NCBI and Uniprot Product Information
Predicted: 179 kDa
Customer Reviews
Loading reviews...
Share Your Experience
Similar Products
Product Notes
The COL18A1 col18a1 (Catalog #AAA326342) is an Antibody produced from Rabbit and is intended for research purposes only. The product is available for immediate purchase. The COL18A1 Antibody reacts with Human, Mouse, Rat and may cross-react with other species as described in the data sheet. AAA Biotech's COL18A1 can be used in a range of immunoassay formats including, but not limited to, ELISA, ICC (Immunocytochemistry), IF (Immunofluorescence), IHC (Immunohistochemistry), WB (Western Blot). Researchers should empirically determine the suitability of the COL18A1 col18a1 for an application not listed in the data sheet. Researchers commonly develop new applications and it is an integral, important part of the investigative research process. It is sometimes possible for the material contained within the vial of "COL18A1, Polyclonal Antibody" to become dispersed throughout the inside of the vial, particularly around the seal of said vial, during shipment and storage. We always suggest centrifuging these vials to consolidate all of the liquid away from the lid and to the bottom of the vial prior to opening. Please be advised that certain products may require dry ice for shipping and that, if this is the case, an additional dry ice fee may also be required.Precautions
All products in the AAA Biotech catalog are strictly for research-use only, and are absolutely not suitable for use in any sort of medical, therapeutic, prophylactic, in-vivo, or diagnostic capacity. By purchasing a product from AAA Biotech, you are explicitly certifying that said products will be properly tested and used in line with industry standard. AAA Biotech and its authorized distribution partners reserve the right to refuse to fulfill any order if we have any indication that a purchaser may be intending to use a product outside of our accepted criteria.Disclaimer
Though we do strive to guarantee the information represented in this datasheet, AAA Biotech cannot be held responsible for any oversights or imprecisions. AAA Biotech reserves the right to adjust any aspect of this datasheet at any time and without notice. It is the responsibility of the customer to inform AAA Biotech of any product performance issues observed or experienced within 30 days of receipt of said product. To see additional details on this or any of our other policies, please see our Terms & Conditions page.Item has been added to Shopping Cart
If you are ready to order, navigate to Shopping Cart and get ready to checkout.
