Rabbit Collagen IV Polyclonal Antibody | anti-COL4A1 antibody
Collagen IV Antibody
Phosphate buffered saline, pH 7.4, 150mM NaCl, 0.02% sodium azide and 50% glycerol.
IHC (Immunohistochemistry)
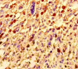
(AAA321071 at 1/100 staining Human Melanoma tissue by IHC-P. The sample was formaldehyde fixed and a heat mediated antigen retrieval step in citrate buffer was performed. The sample was then blocked and incubated with the antibody for 1.5 hours at 22 degree C. An HRP conjugated goat anti-rabbit antibody was used as the secondary.)
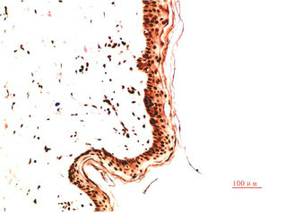
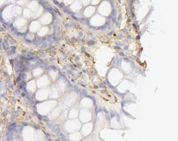
IHC (Immunohistochemistry)
(AAA321071 at 1/100 staining human colon cancer tissues sections by IHC-P. The tissue was formaldehyde fixed and a heat mediated antigen retrieval step in citrate buffer was performed. The tissue was then blocked and incubated with the antibody for 1.5 hours)
WB (Western Blot)
(Western blot analysis on HeLa cell lysate using Collagen IV Antibody, The lane on the left is treated with the antigen-specific peptide.)
WB (Western Blot)
(Western blot analysis of extracts from 293 and Hela, using Collagen IV Antibody.)
IF (Immunofluorescence)
(AAA321071 staining HeLa cells by IF/ICC. The sample were fixed with PFA and permeabilized in 0.1% Triton X-100, then blocked in 10% serum for 45 minutes at 25 degree C. The primary antibody was diluted at 1/200 and incubated with the sample for 1 hour at 37 degree C. An Alexa Fluor 594 conjugated goat anti-rabbit IgG (H+L) antibody, diluted at 1/600, was used as secondary antibody.)
Function: Type IV collagen is the major structural component of glomerular basement membranes (GBM), forming a 'chicken-wire' meshwork together with laminins, proteoglycans and entactin/nidogen.
Subunit Structure: There are six type IV collagen isoforms, alpha 1(IV)-alpha 6(IV), each of which can form a triple helix structure with 2 other chains to generate type IV collagen network.
Post-translational Modifications: Lysines at the third position of the tripeptide repeating unit (G-X-Y) are hydroxylated. The modified lysines can be O-glycosylated. Contains 4-hydroxyproline (Probable). Prolines at the third position of the tripeptide repeating unit (G-X-Y) are hydroxylated in some or all of the chains (By similarity). Contains 3-hydroxyproline. This modification occurs on the first proline residue in the sequence motif Gly-Pro-Hyp, where Hyp is 4-hydroxyproline.Type IV collagens contain numerous cysteine residues which are involved in inter-and intramolecular disulfide bonding (PubMed:2844531). 12 of these, located in the NC1 domain, are conserved in all known type IV collagens. The trimeric structure of the NC1 domains is stabilized by covalent bonds (sulfilimine cross-links) between Lys and Met residues (PubMed:12011424). These cross-links are important for the mechanical stability of the basement membrane (By similarity). Proteolytic processing produces the C-terminal NC1 peptide, arresten.
Similarity: Alpha chains of type IV collagen have a non-collagenous domain (NC1) at their C-terminus, frequent interruptions of the G-X-Y repeats in the long central triple-helical domain (which may cause flexibility in the triple helix), and a short N-terminal triple-helical 7S domain. Belongs to the type IV collagen family.
NCBI and Uniprot Product Information
Predicted: 161 kDa
Customer Reviews
Loading reviews...
Share Your Experience
Similar Products
Product Notes
The COL4A1 col4a1 (Catalog #AAA321071) is an Antibody produced from Rabbit and is intended for research purposes only. The product is available for immediate purchase. The Collagen IV Antibody reacts with Human, Mouse, Rat and may cross-react with other species as described in the data sheet. AAA Biotech's Collagen IV can be used in a range of immunoassay formats including, but not limited to, ELISA, ICC (Immunocytochemistry), IF (Immunofluorescence), IHC (Immunohistochemistry), WB (Western Blot). Researchers should empirically determine the suitability of the COL4A1 col4a1 for an application not listed in the data sheet. Researchers commonly develop new applications and it is an integral, important part of the investigative research process. It is sometimes possible for the material contained within the vial of "Collagen IV, Polyclonal Antibody" to become dispersed throughout the inside of the vial, particularly around the seal of said vial, during shipment and storage. We always suggest centrifuging these vials to consolidate all of the liquid away from the lid and to the bottom of the vial prior to opening. Please be advised that certain products may require dry ice for shipping and that, if this is the case, an additional dry ice fee may also be required.Precautions
All products in the AAA Biotech catalog are strictly for research-use only, and are absolutely not suitable for use in any sort of medical, therapeutic, prophylactic, in-vivo, or diagnostic capacity. By purchasing a product from AAA Biotech, you are explicitly certifying that said products will be properly tested and used in line with industry standard. AAA Biotech and its authorized distribution partners reserve the right to refuse to fulfill any order if we have any indication that a purchaser may be intending to use a product outside of our accepted criteria.Disclaimer
Though we do strive to guarantee the information represented in this datasheet, AAA Biotech cannot be held responsible for any oversights or imprecisions. AAA Biotech reserves the right to adjust any aspect of this datasheet at any time and without notice. It is the responsibility of the customer to inform AAA Biotech of any product performance issues observed or experienced within 30 days of receipt of said product. To see additional details on this or any of our other policies, please see our Terms & Conditions page.Item has been added to Shopping Cart
If you are ready to order, navigate to Shopping Cart and get ready to checkout.
