Rabbit anti-Human, Mouse Collagen VI alpha3 Polyclonal Antibody | anti-COL6A3 antibody
Collagen VI alpha3 Antibody
Gene Names
COL6A3; DYT27
Reactivity
Human, Mouse
Applications
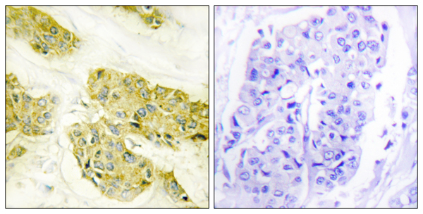
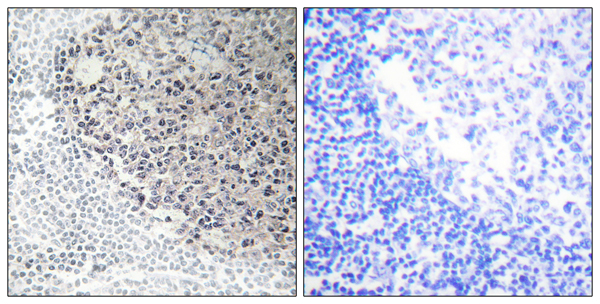
Immunofluorescence, Immunohistochemistry
Purity
The antibody was affinity-purified from rabbit antiserum by affinity-chromatography using epitope-specific immunogen.
Synonyms
Collagen VI alpha3, Antibody; Collagen VI alpha3 Antibody; Collagen VI a3 Antibody; Collagen alpha-3(VI) chain; CO6A3; anti-COL6A3 antibody
Host
Rabbit
Reactivity
Human, Mouse
Clonality
Polyclonal
Specificity
The antibody detects endogenous levels of total Collagen VI a3 protein.
Purity/Purification
The antibody was affinity-purified from rabbit antiserum by affinity-chromatography using epitope-specific immunogen.
Form/Format
Rabbit IgG in phosphate buffered saline (without Mg2+ and Ca2+), pH 7.4, 150mM NaCl, 0.02% sodium azide and 50% glycerol.
Concentration
1.0 mg/ml (varies by lot)
Sequence Length
3177
Applicable Applications for anti-COL6A3 antibody
IF (Immunofluorescence), IHC (Immunohistochemistry)
Immunogen Type
Peptide
Immunogen Description
Synthesized peptide derived from internal of human Collagen VI a3.
Target Name
Collagen VI a3
Preparation and Storage
Store at -20 degree C
Related Product Information for anti-COL6A3 antibody
Collagen VI acts as a cell-binding protein.Chu M.-L., EMBO J. 9:385-393(1990).Zanussi S., J. Biol. Chem. 267:24082-24089(1992).Liu T., J. Proteome Res. 4:2070-2080(2005).
Product Categories/Family for anti-COL6A3 antibody
NCBI and Uniprot Product Information
NCBI GI #
NCBI GeneID
NCBI Accession #
NCBI GenBank Nucleotide #
Molecular Weight
134,707 Da
NCBI Official Full Name
collagen alpha-3(VI) chain isoform 1
NCBI Official Synonym Full Names
collagen, type VI, alpha 3
NCBI Official Symbol
COL6A3
NCBI Official Synonym Symbols
DYT27
NCBI Protein Information
collagen alpha-3(VI) chain
UniProt Protein Name
Collagen alpha-3(VI) chain
UniProt Gene Name
COL6A3
UniProt Entry Name
CO6A3_HUMAN
Customer Reviews
Loading reviews...
Share Your Experience
Similar Products
COL9A3 Antibody
Host: Rabbit
Reactivity: Human
Apps: ELISA, Immunofluorescence, Immunohistochemistry
COL4A3 Antibody
Host: Rabbit
Reactivity: Human
Apps: ELISA, Immunofluorescence, Immunohistochemistry
Product Notes
The COL6A3 col6a3 (Catalog #AAA301387) is an Antibody produced from Rabbit and is intended for research purposes only. The product is available for immediate purchase. The Collagen VI alpha3 Antibody reacts with Human, Mouse and may cross-react with other species as described in the data sheet. AAA Biotech's Collagen VI alpha3 can be used in a range of immunoassay formats including, but not limited to, IF (Immunofluorescence), IHC (Immunohistochemistry). Researchers should empirically determine the suitability of the COL6A3 col6a3 for an application not listed in the data sheet. Researchers commonly develop new applications and it is an integral, important part of the investigative research process. It is sometimes possible for the material contained within the vial of "Collagen VI alpha3, Polyclonal Antibody" to become dispersed throughout the inside of the vial, particularly around the seal of said vial, during shipment and storage. We always suggest centrifuging these vials to consolidate all of the liquid away from the lid and to the bottom of the vial prior to opening. Please be advised that certain products may require dry ice for shipping and that, if this is the case, an additional dry ice fee may also be required.Precautions
All products in the AAA Biotech catalog are strictly for research-use only, and are absolutely not suitable for use in any sort of medical, therapeutic, prophylactic, in-vivo, or diagnostic capacity. By purchasing a product from AAA Biotech, you are explicitly certifying that said products will be properly tested and used in line with industry standard. AAA Biotech and its authorized distribution partners reserve the right to refuse to fulfill any order if we have any indication that a purchaser may be intending to use a product outside of our accepted criteria.Disclaimer
Though we do strive to guarantee the information represented in this datasheet, AAA Biotech cannot be held responsible for any oversights or imprecisions. AAA Biotech reserves the right to adjust any aspect of this datasheet at any time and without notice. It is the responsibility of the customer to inform AAA Biotech of any product performance issues observed or experienced within 30 days of receipt of said product. To see additional details on this or any of our other policies, please see our Terms & Conditions page.Item has been added to Shopping Cart
If you are ready to order, navigate to Shopping Cart and get ready to checkout.
