Rabbit Cortactin Polyclonal Antibody | anti-CTTN antibody
Cortactin Antibody
Phosphate buffered saline, pH 7.4, 150mM NaCl, 0.02% sodium azide and 50% glycerol.
WB (Western Blot)
(Western blot analysis of Cortactin expression in COS7 whole cell lysates, The lane on the left is treated with the antigen-specific peptide.)
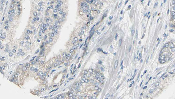
IHC (Immunohiostchemistry)
(AAA322417 at 1/100 staining Human prostate tissue by IHC-P. The sample was formaldehyde fixed and a heat mediated antigen retrieval step in citrate buffer was performed. The sample was then blocked and incubated with the antibody for 1.5 hours at 22 degree C. An HRP conjugated goat anti-rabbit antibody was used as the secondary.)
IF (Immunofluorescence)
(AAA322417 staining HeLa by IF/ICC. The sample were fixed with PFA and permeabilized in 0.1% Triton X-100, then blocked in 10% serum for 45 minutes at 25 degree C. The primary antibody was diluted at 1/200 and incubated with the sample for 1 hour at 37 degree C. An Alexa Fluor 594 conjugated goat anti-rabbit IgG (H+L) Ab, diluted at 1/600, was used as the secondary antibody.)
Function: Contributes to the organization of the actin cytoskeleton and cell shape (PubMed:21296879). Plays a role in the formation of lamellipodia and in cell migration. Plays a role in the regulation of neuron morphology, axon growth and formation of neuronal growth cones (By similarity). Through its interaction with CTTNBP2, involved in the regulation of neuronal spine density (By similarity). Plays a role in the invasiveness of cancer cells, and the formation of metastases (PubMed:16636290). Plays a role in focal adhesion assembly and turnover (By similarity). In complex with ABL1 and MYLK regulates cortical actin-based cytoskeletal rearrangement critical to sphingosine 1-phosphate (S1P)-mediated endothelial cell (EC) barrier enhancement (PubMed:20861316). Plays a role in intracellular protein transport and endocytosis, and in modulating the levels of potassium channels present at the cell membrane (PubMed:17959782). Plays a role in receptor-mediated endocytosis via clathrin-coated pits (By similarity). Required for stabilization of KCNH1 channels at the cell membrane (PubMed:23144454).
Subunit Structure: Interacts with SHANK2 and SHANK3 (via its SH3 domain). Also interacts with FGD1. Identified in a complex containing FGFR4, NCAM1, CDH2, PLCG1, FRS2, SRC, SHC1, GAP43 and CTTN. Interacts with ABL2 (By similarity). Interacts with KCNA2 (via non-phosphorylated C-terminus) (PubMed:12151401). Interacts with PLXDC2 and SRCIN1. Interacts with SAMSN1 (via SH3 domain). Interacts (via SH3 domain) with ASAP1 (via Pro-rich region). Interacts (via SH3 domain) with DNM2 (By similarity). Interacts with ACTN1 (By similarity). Interacts with FER (PubMed:9722593). Forms a complex made of ABL1 and MYLK. Interacts with CTTNBP2NL; this interaction may target CTTN to stress fibers. Interacts with CTTNBP2; this interaction may target CTTN at the cell cortex or dendritic spines. Interacts with KCNH1 (PubMed:23144454).
Post-translational Modifications: Phosphorylated by PKN2 at both serine and threonine residues in a GTP-bound Rac1-dependent manner in hyaluronan-induced astrocytes and hence down-regulated CTTN ability to associates with filamentous actin (By similarity). Phosphorylated on tyrosine residues in response to CHRM1 activation (By similarity). Phosphorylated by PTK2/FAK1 in response to cell adhesion (By similarity). Phosphorylated by FER. Tyrosine phosphorylation in transformed cells may contribute to cellular growth regulation and transformation. Phosphorylated in response to FGR activation. Phosphorylation by SRC promotes MYLK binding.
Similarity: The SH3 motif may mediate binding to the cytoskeleton.
NCBI and Uniprot Product Information
Predicted: 62 kDa
Customer Reviews
Loading reviews...
Share Your Experience
Similar Products
Product Notes
The CTTN cttn (Catalog #AAA322417) is an Antibody produced from Rabbit and is intended for research purposes only. The product is available for immediate purchase. The Cortactin Antibody reacts with Human, Mouse, Rat and may cross-react with other species as described in the data sheet. AAA Biotech's Cortactin can be used in a range of immunoassay formats including, but not limited to, ELISA, ICC (Immunocytochemistry), IF (Immunofluorescence), IHC (Immunohistochemistry), WB (Western Blot). Researchers should empirically determine the suitability of the CTTN cttn for an application not listed in the data sheet. Researchers commonly develop new applications and it is an integral, important part of the investigative research process. It is sometimes possible for the material contained within the vial of "Cortactin, Polyclonal Antibody" to become dispersed throughout the inside of the vial, particularly around the seal of said vial, during shipment and storage. We always suggest centrifuging these vials to consolidate all of the liquid away from the lid and to the bottom of the vial prior to opening. Please be advised that certain products may require dry ice for shipping and that, if this is the case, an additional dry ice fee may also be required.Precautions
All products in the AAA Biotech catalog are strictly for research-use only, and are absolutely not suitable for use in any sort of medical, therapeutic, prophylactic, in-vivo, or diagnostic capacity. By purchasing a product from AAA Biotech, you are explicitly certifying that said products will be properly tested and used in line with industry standard. AAA Biotech and its authorized distribution partners reserve the right to refuse to fulfill any order if we have any indication that a purchaser may be intending to use a product outside of our accepted criteria.Disclaimer
Though we do strive to guarantee the information represented in this datasheet, AAA Biotech cannot be held responsible for any oversights or imprecisions. AAA Biotech reserves the right to adjust any aspect of this datasheet at any time and without notice. It is the responsibility of the customer to inform AAA Biotech of any product performance issues observed or experienced within 30 days of receipt of said product. To see additional details on this or any of our other policies, please see our Terms & Conditions page.Item has been added to Shopping Cart
If you are ready to order, navigate to Shopping Cart and get ready to checkout.
