Rabbit Coupling Factor 6 Polyclonal Antibody | anti-CF6 antibody
Coupling Factor 6 (CF6) Polyclonal Antibody
Gene Names
ATP5PF; F6; CF6; ATP5; ATPM; ATP5A; ATP5J
Reactivity
Human, Mouse, Rat, Dog, Pig
Applications
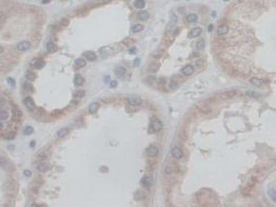
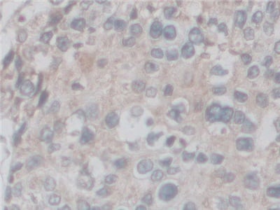
ELISA, Immunohistochemistry, Immunocytochemistry, Western Blot
Purity
Affinity Chromatography
Synonyms
Coupling Factor 6, Antibody; Coupling Factor 6 (CF6) Polyclonal Antibody; ATP5J; ATP5A; ATP5; ATPM; ATP Synthase, H+ Transporting, Mitochondrial Fo Complex, Subunit F6; ATP synthase-coupling factor 6, mitochondrial; anti-CF6 antibody
Host
Rabbit
Reactivity
Human, Mouse, Rat, Dog, Pig
Clonality
Polyclonal
Specificity
The antibody is a rabbit polyclonal antibody raised against CF6. It has been selected for its ability to recognize CF6 in immunohistochemical staining and western blotting.
Purity/Purification
Affinity Chromatography
Form/Format
Supplied as solution form in PBS, pH7.4 containing 0.02% NaN3, 50% glycerol.
Concentration
500ug/mL (varies by lot)
Sequence Length
108
Applicable Applications for anti-CF6 antibody
ELISA, IHC (Immunohistochemistry), ICC (Immunocytochemistry), WB (Western Blot)
Immunoglobulin Type
IgG
Conjugate
No Conjugate
Cross Reactivity
Human, Mouse, Rat
Organism Species
Human
Fragment
CF6 (Met1~Ala108)
Quality Control
Content: The quality control contains recombinant CF6 (Met1~Ala108) disposed in loading buffer.
Usage: 10uL per well when 3,3'-Diaminobenzidine(DAB) as the substrate.
5uL per well when used in enhanced chemilumescent (ECL).
Note: The quality control is specifically manufactured as the positive control.Not used for other purposes.
Loading Buffer: 100mM Tris(pH8.8), 2% SDS, 200mM NaCl, 50% glycerol,BPB 0.01%, NaN3 0.02%.
Usage: 10uL per well when 3,3'-Diaminobenzidine(DAB) as the substrate.
5uL per well when used in enhanced chemilumescent (ECL).
Note: The quality control is specifically manufactured as the positive control.Not used for other purposes.
Loading Buffer: 100mM Tris(pH8.8), 2% SDS, 200mM NaCl, 50% glycerol,BPB 0.01%, NaN3 0.02%.
Conjugated Antibody
The APC conjugated antibody version of this item is also available as
Preparation and Storage
Store at 4 degree C for frequent use. Stored at -20 degree C to -80 degree C in a manual defrost freezer for one year without detectable loss of activity. Avoid repeated freeze-thaw cycles.
NCBI and Uniprot Product Information
NCBI GI #
NCBI GeneID
NCBI Accession #
NCBI GenBank Nucleotide #
Molecular Weight
13,388 Da
NCBI Official Full Name
ATP synthase-coupling factor 6, mitochondrial isoform a
NCBI Official Synonym Full Names
ATP synthase peripheral stalk subunit F6
NCBI Official Symbol
ATP5PF
NCBI Official Synonym Symbols
F6; CF6; ATP5; ATPM; ATP5A; ATP5J
NCBI Protein Information
ATP synthase-coupling factor 6, mitochondrial
UniProt Protein Name
ATP synthase-coupling factor 6, mitochondrial
UniProt Gene Name
ATP5J
UniProt Synonym Gene Names
ATP5A; ATPM; ATPase subunit F6
Customer Reviews
Loading reviews...
Share Your Experience
Similar Products
Product Notes
The CF6 atp5j (Catalog #AAA145161) is an Antibody produced from Rabbit and is intended for research purposes only. The product is available for immediate purchase. The Coupling Factor 6 (CF6) Polyclonal Antibody reacts with Human, Mouse, Rat, Dog, Pig and may cross-react with other species as described in the data sheet. AAA Biotech's Coupling Factor 6 can be used in a range of immunoassay formats including, but not limited to, ELISA, IHC (Immunohistochemistry), ICC (Immunocytochemistry), WB (Western Blot). Researchers should empirically determine the suitability of the CF6 atp5j for an application not listed in the data sheet. Researchers commonly develop new applications and it is an integral, important part of the investigative research process. It is sometimes possible for the material contained within the vial of "Coupling Factor 6, Polyclonal Antibody" to become dispersed throughout the inside of the vial, particularly around the seal of said vial, during shipment and storage. We always suggest centrifuging these vials to consolidate all of the liquid away from the lid and to the bottom of the vial prior to opening. Please be advised that certain products may require dry ice for shipping and that, if this is the case, an additional dry ice fee may also be required.Precautions
All products in the AAA Biotech catalog are strictly for research-use only, and are absolutely not suitable for use in any sort of medical, therapeutic, prophylactic, in-vivo, or diagnostic capacity. By purchasing a product from AAA Biotech, you are explicitly certifying that said products will be properly tested and used in line with industry standard. AAA Biotech and its authorized distribution partners reserve the right to refuse to fulfill any order if we have any indication that a purchaser may be intending to use a product outside of our accepted criteria.Disclaimer
Though we do strive to guarantee the information represented in this datasheet, AAA Biotech cannot be held responsible for any oversights or imprecisions. AAA Biotech reserves the right to adjust any aspect of this datasheet at any time and without notice. It is the responsibility of the customer to inform AAA Biotech of any product performance issues observed or experienced within 30 days of receipt of said product. To see additional details on this or any of our other policies, please see our Terms & Conditions page.Item has been added to Shopping Cart
If you are ready to order, navigate to Shopping Cart and get ready to checkout.
