Rabbit Crk p38 Polyclonal Antibody | anti-CRK antibody
Anti-Crk p38 Antibody
IHC (Immunohistochemistry)
(Anti-Crk p38 Picoband antibody, AAA45651-5.JPGIHC(P): Human Lung Cancer Tissue)
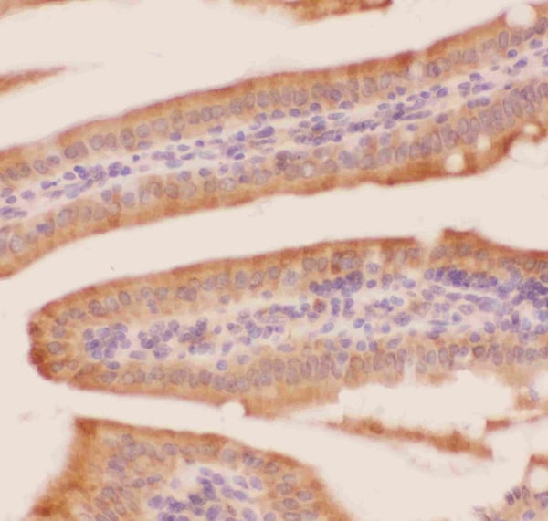
IHC (Immunohistochemisry)
(Anti-Crk p38 Picoband antibody, AAA45651-3.JPGIHC(P): Mouse Intestine Tissue)
Application Data
(Anti-Crk p38 Picoband antibody, AAA45651-2.jpgAll lanes: Anti Crk p38 (AAA45651) at 0.5ug/mlLane 1: Rat Spleen Tissue Lysate at 50ugLane 2: Rat Thymus Tissue Lysate at 50ugLane 3: Rat Liver Tissue Lysate at 50ugLane 4: Mouse Brain Tissue Lysate at 50ugLane 5: HELA Whole Cell Lysate at 40ugLane 6: SMMC Whole Cell Lysate at 40ugPredicted bind size: 34KDObserved bind size: 34KD)
Application Data
(Anti-Crk p38 Picoband antibody, AAA45651-1.jpgAll lanes: Anti Crk p38 (AAA45651) at 0.5ug/mlWB: Recombinant Human CRKp38 Protein 0.5ngPredicted bind size: 38KDObserved bind size: 38KD)
Background: CRK, also known as p38 or CRKII, is a protein that in humans is encoded by the CRK gene. This gene is a member of an adapter protein family that binds to several tyrosine-phosphorylated proteins. It is mapped to 17p13.3. The CRK protein participates in the Reelin signaling cascade downstream of DAB1. The product of this gene has several SH2 and SH3 domains (src-homology domains) and is involved in several signaling pathways, recruiting cytoplasmic proteins in the vicinity of tyrosine kinase through SH2-phosphotyrosine interaction. The N-terminal SH2 domain of this protein functions as a positive regulator of transformation whereas the C-terminal SH3 domain functions as a negative regulator of transformation. Two alternative transcripts encoding different isoforms with distinct biological activity have been described.
NCBI and Uniprot Product Information
Customer Reviews
Loading reviews...
Share Your Experience
Similar Products
Product Notes
The CRK crk (Catalog #AAA45651) is an Antibody produced from Rabbit and is intended for research purposes only. The product is available for immediate purchase. The Anti-Crk p38 Antibody reacts with Human, Mouse, Rat and may cross-react with other species as described in the data sheet. AAA Biotech's Crk p38 can be used in a range of immunoassay formats including, but not limited to, IHC (Immunohistochemistry), WB (Western Blot). Researchers should empirically determine the suitability of the CRK crk for an application not listed in the data sheet. Researchers commonly develop new applications and it is an integral, important part of the investigative research process. It is sometimes possible for the material contained within the vial of "Crk p38, Polyclonal Antibody" to become dispersed throughout the inside of the vial, particularly around the seal of said vial, during shipment and storage. We always suggest centrifuging these vials to consolidate all of the liquid away from the lid and to the bottom of the vial prior to opening. Please be advised that certain products may require dry ice for shipping and that, if this is the case, an additional dry ice fee may also be required.Precautions
All products in the AAA Biotech catalog are strictly for research-use only, and are absolutely not suitable for use in any sort of medical, therapeutic, prophylactic, in-vivo, or diagnostic capacity. By purchasing a product from AAA Biotech, you are explicitly certifying that said products will be properly tested and used in line with industry standard. AAA Biotech and its authorized distribution partners reserve the right to refuse to fulfill any order if we have any indication that a purchaser may be intending to use a product outside of our accepted criteria.Disclaimer
Though we do strive to guarantee the information represented in this datasheet, AAA Biotech cannot be held responsible for any oversights or imprecisions. AAA Biotech reserves the right to adjust any aspect of this datasheet at any time and without notice. It is the responsibility of the customer to inform AAA Biotech of any product performance issues observed or experienced within 30 days of receipt of said product. To see additional details on this or any of our other policies, please see our Terms & Conditions page.Item has been added to Shopping Cart
If you are ready to order, navigate to Shopping Cart and get ready to checkout.
