Rabbit Cryptochrome 2 Polyclonal Antibody | anti-CRY2 antibody
Cryptochrome 2 Antibody
Predicted: Pig, Bovine, Horse, Sheep, Rabbit, Dog
Predicted: Pig, Bovine, Horse, Sheep, Rabbit, Dog
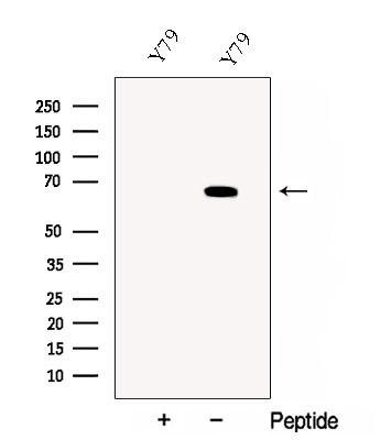
WB (Western Blot)
(Western blot analysis of extracts from Y79 cells, using Cryptochrome 2 Antibody. The lane on the left was treated with blocking peptide.)
WB (Western Blot)
(Western blot analysis of extracts from Huvec, using Cryptochrome 2 Antibody. The lane on the left was treated with blocking peptide.)
Post Translational Modifications: Phosphorylation on Ser-266 by MAPK is important for the inhibition of CLOCK-ARNTL-mediated transcriptional activity. Phosphorylation by CSKNE requires interaction with PER1 or PER2. Phosphorylated in a circadian manner at Ser-554 and Ser-558 in the suprachiasmatic nucleus (SCN) and liver. Phosphorylation at Ser-558 by DYRK1A promotes subsequent phosphorylation at Ser-554 by GSK3-beta: the two-step phosphorylation at the neighboring Ser residues leads to its proteasomal degradation. Ubiquitinated by the SCF(FBXL3) and SCF(FBXL21) complexes, regulating the balance between degradation and stabilization. The SCF(FBXL3) complex is mainly nuclear and mediates ubiquitination and subsequent degradation of CRY2. In contrast, cytoplasmic SCF(FBXL21) complex-mediated ubiquitination leads to stabilize CRY2 and counteract the activity of the SCF(FBXL3) complex. The SCF(FBXL3) and SCF(FBXL21) complexes probably mediate ubiquitination at different Lys residues. The SCF(FBXL3) complex recognizes and binds CRY2 phosphorylated at Ser-554 and Ser-558. Ubiquitination may be inhibited by PER2.
Subunit Structure: Component of the circadian core oscillator, which includes the CRY proteins, CLOCK or NPAS2, ARNTL/BMAL1 or ARNTL2/BMAL2, CSNK1D and/or CSNK1E, TIMELESS, and the PER proteins. Interacts directly with PER1 and PER2 C-terminal domains. Interaction with PER2 inhibits its ubiquitination and vice versa. Interacts with NFIL3. Interacts with FBXL3 (PubMed:17463251). Interacts with FBXL21. FBXL3, PER2 and the cofactor FAD compete for overlapping binding sites. FBXL3 cannot bind CRY2 that interacts already with PER2 or that contains bound FAD. Interacts with PPP5C (via TPR repeats); the interaction downregulates the PPP5C phosphatase activity on CSNK1E (PubMed:16790549). AR, NR1D1, NR3C1/GR, RORA and RORC; the interaction, at least, with NR3C1/GR is ligand dependent. Interacts with PRKDC and CIART. Interacts with ISCA1 (in vitro) (PubMed:26569474).
Similarity: Belongs to the DNA photolyase class-1 family.
NCBI and Uniprot Product Information
Predicted: 67 kDa
Customer Reviews
Loading reviews...
Share Your Experience
Similar Products
Product Notes
The CRY2 cry2 (Catalog #AAA328824) is an Antibody produced from Rabbit and is intended for research purposes only. The product is available for immediate purchase. The Cryptochrome 2 Antibody reacts with Human, Mouse, Rat Predicted: Pig, Bovine, Horse, Sheep, Rabbit, Dog and may cross-react with other species as described in the data sheet. AAA Biotech's Cryptochrome 2 can be used in a range of immunoassay formats including, but not limited to, WB (Western Blot). Researchers should empirically determine the suitability of the CRY2 cry2 for an application not listed in the data sheet. Researchers commonly develop new applications and it is an integral, important part of the investigative research process. It is sometimes possible for the material contained within the vial of "Cryptochrome 2, Polyclonal Antibody" to become dispersed throughout the inside of the vial, particularly around the seal of said vial, during shipment and storage. We always suggest centrifuging these vials to consolidate all of the liquid away from the lid and to the bottom of the vial prior to opening. Please be advised that certain products may require dry ice for shipping and that, if this is the case, an additional dry ice fee may also be required.Precautions
All products in the AAA Biotech catalog are strictly for research-use only, and are absolutely not suitable for use in any sort of medical, therapeutic, prophylactic, in-vivo, or diagnostic capacity. By purchasing a product from AAA Biotech, you are explicitly certifying that said products will be properly tested and used in line with industry standard. AAA Biotech and its authorized distribution partners reserve the right to refuse to fulfill any order if we have any indication that a purchaser may be intending to use a product outside of our accepted criteria.Disclaimer
Though we do strive to guarantee the information represented in this datasheet, AAA Biotech cannot be held responsible for any oversights or imprecisions. AAA Biotech reserves the right to adjust any aspect of this datasheet at any time and without notice. It is the responsibility of the customer to inform AAA Biotech of any product performance issues observed or experienced within 30 days of receipt of said product. To see additional details on this or any of our other policies, please see our Terms & Conditions page.Item has been added to Shopping Cart
If you are ready to order, navigate to Shopping Cart and get ready to checkout.
