Rabbit CSH1 Polyclonal Antibody | anti-CSH1 antibody
CSH1 antibody - middle region
WB (Western Blot)
(WB Suggested Anti-CSH1 Antibody Titration: 1.25ug/mlELISA Titer: 1:312500Positive Control: Human Placenta)
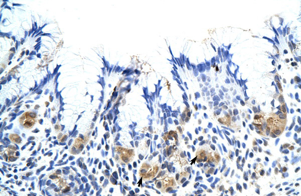
IHC (Immunohistochemistry)
(Rabbit Anti-CSH1 AntibodyParaffin Embedded Tissue: Human StomachCellular Data: Epithelial cells of fundic glandAntibody Concentration: 4.0-8.0 ug/mlMagnification: 400X)
Target Description: CSH1 is a member of the somatotropin/prolactin family of hormones and plays an important role in growth control. This particular family member is expressed mainly in the placenta and utilizes multiple transcription initiation sites. Expression of the identical mature proteins for chorionic somatomammotropin hormones 1 and 2 is upregulated during development, although the ratio of 1 to 2 increases by term. Mutations in this gene result in placental lactogen deficiency and Silver-Russell syndrome.The protein encoded by this gene is a member of the somatotropin/prolactin family of hormones and plays an important role in growth control. The gene is located at the growth hormone locus on chromosome 17 along with four other related genes in the same transcriptional orientation; an arrangement which is thought to have evolved by a series of gene duplications. Although the five genes share a remarkably high degree of sequence identity, they are expressed selectively in different tissues. Alternative splicing generates additional isoforms of each of the five growth hormones, leading to further diversity and potential for specialization. This particular family member is expressed mainly in the placenta and utilizes multiple transcription initiation sites. Expression of the identical mature proteins for chorionic somatomammotropin hormones 1 and 2 is upregulated during development, although the ratio of 1 to 2 increases by term. Mutations in this gene result in placental lactogen deficiency and Silver-Russell syndrome.
NCBI and Uniprot Product Information
Customer Reviews
Loading reviews...
Share Your Experience
Similar Products
Product Notes
The CSH1 csh1 (Catalog #AAA198628) is an Antibody produced from Rabbit and is intended for research purposes only. The product is available for immediate purchase. The CSH1 antibody - middle region reacts with Dog, Guinea Pig, Human, Mouse, Rabbit, Rat and may cross-react with other species as described in the data sheet. AAA Biotech's CSH1 can be used in a range of immunoassay formats including, but not limited to, WB (Western Blot), IHC (Immunohistochemistry). Researchers should empirically determine the suitability of the CSH1 csh1 for an application not listed in the data sheet. Researchers commonly develop new applications and it is an integral, important part of the investigative research process. The amino acid sequence is listed below: Synthetic peptide located within the following region: SMFANNLVYD TSDSDDYHLL KDLEEGIQTL MGRLEDGSRR TGQILKQTYS. It is sometimes possible for the material contained within the vial of "CSH1, Polyclonal Antibody" to become dispersed throughout the inside of the vial, particularly around the seal of said vial, during shipment and storage. We always suggest centrifuging these vials to consolidate all of the liquid away from the lid and to the bottom of the vial prior to opening. Please be advised that certain products may require dry ice for shipping and that, if this is the case, an additional dry ice fee may also be required.Precautions
All products in the AAA Biotech catalog are strictly for research-use only, and are absolutely not suitable for use in any sort of medical, therapeutic, prophylactic, in-vivo, or diagnostic capacity. By purchasing a product from AAA Biotech, you are explicitly certifying that said products will be properly tested and used in line with industry standard. AAA Biotech and its authorized distribution partners reserve the right to refuse to fulfill any order if we have any indication that a purchaser may be intending to use a product outside of our accepted criteria.Disclaimer
Though we do strive to guarantee the information represented in this datasheet, AAA Biotech cannot be held responsible for any oversights or imprecisions. AAA Biotech reserves the right to adjust any aspect of this datasheet at any time and without notice. It is the responsibility of the customer to inform AAA Biotech of any product performance issues observed or experienced within 30 days of receipt of said product. To see additional details on this or any of our other policies, please see our Terms & Conditions page.Item has been added to Shopping Cart
If you are ready to order, navigate to Shopping Cart and get ready to checkout.
