CtBP1 Polyclonal Antibody | anti-CTBP1 antibody
Anti-CtBP1 Antibody
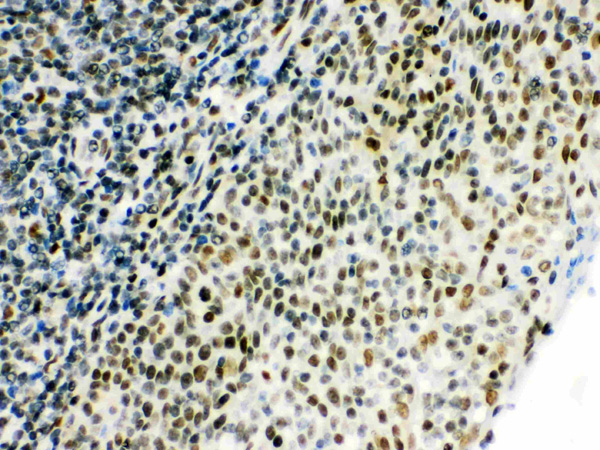
IHC (Immunohistochemistry)
(Anti- CTBP1 Picoband antibody, AAA46407, IHC(P)IHC(P): Human Tonsil Tissue)
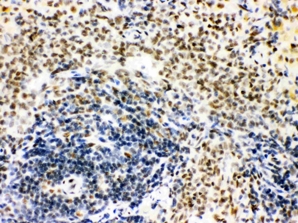
IHC (Immunohistochemisry)
(Anti- CTBP1 Picoband antibody, AAA46407, IHC(P)IHC(P): Rat Spleen Tissue)
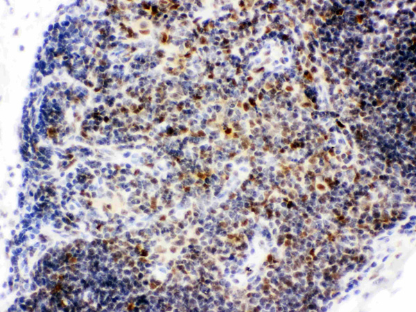
IHC (Immunohiostchemistry)
(Anti- CTBP1 Picoband antibody, AAA46407, IHC(P)IHC(P): Mouse Thymus Tissue)
WB (Western Blot)
(Anti- CTBP1 Picoband antibody, AAA46407, Western blottingAll lanes: Anti CTBP1 (AAA46407) at 0.5ug/mlLane 1: Rat Lung Tissue Lysate at 50ugLane 2: Rat Kidney Tissue Lysate at 50ugLane 3: COLO320 Whole Cell Lysate at 40ugLane 4: MCF-7 Whole Cell Lysate at 40ugPredicted bind size: 48KDObserved bind size: 48KD)
Background: CTBP1, C-terminal-binding protein 1, is a protein that in humans is encoded by the CTBP1 gene. The CtBP1 protein binds to the C-terminus of adenovirus E1A proteins. This gene is mapped to 4p16.This phosphoprotein is a transcriptional repressor (corepressor) and may play a role during cellular proliferation. This protein and the product of a second closely related gene, CTBP2, can dimerize. CtBP1 and CtBP2 preferentially associate with the E1A via a 5 amino acid motif, PLDLS, to repress E1A induced oncogenesis and cellular transformation. CtBP1 is expressed from embryo to adult, but CtBP2 is mainly expressed during embryogenesis. During skeletal and T cell development, CtBP1 and CtBP2 associate with the PLDLSL domain of deltaEF1, a cellular zinc finger-homeodomain protein, and thereby enhances deltaEF1-induced transcriptional silencing. In addition, CtBP complexes with CtIP, a 125 kDa protein that recognizes distinctly different protein motifs from CtBP. CtIP binds to the BRCT repeats within the breast cancer gene BRCA1 and enables CtBP to influence BRCA1 activity. Both proteins can also interact with a polycomb group protein complex which participates in regulation of gene expression during development. Alternative splicing of transcripts from this gene results in multiple transcript variants.
NCBI and Uniprot Product Information
Customer Reviews
Loading reviews...
Share Your Experience
Similar Products
Product Notes
The CTBP1 ctbp1 (Catalog #AAA46407) is an Antibody and is intended for research purposes only. The product is available for immediate purchase. The Anti-CtBP1 Antibody reacts with Human, Mouse, Rat and may cross-react with other species as described in the data sheet. AAA Biotech's CtBP1 can be used in a range of immunoassay formats including, but not limited to, IHC (Immunohistochemistry), WB (Western Blot). Researchers should empirically determine the suitability of the CTBP1 ctbp1 for an application not listed in the data sheet. Researchers commonly develop new applications and it is an integral, important part of the investigative research process. It is sometimes possible for the material contained within the vial of "CtBP1, Polyclonal Antibody" to become dispersed throughout the inside of the vial, particularly around the seal of said vial, during shipment and storage. We always suggest centrifuging these vials to consolidate all of the liquid away from the lid and to the bottom of the vial prior to opening. Please be advised that certain products may require dry ice for shipping and that, if this is the case, an additional dry ice fee may also be required.Precautions
All products in the AAA Biotech catalog are strictly for research-use only, and are absolutely not suitable for use in any sort of medical, therapeutic, prophylactic, in-vivo, or diagnostic capacity. By purchasing a product from AAA Biotech, you are explicitly certifying that said products will be properly tested and used in line with industry standard. AAA Biotech and its authorized distribution partners reserve the right to refuse to fulfill any order if we have any indication that a purchaser may be intending to use a product outside of our accepted criteria.Disclaimer
Though we do strive to guarantee the information represented in this datasheet, AAA Biotech cannot be held responsible for any oversights or imprecisions. AAA Biotech reserves the right to adjust any aspect of this datasheet at any time and without notice. It is the responsibility of the customer to inform AAA Biotech of any product performance issues observed or experienced within 30 days of receipt of said product. To see additional details on this or any of our other policies, please see our Terms & Conditions page.Item has been added to Shopping Cart
If you are ready to order, navigate to Shopping Cart and get ready to checkout.
