Host
Rabbit
Reactivity
Human
Clonality
Polyclonal
Isotype
IgG
Purity/Purification
Affinity Purification
Sequence
LPDSVDWREKGCVTEVKYQGSCGACWAFSAVGALEAQLKLKTGKLVSLSAQNLVDCSTEKYGNKGCNGGFMTTAFQYIIDNKGIDSDASYPYKAMDQKCQYDSKYRAATCSKYTELPYGREDVLKEAVANKGPVSVGVDARHPSFFLYRSGVYYEPSCTQNVNHGVLVVGYGDLNGKEYWLVKNSWGHNFGEEGYIRMARNKGNHCGIASFPSYPEI
Sequence Length
281
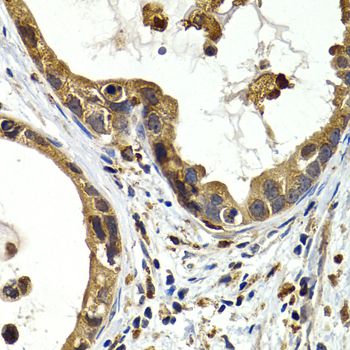
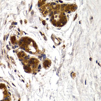
Applicable Applications for anti-CTSS antibody
IHC (Immunohistochemistry)
Immunogen
Recombinant protein of human CTSS
Immunogen Species
Human
Storage Buffer
PBS with 0.02% sodium azide, 50% glycerol, pH7.3.
Cellular Location
Lysosome
Preparation and Storage
Store at -20 degree C. Avoid freeze / thaw cycles.
Related Product Information for anti-CTSS antibody
The protein encoded by this gene, a member of the peptidase C1 family, is a lysosomal cysteine proteinase that may participate in the degradation of antigenic proteins to peptides for presentation on MHC class II molecules. The encoded protein can function as an elastase over a broad pH range in alveolar macrophages. Alternatively spliced transcript variants encoding distinct isoforms have been found for this gene.
Product Categories/Family for anti-CTSS antibody
NCBI and Uniprot Product Information
NCBI GI #
NCBI GeneID
NCBI Accession #
NCBI GenBank Nucleotide #
Molecular Weight
31kDa/37kDa
NCBI Official Full Name
cathepsin S isoform 2 preproprotein
NCBI Official Synonym Full Names
cathepsin S
NCBI Official Symbol
CTSS
NCBI Protein Information
cathepsin S
UniProt Protein Name
Cathepsin S
UniProt Gene Name
CTSS
Customer Reviews
Loading reviews...
Share Your Experience
Similar Products
Product Notes
The CTSS ctss (Catalog #AAA281074) is an Antibody produced from Rabbit and is intended for research purposes only. The product is available for immediate purchase. The CTSS Polyclonal Antibody reacts with Human and may cross-react with other species as described in the data sheet. AAA Biotech's CTSS can be used in a range of immunoassay formats including, but not limited to, IHC (Immunohistochemistry). Researchers should empirically determine the suitability of the CTSS ctss for an application not listed in the data sheet. Researchers commonly develop new applications and it is an integral, important part of the investigative research process. The amino acid sequence is listed below: LPDSVDWREK GCVTEVKYQG SCGACWAFSA VGALEAQLKL KTGKLVSLSA QNLVDCSTEK YGNKGCNGGF MTTAFQYIID NKGIDSDASY PYKAMDQKCQ YDSKYRAATC SKYTELPYGR EDVLKEAVAN KGPVSVGVDA RHPSFFLYRS GVYYEPSCTQ NVNHGVLVVG YGDLNGKEYW LVKNSWGHNF GEEGYIRMAR NKGNHCGIAS FPSYPEI. It is sometimes possible for the material contained within the vial of "CTSS, Polyclonal Antibody" to become dispersed throughout the inside of the vial, particularly around the seal of said vial, during shipment and storage. We always suggest centrifuging these vials to consolidate all of the liquid away from the lid and to the bottom of the vial prior to opening. Please be advised that certain products may require dry ice for shipping and that, if this is the case, an additional dry ice fee may also be required.Precautions
All products in the AAA Biotech catalog are strictly for research-use only, and are absolutely not suitable for use in any sort of medical, therapeutic, prophylactic, in-vivo, or diagnostic capacity. By purchasing a product from AAA Biotech, you are explicitly certifying that said products will be properly tested and used in line with industry standard. AAA Biotech and its authorized distribution partners reserve the right to refuse to fulfill any order if we have any indication that a purchaser may be intending to use a product outside of our accepted criteria.Disclaimer
Though we do strive to guarantee the information represented in this datasheet, AAA Biotech cannot be held responsible for any oversights or imprecisions. AAA Biotech reserves the right to adjust any aspect of this datasheet at any time and without notice. It is the responsibility of the customer to inform AAA Biotech of any product performance issues observed or experienced within 30 days of receipt of said product. To see additional details on this or any of our other policies, please see our Terms & Conditions page.Item has been added to Shopping Cart
If you are ready to order, navigate to Shopping Cart and get ready to checkout.
