Rabbit anti-Human CXCL12 Polyclonal Antibody | anti-CXCL12 antibody
CXCL12 Antibody
Gene Names
CXCL12; IRH; PBSF; SDF1; TLSF; TPAR1; SCYB12
Reactivity
Human
Applications
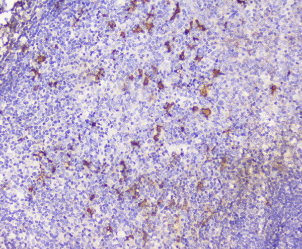
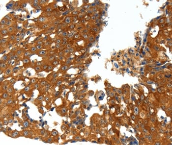
Immunohistochemistry
Purity
Antigen affinity purification.
Synonyms
CXCL12, Antibody; CXCL12 Antibody; IRH; PBSF; SDF1; TLSF; SDF1A; SDF1B; TPAR1; SCYB12; anti-CXCL12 antibody
Host
Rabbit
Reactivity
Human
Clonality
Polyclonal
Specificity
The antibody detects endogenous levels of total CXCL12 protein.
Purity/Purification
Antigen affinity purification.
Form/Format
Rabbit IgG in pH7.3 PBS, 0.05% NaN3, 50% Glycerol.
Concentration
0.7 mg/ml (varies by lot)
Sequence Length
93
Applicable Applications for anti-CXCL12 antibody
IHC (Immunohistochemistry)
Immunogen Type
Peptide
Immunogen Description
Synthetic peptide corresponding to a region derived from internal residues of human chemokine (C-X-C motif) ligand 12
Target Name
CXCL12
Preparation and Storage
Store at -20 degree C
Related Product Information for anti-CXCL12 antibody
This gene encodes a stromal cell-derived alpha chemokine member of the intercrine family. This gene product and its receptor CXCR4 can activate lymphocytes and have been implicated in the metastasis of some cancers such as breast cancer. Mutations in this gene are associated with resistance to human immunodeficiency virus type 1 infections. Multiple transcript variants encoding different isoforms have been found for this gene.
Product Categories/Family for anti-CXCL12 antibody
NCBI and Uniprot Product Information
NCBI GI #
NCBI GeneID
NCBI Accession #
NCBI GenBank Nucleotide #
Molecular Weight
11,004 Da
NCBI Official Full Name
stromal cell-derived factor 1 isoform beta
NCBI Official Synonym Full Names
chemokine (C-X-C motif) ligand 12
NCBI Official Symbol
CXCL12
NCBI Official Synonym Symbols
IRH; PBSF; SDF1; TLSF; TPAR1; SCYB12
NCBI Protein Information
stromal cell-derived factor 1
UniProt Protein Name
Stromal cell-derived factor 1
UniProt Gene Name
CXCL12
UniProt Synonym Gene Names
SDF1; SDF1A; SDF1B; SDF-1; hSDF-1; IRH; hIRH; PBSF
UniProt Entry Name
SDF1_HUMAN
Customer Reviews
Loading reviews...
Share Your Experience
Similar Products
Product Notes
The CXCL12 cxcl12 (Catalog #AAA303369) is an Antibody produced from Rabbit and is intended for research purposes only. The product is available for immediate purchase. The CXCL12 Antibody reacts with Human and may cross-react with other species as described in the data sheet. AAA Biotech's CXCL12 can be used in a range of immunoassay formats including, but not limited to, IHC (Immunohistochemistry). Researchers should empirically determine the suitability of the CXCL12 cxcl12 for an application not listed in the data sheet. Researchers commonly develop new applications and it is an integral, important part of the investigative research process. It is sometimes possible for the material contained within the vial of "CXCL12, Polyclonal Antibody" to become dispersed throughout the inside of the vial, particularly around the seal of said vial, during shipment and storage. We always suggest centrifuging these vials to consolidate all of the liquid away from the lid and to the bottom of the vial prior to opening. Please be advised that certain products may require dry ice for shipping and that, if this is the case, an additional dry ice fee may also be required.Precautions
All products in the AAA Biotech catalog are strictly for research-use only, and are absolutely not suitable for use in any sort of medical, therapeutic, prophylactic, in-vivo, or diagnostic capacity. By purchasing a product from AAA Biotech, you are explicitly certifying that said products will be properly tested and used in line with industry standard. AAA Biotech and its authorized distribution partners reserve the right to refuse to fulfill any order if we have any indication that a purchaser may be intending to use a product outside of our accepted criteria.Disclaimer
Though we do strive to guarantee the information represented in this datasheet, AAA Biotech cannot be held responsible for any oversights or imprecisions. AAA Biotech reserves the right to adjust any aspect of this datasheet at any time and without notice. It is the responsibility of the customer to inform AAA Biotech of any product performance issues observed or experienced within 30 days of receipt of said product. To see additional details on this or any of our other policies, please see our Terms & Conditions page.Item has been added to Shopping Cart
If you are ready to order, navigate to Shopping Cart and get ready to checkout.
