Rabbit CXCR1 Polyclonal Antibody | anti-CXCR1 antibody
CXCR1 Polyclonal Antibody
Gene Names
CXCR1; C-C; CD128; CD181; CKR-1; IL8R1; IL8RA; CMKAR1; IL8RBA; CDw128a; C-C-CKR-1
Reactivity
Human, Mouse, Rat
Applications
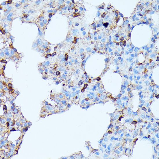
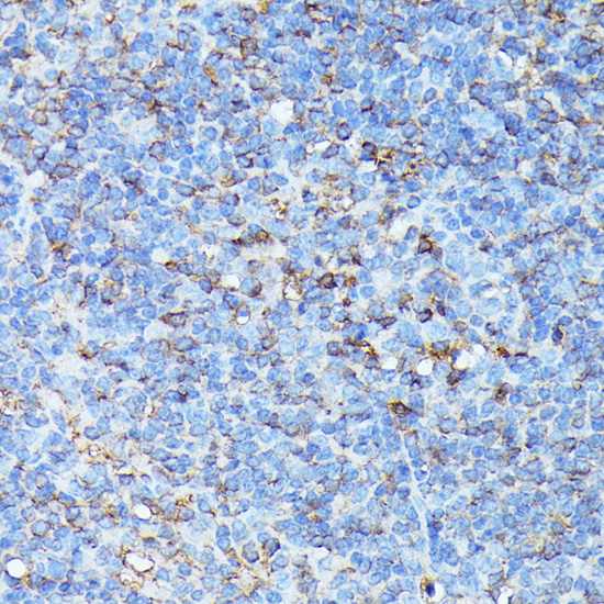
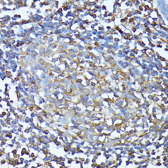
Immunohistochemistry, Western Blot
Purity
Affinity Purification
Synonyms
CXCR1, Antibody; CXCR1 Polyclonal Antibody; CXCR1; C-C; C-C-CKR-1; CD128; CD181; CDw128a; CKR-1; CMKAR1; IL8R1; IL8RA; IL8RBA; C-X-C chemokine receptor type 1; anti-CXCR1 antibody
Host
Rabbit
Reactivity
Human, Mouse, Rat
Clonality
Polyclonal
Isotype
IgG
Purity/Purification
Affinity Purification
Form/Format
PBS with 0.05% proclin300,50% glycerol,pH7.3.
Concentration
1.38 mg/ml (varies by lot)
Sequence Length
350
Applicable Applications for anti-CXCR1 antibody
IHC (Immunohistochemistry), WB (Western Blot)
Immunogen
A synthetic peptide corresponding to a sequence within amino acids 250-350 of human CXCR1 (NP_000625.1).
Immunogen Sequence
IFLLCWLPYNLVLLADTLMRTQVIQESCERRNNIGRALDATEILGFLHSCLNPIIYAFIGQNFRHGFLKILAMHGLVSKEFLARHRVTSYTSSSVNVSSNL
Positive Samples
Rat Lung, Rat Spleen
Cellular Location
Cell Membrane, Multi-Pass Membrane Protein
Preparation and Storage
Store at -20 degree C. Avoid freeze/thaw cycles.
Related Product Information for anti-CXCR1 antibody
The protein encoded by this gene is a member of the G-protein-coupled receptor family. This protein is a receptor for interleukin 8 (IL8). It binds to IL8 with high affinity, and transduces the signal through a G-protein activated second messenger system. Knockout studies in mice suggested that this protein inhibits embryonic oligodendrocyte precursor migration in developing spinal cord. This gene, IL8RB, a gene encoding another high affinity IL8 receptor, as well as IL8RBP, a pseudogene of IL8RB, form a gene cluster in a region mapped to chromosome 2q33-q36.
NCBI and Uniprot Product Information
NCBI GI #
NCBI GeneID
UniProt Accession #
Molecular Weight
Calculated: 39kDa
Observed: 70kDa
Observed: 70kDa
NCBI Official Full Name
CXCR1
NCBI Official Synonym Full Names
C-X-C motif chemokine receptor 1
NCBI Official Symbol
CXCR1
NCBI Official Synonym Symbols
C-C; CD128; CD181; CKR-1; IL8R1; IL8RA; CMKAR1; IL8RBA; CDw128a; C-C-CKR-1
NCBI Protein Information
C-X-C chemokine receptor type 1
UniProt Protein Name
C-X-C chemokine receptor type 1
UniProt Gene Name
CXCR1
UniProt Synonym Gene Names
CMKAR1; IL8RA; CXC-R1; CXCR-1; IL-8R A
UniProt Entry Name
CXCR1_HUMAN
Customer Reviews
Loading reviews...
Share Your Experience
Similar Products
Product Notes
The CXCR1 cxcr1 (Catalog #AAA281466) is an Antibody produced from Rabbit and is intended for research purposes only. The product is available for immediate purchase. The CXCR1 Polyclonal Antibody reacts with Human, Mouse, Rat and may cross-react with other species as described in the data sheet. AAA Biotech's CXCR1 can be used in a range of immunoassay formats including, but not limited to, IHC (Immunohistochemistry), WB (Western Blot). Researchers should empirically determine the suitability of the CXCR1 cxcr1 for an application not listed in the data sheet. Researchers commonly develop new applications and it is an integral, important part of the investigative research process. It is sometimes possible for the material contained within the vial of "CXCR1, Polyclonal Antibody" to become dispersed throughout the inside of the vial, particularly around the seal of said vial, during shipment and storage. We always suggest centrifuging these vials to consolidate all of the liquid away from the lid and to the bottom of the vial prior to opening. Please be advised that certain products may require dry ice for shipping and that, if this is the case, an additional dry ice fee may also be required.Precautions
All products in the AAA Biotech catalog are strictly for research-use only, and are absolutely not suitable for use in any sort of medical, therapeutic, prophylactic, in-vivo, or diagnostic capacity. By purchasing a product from AAA Biotech, you are explicitly certifying that said products will be properly tested and used in line with industry standard. AAA Biotech and its authorized distribution partners reserve the right to refuse to fulfill any order if we have any indication that a purchaser may be intending to use a product outside of our accepted criteria.Disclaimer
Though we do strive to guarantee the information represented in this datasheet, AAA Biotech cannot be held responsible for any oversights or imprecisions. AAA Biotech reserves the right to adjust any aspect of this datasheet at any time and without notice. It is the responsibility of the customer to inform AAA Biotech of any product performance issues observed or experienced within 30 days of receipt of said product. To see additional details on this or any of our other policies, please see our Terms & Conditions page.Item has been added to Shopping Cart
If you are ready to order, navigate to Shopping Cart and get ready to checkout.
