Rabbit anti-Human, Rat Cyclin Dependent Kinase 4 (CDK4) Polyclonal Antibody | anti-CDK4 antibody
Polyclonal Antibody to Cyclin Dependent Kinase 4 (CDK4)
MGHHHHHHSGSEF-YEPVA EIGVGAYGTV YKARDPHSGH FVALKSVRVP NGGGGGGGLP ISTVREVALL RRLEAFEHPN VVRLMDVCAT SRTDREIKVT LVFEHVDQDL RTYLDKAPPP GLPAETIKDL MRQFLRGLDF LHANCIVHRD LKPENILVTS GGTVKLADFG LARIYSYQMA LTPVVVTLWYRAPEVLLQST YATPVDMWSV GCIFAEMFRR KPLFCGNSEA DQLGKIFDLI GLPPEDDWPRDVSLPRGAFP PRGPRPVQSV VPEMEESGAQ LLLEMLTFNP HKRISAFRAL QHSYL
Knockout Validation
(Knockout Validation: Lane 1: Wild-type Hela cell lysate;;Lane 2: CDK4 knockout Hela cell lysate;;Predicted MW: 33kDa ;Observed MW: 33kDa;Primary Ab: 1ug/ml Rabbit Anti-Human CDK4 Ab;Second Ab: 0.2ug/mL HRP-Linked Caprine Anti-Rabbit IgG Polyclonal Antibody;)
NCBI and Uniprot Product Information
Customer Reviews
Loading reviews...
Share Your Experience
Similar Products
Product Notes
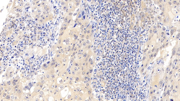
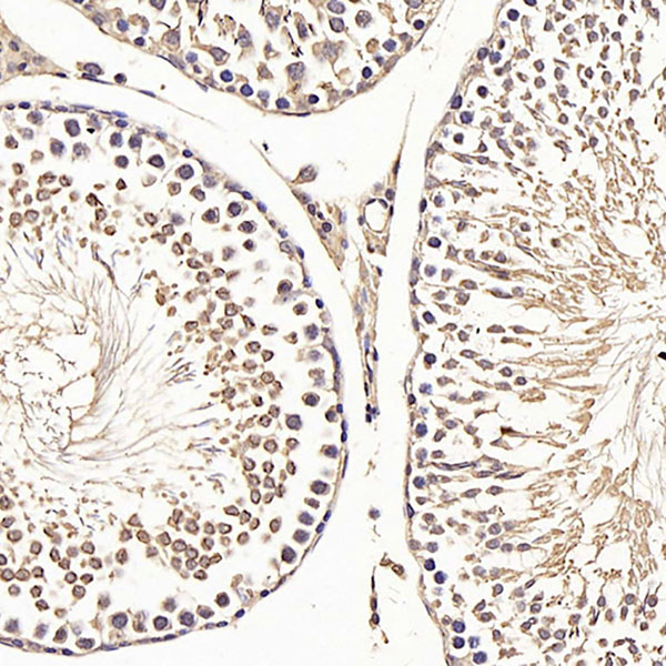
The CDK4 cdk4 (Catalog #AAA132978) is an Antibody produced from Rabbit and is intended for research purposes only. The product is available for immediate purchase. The Polyclonal Antibody to Cyclin Dependent Kinase 4 (CDK4) reacts with Human, Rat and may cross-react with other species as described in the data sheet. AAA Biotech's Cyclin Dependent Kinase 4 (CDK4) can be used in a range of immunoassay formats including, but not limited to, WB (Western Blot), ELISA, IHC (Immunohistochemistry), ICC (Immunocytochemistry). Researchers should empirically determine the suitability of the CDK4 cdk4 for an application not listed in the data sheet. Researchers commonly develop new applications and it is an integral, important part of the investigative research process. The amino acid sequence is listed below: Antigen: The target protein is fused with N-terminal His-Tag and its sequence is listed below. MGHHHHHHSG SEF-YEPVA EIGVGAYGTV YKARDPHSGH FVALKSVRVP NGGGGGGGLP ISTVREVALL RRLEAFEHPN VVRLMDVCAT SRTDREIKVT LVFEHVDQDL RTYLDKAPPP GLPAETIKDL MRQFLRGLDF LHANCIVHRD LKPENILVTS GGTVKLADFG LARIYSYQMA LTPVVVTLWY RAPEVLLQST YATPVDMWSV GCIFAEMFRR KPLFCGNSEA DQLGKIFDLI GLPPEDDWPR DVSLPRGAFP PRGPRPVQSV VPEMEESGAQ LLLEMLTFNP HKRISAFRAL QHSYL. It is sometimes possible for the material contained within the vial of "Cyclin Dependent Kinase 4 (CDK4), Polyclonal Antibody" to become dispersed throughout the inside of the vial, particularly around the seal of said vial, during shipment and storage. We always suggest centrifuging these vials to consolidate all of the liquid away from the lid and to the bottom of the vial prior to opening. Please be advised that certain products may require dry ice for shipping and that, if this is the case, an additional dry ice fee may also be required.Precautions
All products in the AAA Biotech catalog are strictly for research-use only, and are absolutely not suitable for use in any sort of medical, therapeutic, prophylactic, in-vivo, or diagnostic capacity. By purchasing a product from AAA Biotech, you are explicitly certifying that said products will be properly tested and used in line with industry standard. AAA Biotech and its authorized distribution partners reserve the right to refuse to fulfill any order if we have any indication that a purchaser may be intending to use a product outside of our accepted criteria.Disclaimer
Though we do strive to guarantee the information represented in this datasheet, AAA Biotech cannot be held responsible for any oversights or imprecisions. AAA Biotech reserves the right to adjust any aspect of this datasheet at any time and without notice. It is the responsibility of the customer to inform AAA Biotech of any product performance issues observed or experienced within 30 days of receipt of said product. To see additional details on this or any of our other policies, please see our Terms & Conditions page.Item has been added to Shopping Cart
If you are ready to order, navigate to Shopping Cart and get ready to checkout.
