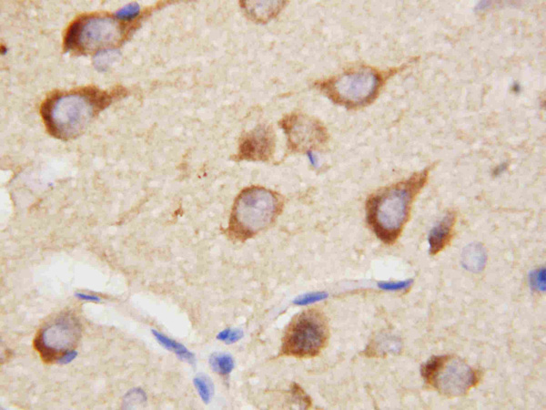
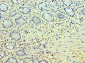
Rabbit Cyclophilin D Polyclonal Antibody | anti-PPID antibody
Cyclophilin D Polyclonal Antibody
Gene Names
PPID; CYPD; CYP-40
Reactivity
Human, Mouse, Rat
Applications
Immunohistochemistry, Western Blot
Synonyms
Cyclophilin D, Antibody; Cyclophilin D Polyclonal Antibody; PPID; CYP40; CYPD; Peptidyl-prolyl cis-trans isomerase D; PPIase D; 40 kDa peptidyl-prolyl cis-trans isomerase; Cyclophilin-40; CYP-40; Cyclophilin-related protein; Rotamase D; anti-PPID antibody
Host
Rabbit
Reactivity
Human, Mouse, Rat
Clonality
Polyclonal
Applicable Applications for anti-PPID antibody
IHC (Immunohistochemistry), WB (Western Blot)
Preparation and Storage
Maintain refrigerated at 2-8 degree C for up to 2 weeks. For long term storage store at -20 degree C in small aliquots to prevent freeze-thaw cycles.
Related Product Information for anti-PPID antibody
PPIase that catalyzes the cis-trans isomerization of proline imidic peptide bonds in oligopeptides and may therefore assist protein folding (PubMed:20676357). Proposed to act as a co-chaperone in HSP90 complexes such as in unligated steroid receptors heterocomplexes. Different co- chaperones seem to compete for association with HSP90 thus establishing distinct HSP90-co-chaperone-receptor complexes with the potential to exert tissue-specific receptor activity control. May have a preference for estrogen receptor complexes and is not found in glucocorticoid receptor complexes. May be involved in cytoplasmic dynein-dependent movement of the receptor from the cytoplasm to the nucleus. May regulate MYB by inhibiting its DNA- binding activity. Involved in regulation of AHR signaling by promoting the formation of the AHR: ARNT dimer; the function is independent of HSP90 but requires the chaperone activity. Involved in regulation of UV radiation-induced apoptosis. Promotes cell viability in anaplastic lymphoma kinase-positive anaplastic large- cell lymphoma (ALK+ ALCL) cell lines.
NCBI and Uniprot Product Information
NCBI GI #
NCBI GeneID
NCBI Accession #
NCBI GenBank Nucleotide #
Molecular Weight
40,764 Da
NCBI Official Full Name
peptidyl-prolyl cis-trans isomerase D
NCBI Official Synonym Full Names
peptidylprolyl isomerase D
NCBI Official Symbol
PPID
NCBI Official Synonym Symbols
CYPD; CYP-40
NCBI Protein Information
peptidyl-prolyl cis-trans isomerase D; 40 kDa peptidyl-prolyl cis-trans isomerase D; PPIase D; cyclophilin 40; cyclophilin D; cyclophilin-40; cyclophilin-related protein; rotamase D
UniProt Protein Name
Peptidyl-prolyl cis-trans isomerase D
UniProt Gene Name
PPID
UniProt Synonym Gene Names
CYP40; CYPD; PPIase D; CYP-40
UniProt Entry Name
PPID_HUMAN
Customer Reviews
Loading reviews...
Share Your Experience
Similar Products
Product Notes
The PPID ppid (Catalog #AAA296131) is an Antibody produced from Rabbit and is intended for research purposes only. The product is available for immediate purchase. The Cyclophilin D Polyclonal Antibody reacts with Human, Mouse, Rat and may cross-react with other species as described in the data sheet. AAA Biotech's Cyclophilin D can be used in a range of immunoassay formats including, but not limited to, IHC (Immunohistochemistry), WB (Western Blot). Researchers should empirically determine the suitability of the PPID ppid for an application not listed in the data sheet. Researchers commonly develop new applications and it is an integral, important part of the investigative research process. It is sometimes possible for the material contained within the vial of "Cyclophilin D, Polyclonal Antibody" to become dispersed throughout the inside of the vial, particularly around the seal of said vial, during shipment and storage. We always suggest centrifuging these vials to consolidate all of the liquid away from the lid and to the bottom of the vial prior to opening. Please be advised that certain products may require dry ice for shipping and that, if this is the case, an additional dry ice fee may also be required.Precautions
All products in the AAA Biotech catalog are strictly for research-use only, and are absolutely not suitable for use in any sort of medical, therapeutic, prophylactic, in-vivo, or diagnostic capacity. By purchasing a product from AAA Biotech, you are explicitly certifying that said products will be properly tested and used in line with industry standard. AAA Biotech and its authorized distribution partners reserve the right to refuse to fulfill any order if we have any indication that a purchaser may be intending to use a product outside of our accepted criteria.Disclaimer
Though we do strive to guarantee the information represented in this datasheet, AAA Biotech cannot be held responsible for any oversights or imprecisions. AAA Biotech reserves the right to adjust any aspect of this datasheet at any time and without notice. It is the responsibility of the customer to inform AAA Biotech of any product performance issues observed or experienced within 30 days of receipt of said product. To see additional details on this or any of our other policies, please see our Terms & Conditions page.Item has been added to Shopping Cart
If you are ready to order, navigate to Shopping Cart and get ready to checkout.
