Rabbit anti-Human CYP2B6 Polyclonal Antibody | anti-CYP2B6 antibody
CYP2B6 Antibody (Center)
IF (Immunofluorescence)
(Confocal immunofluorescent analysis of CYP2B6 Antibody (Center) with 293 cell followed by Alexa Fluor 488-conjugated goat anti-rabbit lgG (green). DAPI was used to stain the cell nuclear (blue).)
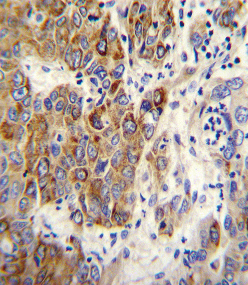
IHC (Immunohiostchemistry)
(CYP2B6 Antibody (Center) immunohistochemistry analysis in formalin fixed and paraffin embedded human hepatocarcinoma followed by peroxidase conjugation of the secondary antibody and DAB staining.This data demonstrates the use of CYP2B6 Antibody (Center) for immunohistochemistry. Clinical relevance has not been evaluated.)
WB (Western Blot)
(CYP2B6 Antibody (Center) western blot analysis in 293(lane 1) and K562(lane 2) cell line lysates (35ug/lane).This demonstrates the CYP2B6 antibody detected the CYP2B6 protein (arrow).)
superfamily of enzymes. The cytochrome P450 proteins are
monooxygenases which catalyze many reactions involved in drug
metabolism and synthesis of cholesterol, steroids and other lipids.
This protein localizes to the endoplasmic reticulum and its
expression is induced by phenobarbital. The enzyme is known to
metabolize some xenobiotics, such as the anti-cancer drugs
cyclophosphamide and ifosphamide. Transcript variants for this gene
have been described; however, it has not been resolved whether
these transcripts are in fact produced by this gene or by a closely
related pseudogene, CYP2B7. Both the gene and the pseudogene are
located in the middle of a CYP2A pseudogene found in a large
cluster of cytochrome P450 genes from the CYP2A, CYP2B and CYP2F
subfamilies on chromosome 19q.
Chou, M., et al. Antimicrob. Agents Chemother. 54(10):4432-4439(2010)
Shimada, M., et al. Hum. Genet. 128(4):433-441(2010)
Bunten, H., et al. Clin. Pharmacol. Ther. 88(3):383-389(2010)
Gounden, V., et al. AIDS Res Ther 7, 32 (2010) :
NCBI and Uniprot Product Information
Customer Reviews
Loading reviews...
Share Your Experience
Similar Products
Product Notes
The CYP2B6 cyp2b6 (Catalog #AAA288318) is an Antibody produced from Rabbit and is intended for research purposes only. The product is available for immediate purchase. The immunogen sequence is 235-263. The CYP2B6 Antibody (Center) reacts with Human and may cross-react with other species as described in the data sheet. AAA Biotech's CYP2B6 can be used in a range of immunoassay formats including, but not limited to, IHC (Immunohistochemistry), WB (Western Blot), ELISA, IF (Immunofluorescence). Researchers should empirically determine the suitability of the CYP2B6 cyp2b6 for an application not listed in the data sheet. Researchers commonly develop new applications and it is an integral, important part of the investigative research process. It is sometimes possible for the material contained within the vial of "CYP2B6, Polyclonal Antibody" to become dispersed throughout the inside of the vial, particularly around the seal of said vial, during shipment and storage. We always suggest centrifuging these vials to consolidate all of the liquid away from the lid and to the bottom of the vial prior to opening. Please be advised that certain products may require dry ice for shipping and that, if this is the case, an additional dry ice fee may also be required.Precautions
All products in the AAA Biotech catalog are strictly for research-use only, and are absolutely not suitable for use in any sort of medical, therapeutic, prophylactic, in-vivo, or diagnostic capacity. By purchasing a product from AAA Biotech, you are explicitly certifying that said products will be properly tested and used in line with industry standard. AAA Biotech and its authorized distribution partners reserve the right to refuse to fulfill any order if we have any indication that a purchaser may be intending to use a product outside of our accepted criteria.Disclaimer
Though we do strive to guarantee the information represented in this datasheet, AAA Biotech cannot be held responsible for any oversights or imprecisions. AAA Biotech reserves the right to adjust any aspect of this datasheet at any time and without notice. It is the responsibility of the customer to inform AAA Biotech of any product performance issues observed or experienced within 30 days of receipt of said product. To see additional details on this or any of our other policies, please see our Terms & Conditions page.Item has been added to Shopping Cart
If you are ready to order, navigate to Shopping Cart and get ready to checkout.
