Rabbit CYP2D6 Polyclonal Antibody | anti-CYP2D6 antibody
CYP2D6 Polyclonal Antibody
Gene Names
CYP2D6; CPD6; CYP2D; CYP2DL1; CYPIID6; P450C2D; P450DB1; CYP2D7AP; CYP2D7BP; CYP2D7P2; CYP2D8P2; P450-DB1
Reactivity
Human, Mouse, Rat
Applications
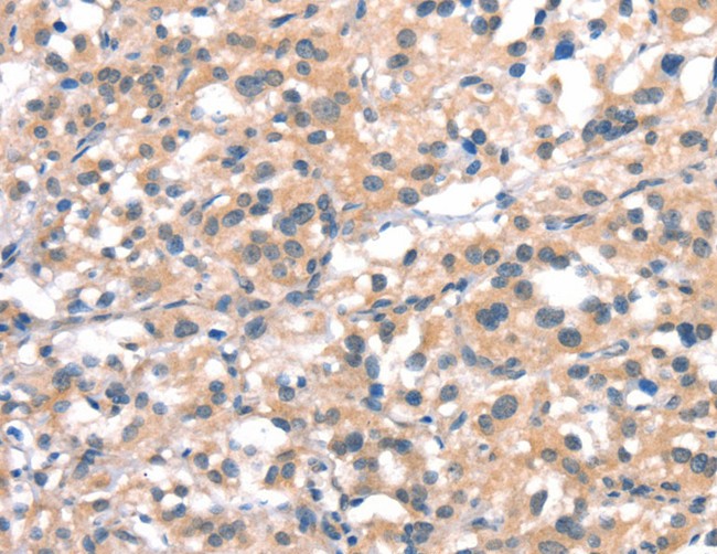
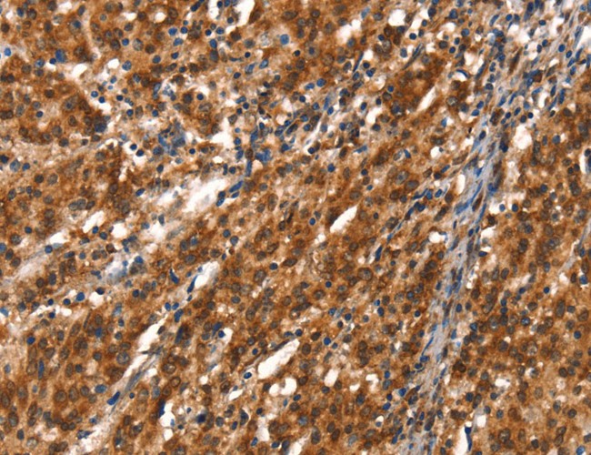
Immunohistochemistry, ELISA
Purity
Antigen affinity purification
Synonyms
CYP2D6, Antibody; CYP2D6 Polyclonal Antibody; CPD6; CYP2D; CYP2DL1; CYPIID6; P450C2D; P450DB1; CYP2D7AP; CYP2D7BP; CYP2D7P2; CYP2D8P2; P450-DB1; anti-CYP2D6 antibody
Host
Rabbit
Reactivity
Human, Mouse, Rat
Clonality
Polyclonal
Isotype
IgG
Purity/Purification
Antigen affinity purification
Concentration
2.5mg/mL (varies by lot)
Sequence Length
446
Applicable Applications for anti-CYP2D6 antibody
IHC (Immunohistochemistry), ELISA
Immunogen
Synthetic peptide of human CYP2D6
Buffer
PBS with 0.05% sodium azide, 50% glycerol, pH7.3
Preparation and Storage
Store at -20 degree C (regular) and -80 degree C (long term). Avoid freeze / thaw cycles.
Related Product Information for anti-CYP2D6 antibody
This gene encodes a member of the cytochrome P450 superfamily of enzymes. The cytochrome P450 proteins are monooxygenases which catalyze many reactions involved in drug metabolism and synthesis of cholesterol, steroids and other lipids. This protein localizes to the endoplasmic reticulum and is known to metabolize as many as 20% of commonly prescribed drugs. Its substrates include debrisoquine, an adrenergic-blocking drug; sparteine and propafenone, both anti-arrythmic drugs; and amitryptiline, an anti-depressant. The gene is highly polymorphic in the population; certain alleles result in the poor metabolizer phenotype, characterized by a decreased ability to metabolize the enzyme's substrates. The gene is located near two cytochrome P450 pseudogenes on chromosome 22q13. 1. Alternatively spliced transcript variants encoding different isoforms have been found for this gene.
Product Categories/Family for anti-CYP2D6 antibody
NCBI and Uniprot Product Information
NCBI GI #
NCBI GeneID
NCBI Accession #
NCBI GenBank Nucleotide #
Molecular Weight
50,061 Da
NCBI Official Full Name
cytochrome P450 2D6 isoform 2
NCBI Official Synonym Full Names
cytochrome P450, family 2, subfamily D, polypeptide 6
NCBI Official Symbol
CYP2D6
NCBI Official Synonym Symbols
CPD6; CYP2D; CYP2DL1; CYPIID6; P450C2D; P450DB1; CYP2D7AP; CYP2D7BP; CYP2D7P2; CYP2D8P2; P450-DB1
NCBI Protein Information
cytochrome P450 2D6; cytochrome P450, family 2, subfamily D, polypeptide 7 pseudogene 2; cytochrome P450, family 2, subfamily D, polypeptide 8 pseudogene 2; cytochrome P450, subfamily II (debrisoquine, sparteine, etc., -metabolising), polypeptide 7 pseudogene 2; cytochrome P450, subfamily IID (debrisoquine, sparteine, etc., -metabolising), polypeptide 8 pseudogene 2; cytochrome P450, subfamily IID (debrisoquine, sparteine, etc., -metabolizing), polypeptide 6; cytochrome P450, subfamily IID (debrisoquine, sparteine, etc., -metabolizing)-like 1; cytochrome P450-DB1; debrisoquine 4-hydroxylase; flavoprotein-linked monooxygenase; microsomal monooxygenase; xenobiotic monooxygenase
UniProt Protein Name
Cytochrome P450 2D6
UniProt Gene Name
CYP2D6
UniProt Synonym Gene Names
CYP2DL1
UniProt Entry Name
CP2D6_HUMAN
Similar Products
Product Notes
The CYP2D6 cyp2d6 (Catalog #AAA170059) is an Antibody produced from Rabbit and is intended for research purposes only. The product is available for immediate purchase. The CYP2D6 Polyclonal Antibody reacts with Human, Mouse, Rat and may cross-react with other species as described in the data sheet. AAA Biotech's CYP2D6 can be used in a range of immunoassay formats including, but not limited to, IHC (Immunohistochemistry), ELISA. Researchers should empirically determine the suitability of the CYP2D6 cyp2d6 for an application not listed in the data sheet. Researchers commonly develop new applications and it is an integral, important part of the investigative research process. It is sometimes possible for the material contained within the vial of "CYP2D6, Polyclonal Antibody" to become dispersed throughout the inside of the vial, particularly around the seal of said vial, during shipment and storage. We always suggest centrifuging these vials to consolidate all of the liquid away from the lid and to the bottom of the vial prior to opening. Please be advised that certain products may require dry ice for shipping and that, if this is the case, an additional dry ice fee may also be required.Precautions
All products in the AAA Biotech catalog are strictly for research-use only, and are absolutely not suitable for use in any sort of medical, therapeutic, prophylactic, in-vivo, or diagnostic capacity. By purchasing a product from AAA Biotech, you are explicitly certifying that said products will be properly tested and used in line with industry standard. AAA Biotech and its authorized distribution partners reserve the right to refuse to fulfill any order if we have any indication that a purchaser may be intending to use a product outside of our accepted criteria.Disclaimer
Though we do strive to guarantee the information represented in this datasheet, AAA Biotech cannot be held responsible for any oversights or imprecisions. AAA Biotech reserves the right to adjust any aspect of this datasheet at any time and without notice. It is the responsibility of the customer to inform AAA Biotech of any product performance issues observed or experienced within 30 days of receipt of said product. To see additional details on this or any of our other policies, please see our Terms & Conditions page.Item has been added to Shopping Cart
If you are ready to order, navigate to Shopping Cart and get ready to checkout.
