Rabbit Cytokeratin 14 Polyclonal Antibody | anti-KRT14 antibody
Anti-Cytokeratin 14 Antibody
Each vial contains 5mg BSA, 0.9mg NaCl, 0.2mg Na2HPO4, 0.05mg NaN3.
By Heat: Boiling the paraffin sections in 10mM citrate buffer, pH6.0, for 20mins is required for the staining of formalin/paraffin sections.
Other applications have not been tested.
IHC (Immunohistochemistry)
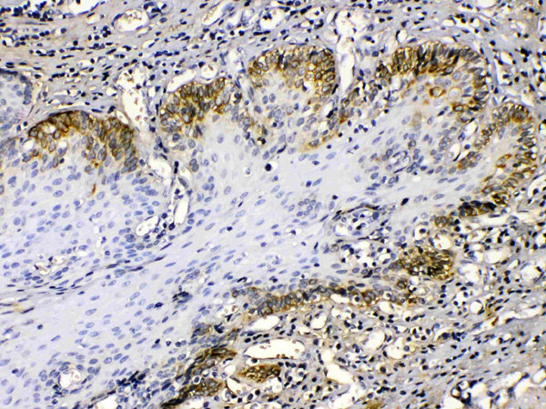
(Cytokeratin 14 was detected in paraffin-embedded sections of human oesophagus squama cancer tissues using rabbit anti- Cytokeratin 14 Antigen Affinity purified polyclonal antibody at 1ug/mL. The immunohistochemical section was developed using SABC method.)
IHC (Immunohistochemisry)
(Cytokeratin 14 was detected in paraffin-embedded sections of human oesophagus squama cancer tissues using rabbit anti- Cytokeratin 14 Antigen Affinity purified polyclonal antibody at 1ug/mL. The immunohistochemical section was developed using SABC method.)
IHC (Immunohiostchemistry)
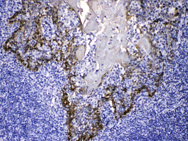
(Cytokeratin 14 was detected in paraffin-embedded sections of human tonsil tissues using rabbit anti- Cytokeratin 14 Antigen Affinity purified polyclonal antibody at 1ug/mL. The immunohistochemical section was developed using SABC method.)
WB (Western Blot)
(Western blot analysis of Cytokeratin 14 expression in rat brain extract (lane 1), NIH3T3 whole cell lysates (lane 2) and HEPG2 whole cell lysates (lane 3). Cytokeratin 14 at 60KD was detected using rabbit anti- Cytokeratin 14 Antigen Affinity purified polyclonal antibody at 0.5ug/mL. The blot was developed using chemiluminescence (ECL) method.)
Background: Cytokeratin 14, also known as cytokeratin-14 (CK-14) or keratin-14 (KRT14), is a member of the type I keratin family of intermediate filament proteins. In humans it is encoded by the KRT14 gene. This gene product, a type I keratin, is usually found as a heterotetramer with two keratin 5 molecules, a type II keratin. Mutations in the genes for these keratins are associated with epidermolysis bullosa simplex. At least one pseudogene has been identified at 17p12-p11.
2. Chan, Y., Anton-Lamprecht, I., Yu, Q.-C., Jackel, A., Zabel, B., Ernst, J.-P., Fuchs, E. A human keratin 14 'knockout': the absence of K14 leads to severe epidermolysis bullosa simplex and a function for an intermediate filament protein. Genes Dev. 8: 2574-2587, 1994.
3. Chen, H., Bonifas, J. M., Mstsumura, K., Ikeda, S., Leyden, W. A., Epstein, E. H. Keratin 14 gene mutations in patients with epidermolysis bullosa simplex. J. Invest. Derm. 105: 629-632, 1995.
NCBI and Uniprot Product Information
Customer Reviews
Loading reviews...
Share Your Experience
Similar Products
Product Notes
The KRT14 krt14 (Catalog #AAA46731) is an Antibody produced from Rabbit and is intended for research purposes only. The product is available for immediate purchase. The Anti-Cytokeratin 14 Antibody reacts with Human, Mouse, Rat and may cross-react with other species as described in the data sheet. AAA Biotech's Cytokeratin 14 can be used in a range of immunoassay formats including, but not limited to, IHC (Immunohistochemistry), WB (Western Blot). Researchers should empirically determine the suitability of the KRT14 krt14 for an application not listed in the data sheet. Researchers commonly develop new applications and it is an integral, important part of the investigative research process. It is sometimes possible for the material contained within the vial of "Cytokeratin 14, Polyclonal Antibody" to become dispersed throughout the inside of the vial, particularly around the seal of said vial, during shipment and storage. We always suggest centrifuging these vials to consolidate all of the liquid away from the lid and to the bottom of the vial prior to opening. Please be advised that certain products may require dry ice for shipping and that, if this is the case, an additional dry ice fee may also be required.Precautions
All products in the AAA Biotech catalog are strictly for research-use only, and are absolutely not suitable for use in any sort of medical, therapeutic, prophylactic, in-vivo, or diagnostic capacity. By purchasing a product from AAA Biotech, you are explicitly certifying that said products will be properly tested and used in line with industry standard. AAA Biotech and its authorized distribution partners reserve the right to refuse to fulfill any order if we have any indication that a purchaser may be intending to use a product outside of our accepted criteria.Disclaimer
Though we do strive to guarantee the information represented in this datasheet, AAA Biotech cannot be held responsible for any oversights or imprecisions. AAA Biotech reserves the right to adjust any aspect of this datasheet at any time and without notice. It is the responsibility of the customer to inform AAA Biotech of any product performance issues observed or experienced within 30 days of receipt of said product. To see additional details on this or any of our other policies, please see our Terms & Conditions page.Item has been added to Shopping Cart
If you are ready to order, navigate to Shopping Cart and get ready to checkout.
