Rabbit Cytokeratin 8 Polyclonal Antibody | anti-CK-8 antibody
Cytokeratin 8 Antibody
Gene Names
KRT8; K8; KO; CK8; CK-8; CYK8; K2C8; CARD2
Applications
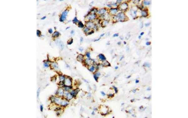
Immunohistochemistry, Western Blot
Purity
Affinity Chromatography
Synonyms
Cytokeratin 8, Antibody; Cytokeratin 8 Antibody; Affinity Purified Rabbit Polyclonal Cytokeratin 8 Antibody; Polyclonal Cytokeratin 8 antibody; Anti-Cytokeratin 8 antibody; KRT8 antibody; Keratin 8 antibody; Cytokeratin 8 antibody; K2C8 antibody; CK8 antibody; CYK8 antibody; Cytokeratin -8 antibody; KO antibody; Cytokeratin -8; Cytokeratin 8; K8 antibody; CARD2 antibody; anti-CK-8 antibody
Host
Rabbit
Clonality
Polyclonal
Isotype
IgG
Purity/Purification
Affinity Chromatography
Form/Format
Lyophilized Form
Sequence Length
482
Applicable Applications for anti-CK-8 antibody
IHC (Immunohistochemistry), WB (Western Blot)
Immunogen
Cytokeratin 8 antibody was raised in Rabbit using a synthetic peptide corresponding to a sequence at the N-terminal of human CK8, different from the related rat and Rabbit sequences by one amino acid, as the immunogen
Preparation and Storage
Store at 4 degree C for short term storage. For long term storage aliquot and store at -20 degree C. Avoid repeated freeze/thaw cycles.
Related Product Information for anti-CK-8 antibody
KRT8 together with KRT19, help to link the contractile apparatus to dystrophin at the costameres of striated muscle.
Product Categories/Family for anti-CK-8 antibody
NCBI and Uniprot Product Information
Customer Reviews
Loading reviews...
Share Your Experience
Similar Products
Product Notes
The CK-8 (Catalog #AAA225708) is an Antibody produced from Rabbit and is intended for research purposes only. The product is available for immediate purchase. AAA Biotech's Cytokeratin 8 can be used in a range of immunoassay formats including, but not limited to, IHC (Immunohistochemistry), WB (Western Blot). Researchers should empirically determine the suitability of the CK-8 for an application not listed in the data sheet. Researchers commonly develop new applications and it is an integral, important part of the investigative research process. It is sometimes possible for the material contained within the vial of "Cytokeratin 8, Polyclonal Antibody" to become dispersed throughout the inside of the vial, particularly around the seal of said vial, during shipment and storage. We always suggest centrifuging these vials to consolidate all of the liquid away from the lid and to the bottom of the vial prior to opening. Please be advised that certain products may require dry ice for shipping and that, if this is the case, an additional dry ice fee may also be required.Precautions
All products in the AAA Biotech catalog are strictly for research-use only, and are absolutely not suitable for use in any sort of medical, therapeutic, prophylactic, in-vivo, or diagnostic capacity. By purchasing a product from AAA Biotech, you are explicitly certifying that said products will be properly tested and used in line with industry standard. AAA Biotech and its authorized distribution partners reserve the right to refuse to fulfill any order if we have any indication that a purchaser may be intending to use a product outside of our accepted criteria.Disclaimer
Though we do strive to guarantee the information represented in this datasheet, AAA Biotech cannot be held responsible for any oversights or imprecisions. AAA Biotech reserves the right to adjust any aspect of this datasheet at any time and without notice. It is the responsibility of the customer to inform AAA Biotech of any product performance issues observed or experienced within 30 days of receipt of said product. To see additional details on this or any of our other policies, please see our Terms & Conditions page.Item has been added to Shopping Cart
If you are ready to order, navigate to Shopping Cart and get ready to checkout.
