DARPP32 Polyclonal Antibody | anti-DARPP32 antibody
Anti-DARPP32 Antibody
IHC (Immunohistochemistry)
(DARPP32 was detected in paraffin-embedded sections of human lung cancer tissues using rabbit anti- DARPP32 Antigen Affinity purified polyclonal antibody at 1ug/mL. The immunohistochemical section was developed using SABC method.)
IHC (Immunohistochemisry)
(DARPP32 was detected in paraffin-embedded sections of rat intestine tissues using rabbit anti- DARPP32 Antigen Affinity purified polyclonal antibody at 1ug/mL. The immunohistochemical section was developed using SABC method.)
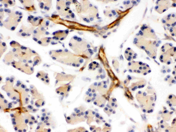
IHC (Immunohiostchemistry)
(DARPP32 was detected in paraffin-embedded sections of mouse pancreas tissues using rabbit anti- DARPP32 Antigen Affinity purified polyclonal antibody at 1 ug/mL. The immunohistochemical section was developed using SABC method.)
WB (Western Blot)
(Western blot analysis of DARPP32 expression in rat brain extract (lane 1), SW620 whole cell lysates (lane 2), 22RV1 whole cell lysates (lane 3) and HELA whole cell lysates (lane 4). DARPP32 at 34KD, 39KD was detected using rabbit anti- DARPP32 Antigen Affinity purified polyclonal antibody at0.5ug/mL. The blot was developed using chemiluminescence (ECL) method.)
Background: Protein phosphatase 1 regulatory subunit 1B (PPP1R1B), also known as dopamine- and cAMP-regulated neuronal phosphoprotein (DARPP-32), is a protein that in humans is encoded by the PPP1R1B gene. This gene encodes a bifunctional signal transduction molecule. Dopaminergic and glutamatergic receptor stimulation regulates its phosphorylation and function as a kinase or phosphatase inhibitor. As a target for dopamine, this gene may serve as a therapeutic target for neurologic and psychiatric disorders. Multiple transcript variants encoding different isoforms have been found for this gene.
NCBI and Uniprot Product Information
Customer Reviews
Loading reviews...
Share Your Experience
Similar Products
Product Notes
The DARPP32 ppp1r1b (Catalog #AAA46321) is an Antibody and is intended for research purposes only. The product is available for immediate purchase. The Anti-DARPP32 Antibody reacts with Human, Mouse, Rat and may cross-react with other species as described in the data sheet. AAA Biotech's DARPP32 can be used in a range of immunoassay formats including, but not limited to, IHC (Immunohistochemistry), WB (Western Blot). Researchers should empirically determine the suitability of the DARPP32 ppp1r1b for an application not listed in the data sheet. Researchers commonly develop new applications and it is an integral, important part of the investigative research process. It is sometimes possible for the material contained within the vial of "DARPP32, Polyclonal Antibody" to become dispersed throughout the inside of the vial, particularly around the seal of said vial, during shipment and storage. We always suggest centrifuging these vials to consolidate all of the liquid away from the lid and to the bottom of the vial prior to opening. Please be advised that certain products may require dry ice for shipping and that, if this is the case, an additional dry ice fee may also be required.Precautions
All products in the AAA Biotech catalog are strictly for research-use only, and are absolutely not suitable for use in any sort of medical, therapeutic, prophylactic, in-vivo, or diagnostic capacity. By purchasing a product from AAA Biotech, you are explicitly certifying that said products will be properly tested and used in line with industry standard. AAA Biotech and its authorized distribution partners reserve the right to refuse to fulfill any order if we have any indication that a purchaser may be intending to use a product outside of our accepted criteria.Disclaimer
Though we do strive to guarantee the information represented in this datasheet, AAA Biotech cannot be held responsible for any oversights or imprecisions. AAA Biotech reserves the right to adjust any aspect of this datasheet at any time and without notice. It is the responsibility of the customer to inform AAA Biotech of any product performance issues observed or experienced within 30 days of receipt of said product. To see additional details on this or any of our other policies, please see our Terms & Conditions page.Item has been added to Shopping Cart
If you are ready to order, navigate to Shopping Cart and get ready to checkout.
