anti-Human, Rat Daxx Polyclonal Antibody | anti-DAXX antibody
Anti-Daxx Antibody
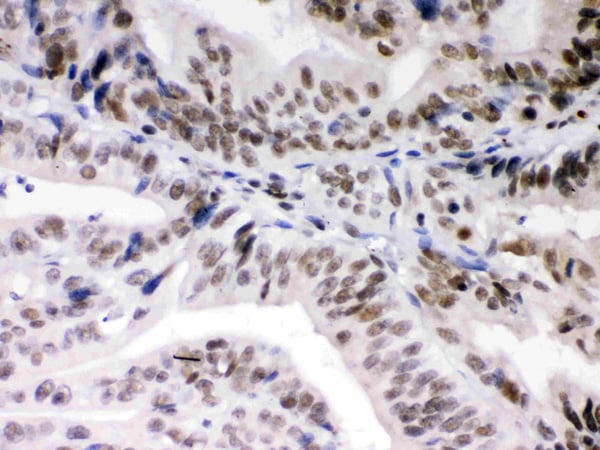
IHC (Immunohistochemisry)
(Anti- DAXX Picoband antibody, AAA46520,IHC(P)IHC(P): Human Intestinal Cancer Tissue)
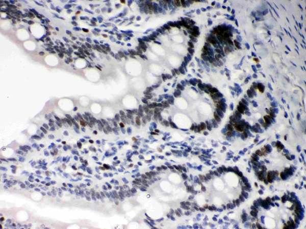
IHC (Immunohiostchemistry)
(Anti- DAXX Picoband antibody, AAA46520,IHC(P)IHC(P): Rat Intestine Tissue)
WB (Western Blot)
(Anti- DAXX Picoband antibody, AAA46520, Western blottingAll lanes: Anti DAXX (AAA46520) at 0.5ug/mlLane 1: Rat Testis Tissue Lysate at 50ugLane 2: A431 Whole Cell Lysate at 40ugLane 3: HELA Whole Cell Lysate at 40ugLane 4: HUT Whole Cell Lysate at 40ugLane 5: HEPA Whole Cell Lysate at 40ugPredicted bind size: 81KDObserved bind size: 130KD)
Background: DAXX (death-domain associated protein) also known as DAP6 (Death-associated protein 6) or BING2, was first discovered through its cytoplasmic interaction with the classical death receptor Fas. Human DAXX encodes a 740-amino acid polypeptide containing a nuclear localization signal. Functional analyses by Yang et al. (1997) demonstrated that Daxx binds to the Fas death domain and enhances Fas-mediated apoptosis. The authors suggested that DAXX and FADD define 2 distinct apoptotic pathways downstream of Fas. The DAXX gene is mapped to human chromosome 6p21.3 by somatic cell hybrid panels and fluorescence in situ hybridization, a region containing the HLA and putative autoimmune disease genes. MSP58 overexpression relieved DAXX-mediated transcriptional repression. Immunoprecipitation and Western blot analysis with DAXX mutants showed that the N terminus of DAXX interacts with the C terminus of DMAP. Transient expression of DAXX or DMAP1 caused repression of glucocorticoid receptor-mediated transcription.
NCBI and Uniprot Product Information
Customer Reviews
Loading reviews...
Share Your Experience
Similar Products
Product Notes
The DAXX daxx (Catalog #AAA46520) is an Antibody and is intended for research purposes only. The product is available for immediate purchase. The Anti-Daxx Antibody reacts with Human, Rat and may cross-react with other species as described in the data sheet. AAA Biotech's Daxx can be used in a range of immunoassay formats including, but not limited to, ICC (Immunocytochemistry), IHC (Immunohistochemistry), WB (Western Blot). Researchers should empirically determine the suitability of the DAXX daxx for an application not listed in the data sheet. Researchers commonly develop new applications and it is an integral, important part of the investigative research process. It is sometimes possible for the material contained within the vial of "Daxx, Polyclonal Antibody" to become dispersed throughout the inside of the vial, particularly around the seal of said vial, during shipment and storage. We always suggest centrifuging these vials to consolidate all of the liquid away from the lid and to the bottom of the vial prior to opening. Please be advised that certain products may require dry ice for shipping and that, if this is the case, an additional dry ice fee may also be required.Precautions
All products in the AAA Biotech catalog are strictly for research-use only, and are absolutely not suitable for use in any sort of medical, therapeutic, prophylactic, in-vivo, or diagnostic capacity. By purchasing a product from AAA Biotech, you are explicitly certifying that said products will be properly tested and used in line with industry standard. AAA Biotech and its authorized distribution partners reserve the right to refuse to fulfill any order if we have any indication that a purchaser may be intending to use a product outside of our accepted criteria.Disclaimer
Though we do strive to guarantee the information represented in this datasheet, AAA Biotech cannot be held responsible for any oversights or imprecisions. AAA Biotech reserves the right to adjust any aspect of this datasheet at any time and without notice. It is the responsibility of the customer to inform AAA Biotech of any product performance issues observed or experienced within 30 days of receipt of said product. To see additional details on this or any of our other policies, please see our Terms & Conditions page.Item has been added to Shopping Cart
If you are ready to order, navigate to Shopping Cart and get ready to checkout.
