Rabbit anti-Human DAZ4 Polyclonal Antibody | anti-DAZ4 antibody
DAZ4 Antibody
Gene Names
DAZ4; pDP1680; pDP1681
Reactivity
Human
Applications
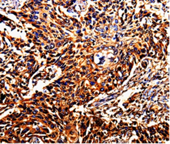
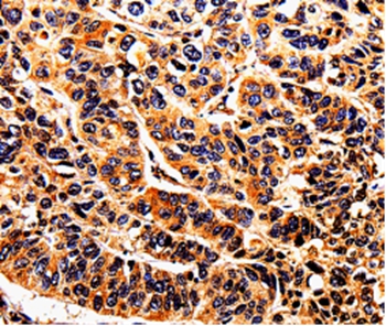
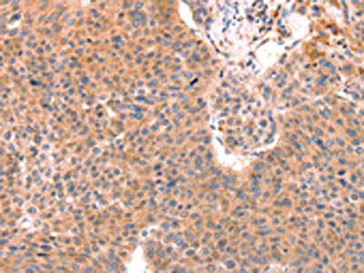
Immunohistochemistry
Purity
Antigen affinity purification.
Synonyms
DAZ4, Antibody; DAZ4 Antibody; pDP1680; pDP1681; anti-DAZ4 antibody
Host
Rabbit
Reactivity
Human
Clonality
Polyclonal
Specificity
The antibody detects endogenous levels of total DAZ4 protein.
Purity/Purification
Antigen affinity purification.
Form/Format
Rabbit IgG in pH7.3 PBS, 0.05% NaN3, 50% Glycerol.
Concentration
1.8 mg/ml (varies by lot)
Sequence Length
579
Applicable Applications for anti-DAZ4 antibody
IHC (Immunohistochemistry)
Immunogen Type
Recombinant Protein
Immunogen Description
Fusion protein corresponding to a region derived from internal residues of human Deleted in azoospermia protein 4
Target Name
DAZ4
Preparation and Storage
Store at -20 degree C
Related Product Information for anti-DAZ4 antibody
This gene is a member of the DAZ gene family and is a candidate for the human Y-chromosomal azoospermia factor (AZF). Its expression is restricted to premeiotic germ cells, particularly in spermatogonia. It encodes an RNA-binding protein that is important for spermatogenesis. Four copies of this gene are found on chromosome Y within palindromic duplications; one pair of genes is part of the P2 palindrome and the second pair is part of the P1 palindrome. Each gene contains a 2.4 kb repeat including a 72-bp exon, called the DAZ repeat; the number of DAZ repeats is variable and there are several variations in the sequence of the DAZ repeat. Each copy of the gene also contains a 10.8 kb region that may be amplified; this region includes five exons that encode an RNA recognition motif (RRM) domain. This gene contains two copies of the 10.8 kb repeat. Alternatively spliced transcript variants encoding different isoforms have been described.
Product Categories/Family for anti-DAZ4 antibody
NCBI and Uniprot Product Information
NCBI GI #
NCBI GeneID
NCBI Accession #
NCBI GenBank Nucleotide #
Molecular Weight
44,085 Da
NCBI Official Full Name
deleted in azoospermia protein 4 isoform 1
NCBI Official Synonym Full Names
deleted in azoospermia 4
NCBI Official Symbol
DAZ4
NCBI Official Synonym Symbols
pDP1680; pDP1681
NCBI Protein Information
deleted in azoospermia protein 4
UniProt Protein Name
Deleted in azoospermia protein 4
UniProt Gene Name
DAZ4
UniProt Entry Name
DAZ4_HUMAN
Customer Reviews
Loading reviews...
Share Your Experience
Similar Products
Product Notes
The DAZ4 daz4 (Catalog #AAA302213) is an Antibody produced from Rabbit and is intended for research purposes only. The product is available for immediate purchase. The DAZ4 Antibody reacts with Human and may cross-react with other species as described in the data sheet. AAA Biotech's DAZ4 can be used in a range of immunoassay formats including, but not limited to, IHC (Immunohistochemistry). Researchers should empirically determine the suitability of the DAZ4 daz4 for an application not listed in the data sheet. Researchers commonly develop new applications and it is an integral, important part of the investigative research process. It is sometimes possible for the material contained within the vial of "DAZ4, Polyclonal Antibody" to become dispersed throughout the inside of the vial, particularly around the seal of said vial, during shipment and storage. We always suggest centrifuging these vials to consolidate all of the liquid away from the lid and to the bottom of the vial prior to opening. Please be advised that certain products may require dry ice for shipping and that, if this is the case, an additional dry ice fee may also be required.Precautions
All products in the AAA Biotech catalog are strictly for research-use only, and are absolutely not suitable for use in any sort of medical, therapeutic, prophylactic, in-vivo, or diagnostic capacity. By purchasing a product from AAA Biotech, you are explicitly certifying that said products will be properly tested and used in line with industry standard. AAA Biotech and its authorized distribution partners reserve the right to refuse to fulfill any order if we have any indication that a purchaser may be intending to use a product outside of our accepted criteria.Disclaimer
Though we do strive to guarantee the information represented in this datasheet, AAA Biotech cannot be held responsible for any oversights or imprecisions. AAA Biotech reserves the right to adjust any aspect of this datasheet at any time and without notice. It is the responsibility of the customer to inform AAA Biotech of any product performance issues observed or experienced within 30 days of receipt of said product. To see additional details on this or any of our other policies, please see our Terms & Conditions page.Item has been added to Shopping Cart
If you are ready to order, navigate to Shopping Cart and get ready to checkout.
