Rabbit DcR3 Polyclonal Antibody | anti-TNFRSF6B antibody
DcR3 Antibody
Gene Names
TNFRSF6B; M68; TR6; DCR3; M68E; DJ583P15.1.1
Reactivity
Human, Mouse, Rat
Applications
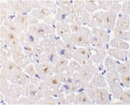
Immunohistochemistry, Western Blot, ELISA
Purity
DcR3 Antibody is Ion exchange chromatography purified.
Synonyms
DcR3, Antibody; DcR3 Antibody; DcR3; M68; TR6; DCR3; M68E; DJ583P15.1.1; UNQ186/PRO212; Tumor necrosis factor receptor superfamily member 6B; Decoy receptor 3; tumor necrosis factor receptor superfamily, member 6b, decoy; anti-TNFRSF6B antibody
Host
Rabbit
Reactivity
Human, Mouse, Rat
Clonality
Polyclonal
Isotype
IgG
Purity/Purification
DcR3 Antibody is Ion exchange chromatography purified.
Form/Format
Liquid
Sequence Length
1114
Applicable Applications for anti-TNFRSF6B antibody
IHC (Immunohistochemistry), WB (Western Blot), ELISA
Conjugate
Unconjugated
Immunogen
DcR3 antibody was raised against a peptide corresponding to amino acids near the amino terminus of human DcR3 precursor.
Buffer
DcR3 Antibody is supplied in PBS containing 0.02% sodium azide.
Preparation and Storage
DcR3 antibody can be stored at 4 degree C for three months and -20 degree C, stable for up to one year. As with all antibodies care should be taken to avoid repeated freeze thaw cycles. Antibodies should not be exposed to prolonged high temperatures.
Related Product Information for anti-TNFRSF6B antibody
DcR3 Antibody: Apoptosis is induced by certain cytokines including TNF and Fas ligand in the TNF family through their death domain containing receptors. Several novel members in the TNFR family including DR3, DR4, DR5, and DR6 were recently discovered and function as cell death receptors. Two decoy receptors, DcR1 and DcR2, were recently identified to compete with DR4 and DR5 for their ligand TRAIL binding. A novel decoy receptor was more recently discovered and designated DcR3 and TR6, respectively,. Unlike DcR1 and DcR2, DcR3 is a soluble rather than a membrane associated molecule. DcR3 binds to FasL and LIGHT and inhibits FasL and LIGHT induced apoptosis. DcR3 transcript is expressed in a number of lung and colon carcinomas and in some normal tissues.
NCBI and Uniprot Product Information
NCBI GI #
NCBI GeneID
UniProt Accession #
Molecular Weight
33 kDa
NCBI Official Full Name
Homo sapiens decoy receptor 3 (DcR3) mRNA, complete cds
NCBI Official Synonym Full Names
tumor necrosis factor receptor superfamily, member 6b, decoy
NCBI Official Symbol
TNFRSF6B
NCBI Official Synonym Symbols
M68; TR6; DCR3; M68E; DJ583P15.1.1
NCBI Protein Information
tumor necrosis factor receptor superfamily member 6B; decoy receptor 3; decoy receptor for Fas ligand
UniProt Protein Name
Tumor necrosis factor receptor superfamily member 6B
UniProt Gene Name
TNFRSF6B
UniProt Synonym Gene Names
DCR3; TR6; DcR3
UniProt Entry Name
TNF6B_HUMAN
Customer Reviews
Loading reviews...
Share Your Experience
Similar Products
Product Notes
The TNFRSF6B tnfrsf6b (Catalog #AAA40363) is an Antibody produced from Rabbit and is intended for research purposes only. The product is available for immediate purchase. The DcR3 Antibody reacts with Human, Mouse, Rat and may cross-react with other species as described in the data sheet. AAA Biotech's DcR3 can be used in a range of immunoassay formats including, but not limited to, IHC (Immunohistochemistry), WB (Western Blot), ELISA. Researchers should empirically determine the suitability of the TNFRSF6B tnfrsf6b for an application not listed in the data sheet. Researchers commonly develop new applications and it is an integral, important part of the investigative research process. It is sometimes possible for the material contained within the vial of "DcR3, Polyclonal Antibody" to become dispersed throughout the inside of the vial, particularly around the seal of said vial, during shipment and storage. We always suggest centrifuging these vials to consolidate all of the liquid away from the lid and to the bottom of the vial prior to opening. Please be advised that certain products may require dry ice for shipping and that, if this is the case, an additional dry ice fee may also be required.Precautions
All products in the AAA Biotech catalog are strictly for research-use only, and are absolutely not suitable for use in any sort of medical, therapeutic, prophylactic, in-vivo, or diagnostic capacity. By purchasing a product from AAA Biotech, you are explicitly certifying that said products will be properly tested and used in line with industry standard. AAA Biotech and its authorized distribution partners reserve the right to refuse to fulfill any order if we have any indication that a purchaser may be intending to use a product outside of our accepted criteria.Disclaimer
Though we do strive to guarantee the information represented in this datasheet, AAA Biotech cannot be held responsible for any oversights or imprecisions. AAA Biotech reserves the right to adjust any aspect of this datasheet at any time and without notice. It is the responsibility of the customer to inform AAA Biotech of any product performance issues observed or experienced within 30 days of receipt of said product. To see additional details on this or any of our other policies, please see our Terms & Conditions page.Item has been added to Shopping Cart
If you are ready to order, navigate to Shopping Cart and get ready to checkout.
