Rabbit anti-Mouse, Rat DCX Polyclonal Antibody | anti-DCX antibody
DCX Polyclonal Antibody
Gene Names
Dcx; Dbct
Reactivity
Mouse, Rat
Applications
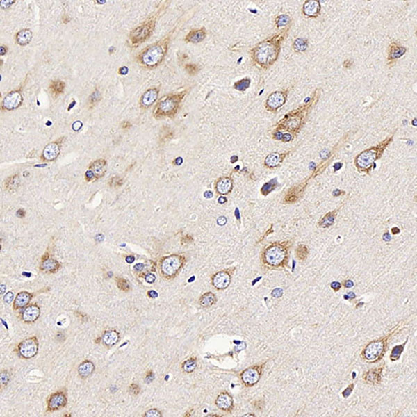
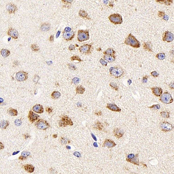
Immunohistochemistry
Purity
Affinity Purification
Synonyms
DCX, Antibody; DCX Polyclonal Antibody; DBCN; Dbct; DC; DCX; Doublecortex; Doublin; FLJ51296; Lis X; Lis-X; Lissencephalin X; Lissencephalin-X; Lissencephaly X linked; Lissencephaly X linked doublecortin; LISX; Neuronal migration protein doublecortin; OTTHUMP00000023859; OTTHUMP00000023860; OTTHUMP00000216315; OTTHUMP00000216316; SCLH; XLIS; anti-DCX antibody
Host
Rabbit
Reactivity
Mouse, Rat
Clonality
Polyclonal
Isotype
IgG
Purity/Purification
Affinity Purification
Form/Format
PBS with 0.02% sodium azide, 100 mug/ml BSA and 50% glycerol.
Concentration
0.93 mg/mL (varies by lot)
Sequence Length
366
Applicable Applications for anti-DCX antibody
IHC (Immunohistochemistry)
Immunogen
KLH conjugated synthetic peptide corresponding to Mouse DCX
Conjugation
Unconjugated
Preparation and Storage
Store at -20 degree C. Avoid freeze/thaw cycles.
Related Product Information for anti-DCX antibody
This gene encodes a member of the doublecortin family. The protein encoded by this gene is a cytoplasmic protein and contains two doublecortin domains, which bind microtubules. In the developing cortex, cortical neurons must migrate over long distances to reach the site of their final differentiation. The encoded protein appears to direct neuronal migration by regulating the organization and stability of microtubules. In addition, the encoded protein interacts with LIS1, the regulatory gamma subunit of platelet activating factor acetylhydrolase, and this interaction is important to proper microtubule function in the developing cortex. Mutations in this gene cause abnormal migration of neurons during development and disrupt the layering of the cortex, leading to epilepsy, cognitive disability, subcortical band heterotopia ("double cortex" syndrome) in females and lissencephaly ("smooth brain" syndrome) in males. Multiple transcript variants encoding different isoforms have been found for this gene.
Product Categories/Family for anti-DCX antibody
NCBI and Uniprot Product Information
NCBI GI #
NCBI GeneID
NCBI Accession #
NCBI GenBank Nucleotide #
Molecular Weight
40,613 Da
NCBI Official Full Name
neuronal migration protein doublecortin isoform a
NCBI Official Synonym Full Names
doublecortin
NCBI Official Symbol
Dcx
NCBI Official Synonym Symbols
Dbct
NCBI Protein Information
neuronal migration protein doublecortin
UniProt Protein Name
Neuronal migration protein doublecortin
UniProt Gene Name
Dcx
UniProt Synonym Gene Names
Dcn; Lis-X
Similar Products
Product Notes
The DCX dcx (Catalog #AAA174463) is an Antibody produced from Rabbit and is intended for research purposes only. The product is available for immediate purchase. The DCX Polyclonal Antibody reacts with Mouse, Rat and may cross-react with other species as described in the data sheet. AAA Biotech's DCX can be used in a range of immunoassay formats including, but not limited to, IHC (Immunohistochemistry). Researchers should empirically determine the suitability of the DCX dcx for an application not listed in the data sheet. Researchers commonly develop new applications and it is an integral, important part of the investigative research process. It is sometimes possible for the material contained within the vial of "DCX, Polyclonal Antibody" to become dispersed throughout the inside of the vial, particularly around the seal of said vial, during shipment and storage. We always suggest centrifuging these vials to consolidate all of the liquid away from the lid and to the bottom of the vial prior to opening. Please be advised that certain products may require dry ice for shipping and that, if this is the case, an additional dry ice fee may also be required.Precautions
All products in the AAA Biotech catalog are strictly for research-use only, and are absolutely not suitable for use in any sort of medical, therapeutic, prophylactic, in-vivo, or diagnostic capacity. By purchasing a product from AAA Biotech, you are explicitly certifying that said products will be properly tested and used in line with industry standard. AAA Biotech and its authorized distribution partners reserve the right to refuse to fulfill any order if we have any indication that a purchaser may be intending to use a product outside of our accepted criteria.Disclaimer
Though we do strive to guarantee the information represented in this datasheet, AAA Biotech cannot be held responsible for any oversights or imprecisions. AAA Biotech reserves the right to adjust any aspect of this datasheet at any time and without notice. It is the responsibility of the customer to inform AAA Biotech of any product performance issues observed or experienced within 30 days of receipt of said product. To see additional details on this or any of our other policies, please see our Terms & Conditions page.Item has been added to Shopping Cart
If you are ready to order, navigate to Shopping Cart and get ready to checkout.
