Rabbit anti-Human DDX11 Polyclonal Antibody | anti-DDX11 antibody
DDX11 Antibody
Gene Names
DDX11; CHL1; KRG2; WABS; CHLR1
Reactivity
Human
Applications
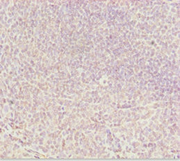
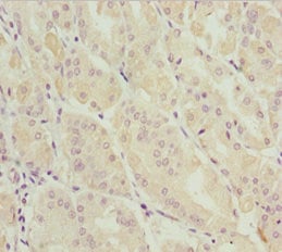
Immunohistochemistry, ELISA
Purity
Antigen Affinity Purified
Synonyms
DDX11, Antibody; DDX11 Antibody; Probable ATP-dependent DNA helicase DDX11Curated; CHL1-related protein 1; hCHLR1; DEAD/H box protein 11; Keratinocyte growth factor-regulated gene 2 protein; KRG-2; DDX11; CHL1; CHLR1; KRG2; anti-DDX11 antibody
Host
Rabbit
Reactivity
Human
Clonality
Polyclonal
Isotype
IgG
Purity/Purification
Antigen Affinity Purified
Form/Format
Liquid
Sequence Length
970
Applicable Applications for anti-DDX11 antibody
IHC (Immunohistochemistry), ELISA
Species
Human
Immunogen
Recombinant human Probable ATP-dependent DNA helicase DDX11 protein (N-220AA)
Conjugate
Non-conjugated
Buffer
PBS with 0.02% sodium azide, 50% glycerol, pH7.3.
Santa Cruz Alternative
Potential replacement for Santa Cruz Biotechnology antibody catalog# sc-68468 / sc-68855
Preparation and Storage
Shipped at 4 degree C. Upon delivery aliquot and store at -20 degree C or -80 degree C. Avoid repeated freeze.
Related Product Information for anti-DDX11 antibody
DNA helicase involved in cellular proliferation. Possesses DNA-dependent ATPase and helicase activities. This helicase translocates on single-stranded DNA in the 5' to 3' direction in the presence of ATP and, to a lesser extent, dATP. Its unwinding activity requires a 5'-single-stranded region for helicase loading, since flush-ended duplex structures do not support unwinding. The helicase activity is capable of displacing duplex regions up to 100 bp, which can be extended to 500 bp by RPA or the cohesion establishment factor, the Ctf18-RFC (replication factor C) complex activities. Stimulates the flap endonuclease activity of FEN1. Required for normal sister chromatid cohesion. Required for recruitment of bovine papillomavirus type 1 regulatory protein E2 to mitotic chrmosomes and for viral genome maintenance. Required for maintaining the chromosome segregation and is essential for embryonic development and the prevention of aneuploidy. May function during either S, G2, or M phase of the cell cycle. Binds to both single- and double-stranded DNA.
NCBI and Uniprot Product Information
NCBI GI #
NCBI GeneID
NCBI Accession #
NCBI GenBank Nucleotide #
Molecular Weight
32,951 Da
NCBI Official Full Name
probable ATP-dependent DNA helicase DDX11 isoform 3
NCBI Official Synonym Full Names
DEAD/H-box helicase 11
NCBI Official Symbol
DDX11
NCBI Official Synonym Symbols
CHL1; KRG2; WABS; CHLR1
NCBI Protein Information
probable ATP-dependent DNA helicase DDX11
UniProt Protein Name
Probable ATP-dependent DNA helicase DDX11
UniProt Gene Name
DDX11
UniProt Synonym Gene Names
CHL1; CHLR1; KRG2; hCHLR1; KRG-2
UniProt Entry Name
DDX11_HUMAN
Customer Reviews
Loading reviews...
Share Your Experience
Similar Products
Product Notes
The DDX11 ddx11 (Catalog #AAA232322) is an Antibody produced from Rabbit and is intended for research purposes only. The product is available for immediate purchase. The DDX11 Antibody reacts with Human and may cross-react with other species as described in the data sheet. AAA Biotech's DDX11 can be used in a range of immunoassay formats including, but not limited to, IHC (Immunohistochemistry), ELISA. Researchers should empirically determine the suitability of the DDX11 ddx11 for an application not listed in the data sheet. Researchers commonly develop new applications and it is an integral, important part of the investigative research process. It is sometimes possible for the material contained within the vial of "DDX11, Polyclonal Antibody" to become dispersed throughout the inside of the vial, particularly around the seal of said vial, during shipment and storage. We always suggest centrifuging these vials to consolidate all of the liquid away from the lid and to the bottom of the vial prior to opening. Please be advised that certain products may require dry ice for shipping and that, if this is the case, an additional dry ice fee may also be required.Precautions
All products in the AAA Biotech catalog are strictly for research-use only, and are absolutely not suitable for use in any sort of medical, therapeutic, prophylactic, in-vivo, or diagnostic capacity. By purchasing a product from AAA Biotech, you are explicitly certifying that said products will be properly tested and used in line with industry standard. AAA Biotech and its authorized distribution partners reserve the right to refuse to fulfill any order if we have any indication that a purchaser may be intending to use a product outside of our accepted criteria.Disclaimer
Though we do strive to guarantee the information represented in this datasheet, AAA Biotech cannot be held responsible for any oversights or imprecisions. AAA Biotech reserves the right to adjust any aspect of this datasheet at any time and without notice. It is the responsibility of the customer to inform AAA Biotech of any product performance issues observed or experienced within 30 days of receipt of said product. To see additional details on this or any of our other policies, please see our Terms & Conditions page.Item has been added to Shopping Cart
If you are ready to order, navigate to Shopping Cart and get ready to checkout.
