Rabbit DDX4/MVH Polyclonal Antibody | anti-DDX4 antibody
Anti-DDX4/MVH antibody
WB (Western Blot)
(Anti-DDX4/MVH antibody, AAA11583, Western blottingLane 1: Rat Testis Tissue LysateLane 2: Mouse Testis Tissue LysateLane 3: Mouse Ovary Tissue Lysate)
WB (Western Blot)
(Anti-DDX4/MVH antibody, AAA11583, Western blottingLane 1: Rat Testis Tissue LysateLane 2: Mouse Testis Tissue LysateLane 3: HELA Cell Lysate)
Background: DDX4(DEAD/H BOX 4), also known as VASA. The deduced 724-amino acid VASA protein contains the 8 conserved domains found in all known DEAD box proteins. The amino acid sequence in this core region shows greater similarity to VASA homologs in other species than to other human DEAD box proteins. By radiation hybrid analysis, Castrillon et al.(2000) mapped the VASA gene to 5q. By fluorescence in situ hybridization, they refined the localization to 5q11.2-q12. This region is syntenic to the distal end of mouse chromosome 13, where the mouse VASA homolog(Ddx4) resides(Abe and Noce, 1997). Using a combination of proteomics, cytology, and functional analysis in C. elegans, Chu et al.(2006) reduced 1,099 proteins copurified with spermatogenic chromatin to 132 proteins for functional analysis.
NCBI and Uniprot Product Information
Customer Reviews
Loading reviews...
Share Your Experience
Similar Products
Product Notes
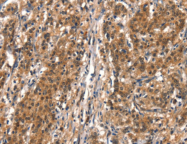
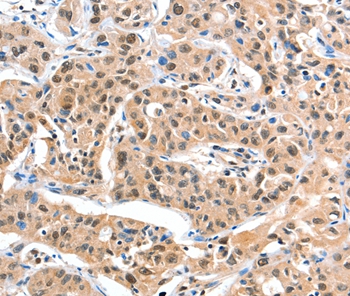
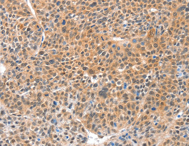
The DDX4 ddx4 (Catalog #AAA11583) is an Antibody produced from Rabbit and is intended for research purposes only. The product is available for immediate purchase. The Anti-DDX4/MVH antibody reacts with Human, Mouse, Rat and may cross-react with other species as described in the data sheet. AAA Biotech's DDX4/MVH can be used in a range of immunoassay formats including, but not limited to, WB (Western Blot), IHC (Immunohistochemistry), IHC (Immunohistochemistry), ICC (Immunocytochemistry). Researchers should empirically determine the suitability of the DDX4 ddx4 for an application not listed in the data sheet. Researchers commonly develop new applications and it is an integral, important part of the investigative research process. It is sometimes possible for the material contained within the vial of "DDX4/MVH, Polyclonal Antibody" to become dispersed throughout the inside of the vial, particularly around the seal of said vial, during shipment and storage. We always suggest centrifuging these vials to consolidate all of the liquid away from the lid and to the bottom of the vial prior to opening. Please be advised that certain products may require dry ice for shipping and that, if this is the case, an additional dry ice fee may also be required.Precautions
All products in the AAA Biotech catalog are strictly for research-use only, and are absolutely not suitable for use in any sort of medical, therapeutic, prophylactic, in-vivo, or diagnostic capacity. By purchasing a product from AAA Biotech, you are explicitly certifying that said products will be properly tested and used in line with industry standard. AAA Biotech and its authorized distribution partners reserve the right to refuse to fulfill any order if we have any indication that a purchaser may be intending to use a product outside of our accepted criteria.Disclaimer
Though we do strive to guarantee the information represented in this datasheet, AAA Biotech cannot be held responsible for any oversights or imprecisions. AAA Biotech reserves the right to adjust any aspect of this datasheet at any time and without notice. It is the responsibility of the customer to inform AAA Biotech of any product performance issues observed or experienced within 30 days of receipt of said product. To see additional details on this or any of our other policies, please see our Terms & Conditions page.Item has been added to Shopping Cart
If you are ready to order, navigate to Shopping Cart and get ready to checkout.
