Rabbit anti-Human, Mouse DNA PK Polyclonal Antibody | anti-PRKDC antibody
DNA PK Antibody
Phosphate buffered saline, pH 7.4, 150mM NaCl, 0.02% sodium azide and 50% glycerol.
WB (Western Blot)
(Western blot analysis of DNA PK expression in K562 cells.The lane on the left is treated with the antigen-specific peptide.)
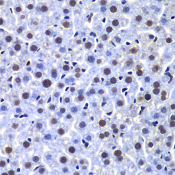
IHC (Immunohiostchemistry)
(AAA321991 at 1/100 staining Mouse brain tissue by IHC-P. The sample was formaldehyde fixed and a heat mediated antigen retrieval step in citrate buffer was performed. The sample was then blocked and incubated with the antibody for 1.5 hours at 22 degree C. An HRP conjugated goat anti-rabbit antibody was used as the secondary.)
IF (Immunofluorescence)
(AAA321991 staining HeLa cells by IF/ICC. The sample were fixed with PFA and permeabilized in 0.1% Triton X-100, then blocked in 10% serum for 45 minutes at 25 degree C. The primary antibody was diluted at 1/200 and incubated with the sample for 1 hour at 37 degree C. An Alexa Fluor 594 conjugated goat anti-rabbit IgG (H+L) antibody, diluted at 1/600, was used as secondary antibody.)
Subunit Structure: DNA-PK is a heterotrimer of PRKDC and the Ku p70/YRCC6-p86/XRCC5 dimer. Formation of this complex may be promoted by interaction with ILF3. Associates with the DNA-bound Ku heterodimer, but it can also bind to and be activated by free DNA. The DNA-PK heterotrimer associates with the LIG4-XRCC4 complex to form the core of the non-homologous end joining (NHEJ) complex. Additional components of the NHEJ complex include NHEJ1/XLF and PAXX. Interacts with DNA-PKcs-interacting protein (KIP) with the region upstream the kinase domain. PRKDC alone also interacts with and phosphorylates DCLRE1C, thereby activating the latent endonuclease activity of this protein. Interacts with C1D. Interacts with TTI1 and TELO2. Interacts with CIB1. Interacts with SETX (PubMed:23149945). Interacts with NR4A3; the DNA-dependent protein kinase complex DNA-PK phosphorylates and activates NR4A3 and prevents NR4A3 ubiquitination and degradation (PubMed:25852083). Interacts with BRAT1. Part of the HDP-RNP complex composed of at least HEXIM1, PRKDC, XRCC5, XRCC6, paraspeckle proteins (SFPQ, NONO, PSPC1, RBM14, and MATR3) and NEAT1 RNA.
Post-translational Modifications: Autophosphorylated on Ser-2056, Thr-2609, Thr-2638 and Thr-2647. Ser-2056 and Thr-2609 are DNA damage-inducible phosphorylation sites (inducible with ionizing radiation, IR) dephosphorylated by PPP5C. Autophosphorylation induces a conformational change that leads to remodeling of the DNA-PK complex, requisite for efficient end processing and DNA repair. S-nitrosylated by GAPDH. Polyubiquitinated by RNF144A, leading to proteasomal degradation.
Similarity: Belongs to the PI3/PI4-kinase family.
NCBI and Uniprot Product Information
Predicted: 470 kDa
Customer Reviews
Loading reviews...
Share Your Experience
Similar Products
Product Notes
The PRKDC prkdc (Catalog #AAA321991) is an Antibody produced from Rabbit and is intended for research purposes only. The product is available for immediate purchase. The DNA PK Antibody reacts with Human, Mouse and may cross-react with other species as described in the data sheet. AAA Biotech's DNA PK can be used in a range of immunoassay formats including, but not limited to, ELISA, ICC (Immunocytochemistry), IF (Immunofluorescence), IHC (Immunohistochemistry), WB (Western Blot). Researchers should empirically determine the suitability of the PRKDC prkdc for an application not listed in the data sheet. Researchers commonly develop new applications and it is an integral, important part of the investigative research process. It is sometimes possible for the material contained within the vial of "DNA PK, Polyclonal Antibody" to become dispersed throughout the inside of the vial, particularly around the seal of said vial, during shipment and storage. We always suggest centrifuging these vials to consolidate all of the liquid away from the lid and to the bottom of the vial prior to opening. Please be advised that certain products may require dry ice for shipping and that, if this is the case, an additional dry ice fee may also be required.Precautions
All products in the AAA Biotech catalog are strictly for research-use only, and are absolutely not suitable for use in any sort of medical, therapeutic, prophylactic, in-vivo, or diagnostic capacity. By purchasing a product from AAA Biotech, you are explicitly certifying that said products will be properly tested and used in line with industry standard. AAA Biotech and its authorized distribution partners reserve the right to refuse to fulfill any order if we have any indication that a purchaser may be intending to use a product outside of our accepted criteria.Disclaimer
Though we do strive to guarantee the information represented in this datasheet, AAA Biotech cannot be held responsible for any oversights or imprecisions. AAA Biotech reserves the right to adjust any aspect of this datasheet at any time and without notice. It is the responsibility of the customer to inform AAA Biotech of any product performance issues observed or experienced within 30 days of receipt of said product. To see additional details on this or any of our other policies, please see our Terms & Conditions page.Item has been added to Shopping Cart
If you are ready to order, navigate to Shopping Cart and get ready to checkout.
