Rabbit DRD4 Polyclonal Antibody | anti-DRD4 antibody
DRD4 Antibody
Phosphate buffered saline, pH 7.4, 150mM NaCl, 0.02% sodium azide and 50% glycerol.
IF (Immunofluorescence)
(AAA326839 staining MCF7 by IF/ICC. The sample were fixed with PFA and permeabilized in 0.1% Triton X-100, then blocked in 10% serum for 45 minutes at 25 degree C. The primary antibody was diluted at 1/200 and incubated with the sample for 1 hour at 37 degree C. An Alexa Fluor 594 conjugated goat anti-rabbit IgG (H+L) Ab, diluted at 1/600, was used as the secondary antibody.)
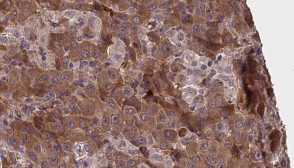
IHC (Immunohiostchemistry)
(AAA326839 at 1/100 staining Human liver cancer tissue by IHC-P. The sample was formaldehyde fixed and a heat mediated antigen retrieval step in citrate buffer was performed. The sample was then blocked and incubated with the antibody for 1.5 hours at 22 degree C. An HRP conjugated goat anti-rabbit antibody was used as the secondary.)
WB (Western Blot)
(Western blotanalysis of extracts of Mouse skeletal muscle tissue lysate, using DRD4antibody. The lane on the left is treated with the antigen-specific peptide.)
Function: Dopamine receptor responsible for neuronal signaling in the mesolimbic system of the brain, an area of the brain that regulates emotion and complex behavior. Activated by dopamine, but also by epinephrine and norepinephrine, and by numerous synthetic agonists and drugs (PubMed:9003072, PubMed:16423344, PubMed:27659709, PubMed:29051383). Agonist binding triggers signaling via G proteins that inhibit adenylyl cyclase (PubMed:7512953, PubMed:7643093, PubMed:16423344, PubMed:27659709, PubMed:29051383). Modulates the circadian rhythm of contrast sensitivity by regulating the rhythmic expression of NPAS2 in the retinal ganglion cells (By similarity).
Subunit Structure: Forms homo-and heterooligomers with DRD2. D4.7 allele exhibits higher affinity for homodimers compared to DRD2 heterodimers, while alleles D42. and 4.4 have similar affinities for both. The interaction with DRD2 may modulate agonist-induced downstream signaling (PubMed:21184734). Interacts with CLIC6 (By similarity). Interacts with GPRASP1 (PubMed:12142540). May interact with ADORA2A (PubMed:20836733). Interacts with KLHL12 (PubMed:18303015).
Post-translational Modifications: Polyubiquitinated by the BCR(KLHL12) E3 ubiquitin ligase complex: polyubiquitination does not lead to degradation of DRD4 protein. Palmitoylated. Palmitoylation of the C-terminal Cys is important for normal expression at the cell membrane.
Similarity: Belongs to the G-protein coupled receptor 1 family.
NCBI and Uniprot Product Information
Predicted: 49 kDa
Customer Reviews
Loading reviews...
Share Your Experience
Similar Products
Product Notes
The DRD4 drd4 (Catalog #AAA326839) is an Antibody produced from Rabbit and is intended for research purposes only. The product is available for immediate purchase. The DRD4 Antibody reacts with Human, Mouse, Rat and may cross-react with other species as described in the data sheet. AAA Biotech's DRD4 can be used in a range of immunoassay formats including, but not limited to, ELISA, ICC (Immunocytochemistry), IF (Immunofluorescence), IHC (Immunohistochemistry), WB (Western Blot). Researchers should empirically determine the suitability of the DRD4 drd4 for an application not listed in the data sheet. Researchers commonly develop new applications and it is an integral, important part of the investigative research process. It is sometimes possible for the material contained within the vial of "DRD4, Polyclonal Antibody" to become dispersed throughout the inside of the vial, particularly around the seal of said vial, during shipment and storage. We always suggest centrifuging these vials to consolidate all of the liquid away from the lid and to the bottom of the vial prior to opening. Please be advised that certain products may require dry ice for shipping and that, if this is the case, an additional dry ice fee may also be required.Precautions
All products in the AAA Biotech catalog are strictly for research-use only, and are absolutely not suitable for use in any sort of medical, therapeutic, prophylactic, in-vivo, or diagnostic capacity. By purchasing a product from AAA Biotech, you are explicitly certifying that said products will be properly tested and used in line with industry standard. AAA Biotech and its authorized distribution partners reserve the right to refuse to fulfill any order if we have any indication that a purchaser may be intending to use a product outside of our accepted criteria.Disclaimer
Though we do strive to guarantee the information represented in this datasheet, AAA Biotech cannot be held responsible for any oversights or imprecisions. AAA Biotech reserves the right to adjust any aspect of this datasheet at any time and without notice. It is the responsibility of the customer to inform AAA Biotech of any product performance issues observed or experienced within 30 days of receipt of said product. To see additional details on this or any of our other policies, please see our Terms & Conditions page.Item has been added to Shopping Cart
If you are ready to order, navigate to Shopping Cart and get ready to checkout.
