Rabbit anti-Human DUSP16 Polyclonal Antibody | anti-DUSP16 antibody
DUSP16 Antibody
Gene Names
DUSP16; MKP7; MKP-7
Reactivity
Human
Applications
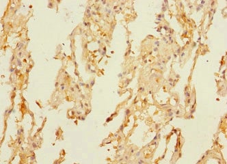
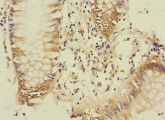
Immunohistochemistry, ELISA
Purity
Antigen Affinity Purified
Synonyms
DUSP16, Antibody; DUSP16 Antibody; Dual specificity protein phosphatase 16; Mitogen-activated protein kinase phosphatase 7; MAP kinase phosphatase 7; MKP-7; DUSP16; KIAA1700; MKP7; anti-DUSP16 antibody
Host
Rabbit
Reactivity
Human
Clonality
Polyclonal
Isotype
IgG
Purity/Purification
Antigen Affinity Purified
Form/Format
Liquid
Sequence Length
665
Applicable Applications for anti-DUSP16 antibody
IHC (Immunohistochemistry), ELISA
Species
Human
Immunogen
Recombinant human Dual specificity protein phosphatase 16 protein (C-250AA)
Conjugate
Non-conjugated
Buffer
PBS with 0.02% sodium azide, 50% glycerol, pH7.3.
Santa Cruz Alternative
Potential replacement for Santa Cruz Biotechnology antibody catalog# sc-47903 / sc-47907 / sc-47904 / sc-98872
Preparation and Storage
Shipped at 4 degree C. Upon delivery aliquot and store at -20 degree C or -80 degree C. Avoid repeated freeze.
Related Product Information for anti-DUSP16 antibody
Dual specificity protein phosphatase involved in the inactivation of MAP kinases. Dephosphorylates MAPK10 bound to ARRB2.
NCBI and Uniprot Product Information
NCBI GI #
NCBI GeneID
NCBI Accession #
NCBI GenBank Nucleotide #
Molecular Weight
16,078 Da
NCBI Official Full Name
dual specificity protein phosphatase 16
NCBI Official Synonym Full Names
dual specificity phosphatase 16
NCBI Official Symbol
DUSP16
NCBI Official Synonym Symbols
MKP7; MKP-7
NCBI Protein Information
dual specificity protein phosphatase 16
UniProt Protein Name
Dual specificity protein phosphatase 16
UniProt Gene Name
DUSP16
UniProt Synonym Gene Names
KIAA1700; MKP7; MAP kinase phosphatase 7; MKP-7
UniProt Entry Name
DUS16_HUMAN
Customer Reviews
Loading reviews...
Share Your Experience
Similar Products
Product Notes
The DUSP16 dusp16 (Catalog #AAA230861) is an Antibody produced from Rabbit and is intended for research purposes only. The product is available for immediate purchase. The DUSP16 Antibody reacts with Human and may cross-react with other species as described in the data sheet. AAA Biotech's DUSP16 can be used in a range of immunoassay formats including, but not limited to, IHC (Immunohistochemistry), ELISA. Researchers should empirically determine the suitability of the DUSP16 dusp16 for an application not listed in the data sheet. Researchers commonly develop new applications and it is an integral, important part of the investigative research process. It is sometimes possible for the material contained within the vial of "DUSP16, Polyclonal Antibody" to become dispersed throughout the inside of the vial, particularly around the seal of said vial, during shipment and storage. We always suggest centrifuging these vials to consolidate all of the liquid away from the lid and to the bottom of the vial prior to opening. Please be advised that certain products may require dry ice for shipping and that, if this is the case, an additional dry ice fee may also be required.Precautions
All products in the AAA Biotech catalog are strictly for research-use only, and are absolutely not suitable for use in any sort of medical, therapeutic, prophylactic, in-vivo, or diagnostic capacity. By purchasing a product from AAA Biotech, you are explicitly certifying that said products will be properly tested and used in line with industry standard. AAA Biotech and its authorized distribution partners reserve the right to refuse to fulfill any order if we have any indication that a purchaser may be intending to use a product outside of our accepted criteria.Disclaimer
Though we do strive to guarantee the information represented in this datasheet, AAA Biotech cannot be held responsible for any oversights or imprecisions. AAA Biotech reserves the right to adjust any aspect of this datasheet at any time and without notice. It is the responsibility of the customer to inform AAA Biotech of any product performance issues observed or experienced within 30 days of receipt of said product. To see additional details on this or any of our other policies, please see our Terms & Conditions page.Item has been added to Shopping Cart
If you are ready to order, navigate to Shopping Cart and get ready to checkout.
