Rabbit anti-Human E2F7 Polyclonal Antibody | anti-E2F7 antibody
E2F7 Antibody
Phosphate buffered saline, pH 7.4, 150mM NaCl, 0.02% sodium azide and 50% glycerol.
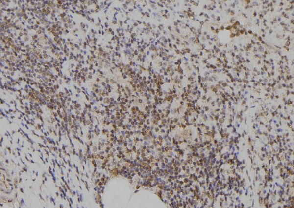
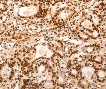
IHC (Immunohiostchemistry)
(AAA323431 at 1/100 staining Human spleen tissue by IHC-P. The sample was formaldehyde fixed and a heat mediated antigen retrieval step in citrate buffer was performed. The sample was then blocked and incubated with the antibody for 1.5 hours at 22 degree C. An HRP conjugated goat anti-rabbit antibody was used as the secondary.)
WB (Western Blot)
(Western blot analysis of E2F7 expression in SP2/0 cell lysate, The lane on the left is treated with the antigen-specific peptide.)
Function: Atypical E2F transcription factor that participates in various processes such as angiogenesis, polyploidization of specialized cells and DNA damage response. Mainly acts as a transcription repressor that binds DNA independently of DP proteins and specifically recognizes the E2 recognition site 5'-TTTC[CG]CGC-3'. Directly represses transcription of classical E2F transcription factors such as E2F1. Acts as a regulator of S-phase by recognizing and binding the E2-related site 5'-TTCCCGCC-3' and mediating repression of G1/S-regulated genes. Plays a key role in polyploidization of cells in placenta and liver by regulating the endocycle, probably by repressing genes promoting cytokinesis and antagonizing action of classical E2F proteins (E2F1, E2F2 and/or E2F3). Required for placental development by promoting polyploidization of trophoblast giant cells. Also involved in DNA damage response: up-regulated by p53/TP53 following genotoxic stress and acts as a downstream effector of p53/TP53-dependent repression by mediating repression of indirect p53/TP53 target genes involved in DNA replication. Acts as a promoter of sprouting angiogenesis, possibly by acting as a transcription activator: associates with HIF1A, recognizes and binds the VEGFA promoter, which is different from canonical E2 recognition site, and activates expression of the VEGFA gene. Acts as a negative regulator of keratinocyte differentiation.
Subunit Structure: Homodimer and heterodimer: mainly forms homodimers and, to a lesser extent, heterodimers with E2F8. Dimerization is important for DNA-binding. Interacts with HIF1A.
Similarity: In contrast to classical members of the E2F transcription factor, atypical members contain 2 DNA-binding domains and regulate transcription in a DP-independent manner. Both DNA-binding domains are required for DNA-binding and are proposed to form an intramolecular structure that is similar to the winged helix structure of the E2F-DP heterodimer (PubMed:14633988). Belongs to the E2F/DP family.
NCBI and Uniprot Product Information
Predicted: 100 kDa
Customer Reviews
Loading reviews...
Share Your Experience
Similar Products
Product Notes
The E2F7 e2f7 (Catalog #AAA323431) is an Antibody produced from Rabbit and is intended for research purposes only. The product is available for immediate purchase. The E2F7 Antibody reacts with Human and may cross-react with other species as described in the data sheet. AAA Biotech's E2F7 can be used in a range of immunoassay formats including, but not limited to, ELISA, IHC (Immunohistochemistry), WB (Western Blot). Researchers should empirically determine the suitability of the E2F7 e2f7 for an application not listed in the data sheet. Researchers commonly develop new applications and it is an integral, important part of the investigative research process. It is sometimes possible for the material contained within the vial of "E2F7, Polyclonal Antibody" to become dispersed throughout the inside of the vial, particularly around the seal of said vial, during shipment and storage. We always suggest centrifuging these vials to consolidate all of the liquid away from the lid and to the bottom of the vial prior to opening. Please be advised that certain products may require dry ice for shipping and that, if this is the case, an additional dry ice fee may also be required.Precautions
All products in the AAA Biotech catalog are strictly for research-use only, and are absolutely not suitable for use in any sort of medical, therapeutic, prophylactic, in-vivo, or diagnostic capacity. By purchasing a product from AAA Biotech, you are explicitly certifying that said products will be properly tested and used in line with industry standard. AAA Biotech and its authorized distribution partners reserve the right to refuse to fulfill any order if we have any indication that a purchaser may be intending to use a product outside of our accepted criteria.Disclaimer
Though we do strive to guarantee the information represented in this datasheet, AAA Biotech cannot be held responsible for any oversights or imprecisions. AAA Biotech reserves the right to adjust any aspect of this datasheet at any time and without notice. It is the responsibility of the customer to inform AAA Biotech of any product performance issues observed or experienced within 30 days of receipt of said product. To see additional details on this or any of our other policies, please see our Terms & Conditions page.Item has been added to Shopping Cart
If you are ready to order, navigate to Shopping Cart and get ready to checkout.
