Rabbit anti-Human EDA2R Polyclonal Antibody | anti-EDA2R antibody
EDA2R Antibody
Gene Names
EDA2R; XEDAR; EDAA2R; EDA-A2R; TNFRSF27
Reactivity
Human
Applications
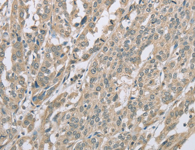
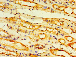
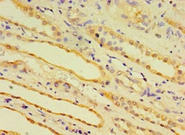
Immunohistochemistry
Purity
Antigen affinity purification.
Synonyms
EDA2R, Antibody; EDA2R Antibody; XEDAR; EDAA2R; EDA-A2R; TNFRSF27; anti-EDA2R antibody
Host
Rabbit
Reactivity
Human
Clonality
Polyclonal
Specificity
The antibody detects endogenous levels of total EDA2R protein.
Purity/Purification
Antigen affinity purification.
Form/Format
Rabbit IgG in pH7.3 PBS, 0.05% NaN3, 50% Glycerol.
Concentration
2.7 mg/ml (varies by lot)
Sequence Length
297
Applicable Applications for anti-EDA2R antibody
IHC (Immunohistochemistry)
Immunogen Type
Recombinant Protein
Immunogen Description
Fusion protein corresponding to residues near the C terminal of human ectodysplasin A2 receptor
Target Name
EDA2R
Preparation and Storage
Store at -20 degree C
Related Product Information for anti-EDA2R antibody
EDA-A1 and EDA-A2 are two isoforms of ectodysplasin that are encoded by the anhidrotic ectodermal dysplasia (EDA) gene. Mutations in EDA give rise to a clinical syndrome characterized by loss of hair, sweat glands, and teeth. The protein encoded by this gene specifically binds to EDA-A2 isoform. This protein is a type III transmembrane protein of the TNFR (tumor necrosis factor receptor) superfamily, and contains 3 cysteine-rich repeats and a single transmembrane domain but lacks an N-terminal signal peptide. Alternatively spliced transcript variants have been found for this gene.
Product Categories/Family for anti-EDA2R antibody
NCBI and Uniprot Product Information
NCBI GI #
NCBI GeneID
NCBI Accession #
NCBI GenBank Nucleotide #
Molecular Weight
32,959 Da
NCBI Official Full Name
tumor necrosis factor receptor superfamily member 27 isoform 1
NCBI Official Synonym Full Names
ectodysplasin A2 receptor
NCBI Official Symbol
EDA2R
NCBI Official Synonym Symbols
XEDAR; EDAA2R; EDA-A2R; TNFRSF27
NCBI Protein Information
tumor necrosis factor receptor superfamily member 27
UniProt Protein Name
Tumor necrosis factor receptor superfamily member 27
UniProt Gene Name
EDA2R
UniProt Synonym Gene Names
TNFRSF27; XEDAR; EDA-A2 receptor
UniProt Entry Name
TNR27_HUMAN
Customer Reviews
Loading reviews...
Share Your Experience
Similar Products
Product Notes
The EDA2R eda2r (Catalog #AAA307204) is an Antibody produced from Rabbit and is intended for research purposes only. The product is available for immediate purchase. The EDA2R Antibody reacts with Human and may cross-react with other species as described in the data sheet. AAA Biotech's EDA2R can be used in a range of immunoassay formats including, but not limited to, IHC (Immunohistochemistry). Researchers should empirically determine the suitability of the EDA2R eda2r for an application not listed in the data sheet. Researchers commonly develop new applications and it is an integral, important part of the investigative research process. It is sometimes possible for the material contained within the vial of "EDA2R, Polyclonal Antibody" to become dispersed throughout the inside of the vial, particularly around the seal of said vial, during shipment and storage. We always suggest centrifuging these vials to consolidate all of the liquid away from the lid and to the bottom of the vial prior to opening. Please be advised that certain products may require dry ice for shipping and that, if this is the case, an additional dry ice fee may also be required.Precautions
All products in the AAA Biotech catalog are strictly for research-use only, and are absolutely not suitable for use in any sort of medical, therapeutic, prophylactic, in-vivo, or diagnostic capacity. By purchasing a product from AAA Biotech, you are explicitly certifying that said products will be properly tested and used in line with industry standard. AAA Biotech and its authorized distribution partners reserve the right to refuse to fulfill any order if we have any indication that a purchaser may be intending to use a product outside of our accepted criteria.Disclaimer
Though we do strive to guarantee the information represented in this datasheet, AAA Biotech cannot be held responsible for any oversights or imprecisions. AAA Biotech reserves the right to adjust any aspect of this datasheet at any time and without notice. It is the responsibility of the customer to inform AAA Biotech of any product performance issues observed or experienced within 30 days of receipt of said product. To see additional details on this or any of our other policies, please see our Terms & Conditions page.Item has been added to Shopping Cart
If you are ready to order, navigate to Shopping Cart and get ready to checkout.
