Rabbit EEF2 Polyclonal Antibody | anti-EEF2 antibody
EEF2 antibody - N-terminal region
Gene Names
EEF2; EF2; EF-2; EEF-2; SCA26
Reactivity
Tested: HumanPredicted: Cow, Dog, Guinea Pig, Horse, Human, Mouse, Rat, Zebrafish
Applications
Western Blot, Immunohistochemistry
Purity
Affinity Purified
Synonyms
EEF2, Antibody; EEF2 antibody - N-terminal region; Eukaryotic translation elongation factor 2; anti-EEF2 antibody
Host
Rabbit
Reactivity
Tested: Human
Predicted: Cow, Dog, Guinea Pig, Horse, Human, Mouse, Rat, Zebrafish
Predicted: Cow, Dog, Guinea Pig, Horse, Human, Mouse, Rat, Zebrafish
Clonality
Polyclonal
Purity/Purification
Affinity Purified
Form/Format
Liquid; Purified antibody supplied in 1x PBS buffer with 0.09% (w/v) sodium azide and 2% sucrose.
Concentration
Batch dependent within range: 0.5-1 mg/ml (varies by lot)
Sequence
Synthetic peptide located within the following region: TDSLVCKAGIIASARAGETRFTDTRKDEQERCITIKSTAISLFYELSEND
Sequence Length
858
Applicable Applications for anti-EEF2 antibody
WB (Western Blot), IHC (Immunohistochemistry)
Homology
Cow: 100%; Dog: 100%; Guinea Pig: 100%; Horse: 100%; Human: 100%; Mouse: 100%; Rat: 100%; Zebrafish: 100%
Immunogen
The immunogen is a synthetic peptide directed towards the N terminal region of human EEF2
Protein Size
858 amino acids
Protein Interactions
YJR129C; EEF2KMT; HUWE1; ISG15; UBC; FUS; SUMO2; SUMO3; LGR4; SUMO1; RPS6KA1; NEDD8; MDM2; RNF2; SHFM1; XPO1; EIF4H; PGD; FTO; GINS2; YWHAQ; BZW1; PFAS; PAK2; MAT2A; GSR; TYMP; CKB; CDKN2A; CASP7; CAPN1; HIPK4; CDK20; TARDBP; CDK18; HNRNPD; MAPK14; ADRB2
Note
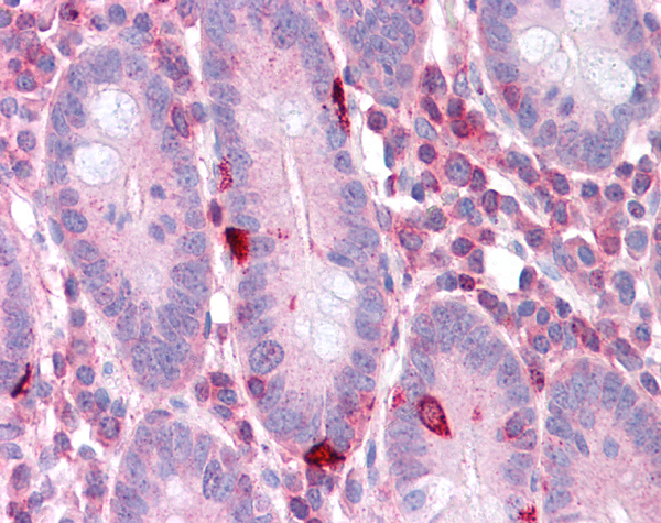
IHC Information: Small intestine
Preparation and Storage
For short term use, store at 2-8°C up to 1 week. For long term storage, store at -20°C in small aliquots to prevent freeze-thaw cycles.
Related Product Information for anti-EEF2 antibody
This is a rabbit polyclonal antibody against EEF2. It was validated on Western Blot using a cell lysate as a positive control.
Target Description: EEF2 is a member of the GTP-binding translation elongation factor family. The protein is an essential factor for protein synthesis. It promotes the GTP-dependent translocation of the nascent protein chain from the A-site to the P-site of the ribosome. This protein is completely inactivated by EF-2 kinase phosporylation.This gene encodes a member of the GTP-binding translation elongation factor family. This protein is an essential factor for protein synthesis. It promotes the GTP-dependent translocation of the nascent protein chain from the A-site to the P-site of the ribosome. This protein is completely inactivated by EF-2 kinase phosporylation. Publication Note: This RefSeq record includes a subset of the publications that are available for this gene. Please see the Entrez Gene record to access additional publications.
Target Description: EEF2 is a member of the GTP-binding translation elongation factor family. The protein is an essential factor for protein synthesis. It promotes the GTP-dependent translocation of the nascent protein chain from the A-site to the P-site of the ribosome. This protein is completely inactivated by EF-2 kinase phosporylation.This gene encodes a member of the GTP-binding translation elongation factor family. This protein is an essential factor for protein synthesis. It promotes the GTP-dependent translocation of the nascent protein chain from the A-site to the P-site of the ribosome. This protein is completely inactivated by EF-2 kinase phosporylation. Publication Note: This RefSeq record includes a subset of the publications that are available for this gene. Please see the Entrez Gene record to access additional publications.
Product Categories/Family for anti-EEF2 antibody
NCBI and Uniprot Product Information
NCBI GI #
NCBI GeneID
NCBI Accession #
NCBI GenBank Nucleotide #
UniProt Accession #
Molecular Weight
94kDa
NCBI Official Full Name
elongation factor 2
NCBI Official Synonym Full Names
eukaryotic translation elongation factor 2
NCBI Official Symbol
EEF2
NCBI Official Synonym Symbols
EF2; EF-2; EEF-2; SCA26
NCBI Protein Information
elongation factor 2
UniProt Protein Name
Elongation factor 2
UniProt Gene Name
EEF2
UniProt Synonym Gene Names
EF2; EF-2
UniProt Entry Name
EF2_HUMAN
Customer Reviews
Loading reviews...
Share Your Experience
Similar Products
Product Notes
The EEF2 eef2 (Catalog #AAA200819) is an Antibody produced from Rabbit and is intended for research purposes only. The product is available for immediate purchase. The EEF2 antibody - N-terminal region reacts with Tested: Human Predicted: Cow, Dog, Guinea Pig, Horse, Human, Mouse, Rat, Zebrafish and may cross-react with other species as described in the data sheet. AAA Biotech's EEF2 can be used in a range of immunoassay formats including, but not limited to, WB (Western Blot), IHC (Immunohistochemistry). Researchers should empirically determine the suitability of the EEF2 eef2 for an application not listed in the data sheet. Researchers commonly develop new applications and it is an integral, important part of the investigative research process. The amino acid sequence is listed below: Synthetic peptide located within the following region: TDSLVCKAGI IASARAGETR FTDTRKDEQE RCITIKSTAI SLFYELSEND. It is sometimes possible for the material contained within the vial of "EEF2, Polyclonal Antibody" to become dispersed throughout the inside of the vial, particularly around the seal of said vial, during shipment and storage. We always suggest centrifuging these vials to consolidate all of the liquid away from the lid and to the bottom of the vial prior to opening. Please be advised that certain products may require dry ice for shipping and that, if this is the case, an additional dry ice fee may also be required.Precautions
All products in the AAA Biotech catalog are strictly for research-use only, and are absolutely not suitable for use in any sort of medical, therapeutic, prophylactic, in-vivo, or diagnostic capacity. By purchasing a product from AAA Biotech, you are explicitly certifying that said products will be properly tested and used in line with industry standard. AAA Biotech and its authorized distribution partners reserve the right to refuse to fulfill any order if we have any indication that a purchaser may be intending to use a product outside of our accepted criteria.Disclaimer
Though we do strive to guarantee the information represented in this datasheet, AAA Biotech cannot be held responsible for any oversights or imprecisions. AAA Biotech reserves the right to adjust any aspect of this datasheet at any time and without notice. It is the responsibility of the customer to inform AAA Biotech of any product performance issues observed or experienced within 30 days of receipt of said product. To see additional details on this or any of our other policies, please see our Terms & Conditions page.Item has been added to Shopping Cart
If you are ready to order, navigate to Shopping Cart and get ready to checkout.
