Rabbit anti-Human EGFL8 Polyclonal Antibody | anti-EGFL8 antibody
EGFL8 Antibody
Gene Names
EGFL8; NG3; C6orf8
Reactivity
Human
Applications
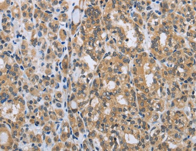
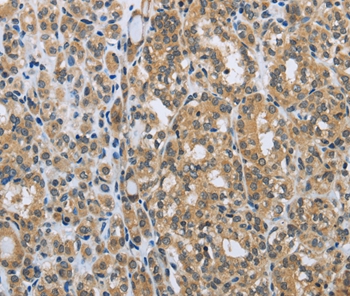
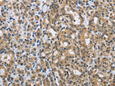
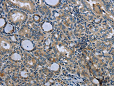
Immunohistochemistry
Purity
Antigen affinity purification.
Synonyms
EGFL8, Antibody; EGFL8 Antibody; NG3; C6orf8; anti-EGFL8 antibody
Host
Rabbit
Reactivity
Human
Clonality
Polyclonal
Specificity
The antibody detects endogenous levels of total EGFL8 protein.
Purity/Purification
Antigen affinity purification.
Form/Format
Rabbit IgG in pH7.3 PBS, 0.05% NaN3, 50% Glycerol.
Concentration
1.2 mg/ml (varies by lot)
Sequence Length
293
Applicable Applications for anti-EGFL8 antibody
IHC (Immunohistochemistry)
Immunogen Type
Recombinant Protein
Immunogen Description
Fusion protein corresponding to a region derived from internal residues of human EGF-like-domain, multiple 8
Target Name
EGFL8
Preparation and Storage
Store at -20 degree C
Related Product Information for anti-EGFL8 antibody
The epidermal growth factor (EGF) repeat-containing proteins constitute an expanding family of proteins that are involved in several cellular activities, such as blood coagulation, fibrinolysis, cell adhesion, and neural and vertebrate development. EGFL8 (EGF-like domain-containing protein 8), also known as C6orf8, NG3 and VE-statin-2, is a 293 amino acid secreted protein that contains two EGF-like domains and one EMI domain. Via its EGF and EMI domains, EGFL8 may participate in protein-protein interactions that correlate with cellular proliferation and developmental signaling events. In mice, EGFL8 is expressed predominately in brain, kidney, lung and thymus.
Product Categories/Family for anti-EGFL8 antibody
NCBI and Uniprot Product Information
NCBI GI #
NCBI GeneID
NCBI Accession #
NCBI GenBank Nucleotide #
Molecular Weight
32,262 Da
NCBI Official Full Name
epidermal growth factor-like protein 8
NCBI Official Synonym Full Names
EGF-like-domain, multiple 8
NCBI Official Symbol
EGFL8
NCBI Official Synonym Symbols
NG3; C6orf8
NCBI Protein Information
epidermal growth factor-like protein 8
UniProt Protein Name
Epidermal growth factor-like protein 8
UniProt Gene Name
EGFL8
UniProt Synonym Gene Names
C6orf8; NG3; EGF-like protein 8; VE-statin-2
UniProt Entry Name
EGFL8_HUMAN
Customer Reviews
Loading reviews...
Share Your Experience
Similar Products
Product Notes
The EGFL8 egfl8 (Catalog #AAA302332) is an Antibody produced from Rabbit and is intended for research purposes only. The product is available for immediate purchase. The EGFL8 Antibody reacts with Human and may cross-react with other species as described in the data sheet. AAA Biotech's EGFL8 can be used in a range of immunoassay formats including, but not limited to, IHC (Immunohistochemistry). Researchers should empirically determine the suitability of the EGFL8 egfl8 for an application not listed in the data sheet. Researchers commonly develop new applications and it is an integral, important part of the investigative research process. It is sometimes possible for the material contained within the vial of "EGFL8, Polyclonal Antibody" to become dispersed throughout the inside of the vial, particularly around the seal of said vial, during shipment and storage. We always suggest centrifuging these vials to consolidate all of the liquid away from the lid and to the bottom of the vial prior to opening. Please be advised that certain products may require dry ice for shipping and that, if this is the case, an additional dry ice fee may also be required.Precautions
All products in the AAA Biotech catalog are strictly for research-use only, and are absolutely not suitable for use in any sort of medical, therapeutic, prophylactic, in-vivo, or diagnostic capacity. By purchasing a product from AAA Biotech, you are explicitly certifying that said products will be properly tested and used in line with industry standard. AAA Biotech and its authorized distribution partners reserve the right to refuse to fulfill any order if we have any indication that a purchaser may be intending to use a product outside of our accepted criteria.Disclaimer
Though we do strive to guarantee the information represented in this datasheet, AAA Biotech cannot be held responsible for any oversights or imprecisions. AAA Biotech reserves the right to adjust any aspect of this datasheet at any time and without notice. It is the responsibility of the customer to inform AAA Biotech of any product performance issues observed or experienced within 30 days of receipt of said product. To see additional details on this or any of our other policies, please see our Terms & Conditions page.Item has been added to Shopping Cart
If you are ready to order, navigate to Shopping Cart and get ready to checkout.
