Rabbit anti-Human ENA-78 Polyclonal Antibody | anti-ENA-78 antibody
ENA-78 Polyclonal Antibody
Gene Names
CXCL5; SCYB5; ENA-78
Reactivity
Human
Applications
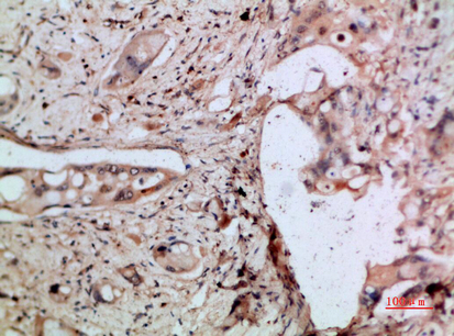
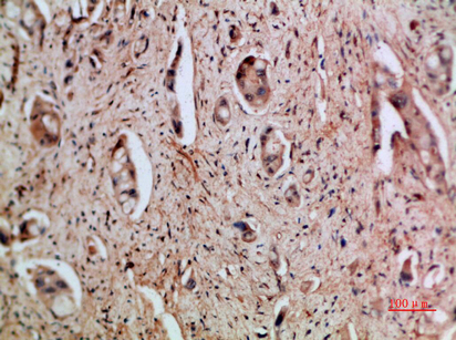
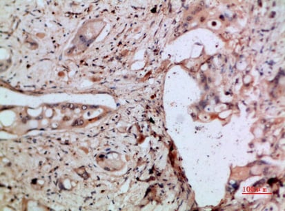
Immunohistochemistry
Synonyms
ENA-78, Antibody; ENA-78 Polyclonal Antibody; C-X-C motif chemokine 5 (ENA-78 (1-78))(Epithelial-derived neutrophil-activating protein 78)(Neutrophil-activating peptide ENA-78)(Small-inducible cytokine B5)[Cleaved into: ENA-78 (8-78); ENA-78 (9-78)]; anti-ENA-78 antibody
Host
Rabbit
Reactivity
Human
Clonality
Polyclonal
Applicable Applications for anti-ENA-78 antibody
IHC (Immunohistochemistry)
Preparation and Storage
Maintain refrigerated at 2-8 degree C for up to 2 weeks. For long term storage store at -20 degree C in small aliquots to prevent freeze-thaw cycles.
Related Product Information for anti-ENA-78 antibody
Involved in neutrophil activation. In vitro, ENA-78 (8- 78) and ENA-78 (9-78) show a threefold higher chemotactic activity for neutrophil granulocytes.
NCBI and Uniprot Product Information
NCBI GI #
NCBI GeneID
Molecular Weight
11,972 Da
NCBI Official Full Name
ENA-78
NCBI Official Synonym Full Names
chemokine (C-X-C motif) ligand 5
NCBI Official Symbol
CXCL5
NCBI Official Synonym Symbols
SCYB5; ENA-78
NCBI Protein Information
C-X-C motif chemokine 5; neutrophil-activating protein 78; neutrophil-activating peptide ENA-78; epithelial-derived neutrophil-activating protein 78; small inducible cytokine subfamily B (Cys-X-Cys), member 5 (epithelial-derived neutrophil-activating pept
UniProt Protein Name
C-X-C motif chemokine 5
UniProt Gene Name
CXCL5
UniProt Synonym Gene Names
ENA78; SCYB5
UniProt Entry Name
CXCL5_HUMAN
Customer Reviews
Loading reviews...
Share Your Experience
Similar Products
Product Notes
The ENA-78 cxcl5 (Catalog #AAA296584) is an Antibody produced from Rabbit and is intended for research purposes only. The product is available for immediate purchase. The ENA-78 Polyclonal Antibody reacts with Human and may cross-react with other species as described in the data sheet. AAA Biotech's ENA-78 can be used in a range of immunoassay formats including, but not limited to, IHC (Immunohistochemistry). Researchers should empirically determine the suitability of the ENA-78 cxcl5 for an application not listed in the data sheet. Researchers commonly develop new applications and it is an integral, important part of the investigative research process. It is sometimes possible for the material contained within the vial of "ENA-78, Polyclonal Antibody" to become dispersed throughout the inside of the vial, particularly around the seal of said vial, during shipment and storage. We always suggest centrifuging these vials to consolidate all of the liquid away from the lid and to the bottom of the vial prior to opening. Please be advised that certain products may require dry ice for shipping and that, if this is the case, an additional dry ice fee may also be required.Precautions
All products in the AAA Biotech catalog are strictly for research-use only, and are absolutely not suitable for use in any sort of medical, therapeutic, prophylactic, in-vivo, or diagnostic capacity. By purchasing a product from AAA Biotech, you are explicitly certifying that said products will be properly tested and used in line with industry standard. AAA Biotech and its authorized distribution partners reserve the right to refuse to fulfill any order if we have any indication that a purchaser may be intending to use a product outside of our accepted criteria.Disclaimer
Though we do strive to guarantee the information represented in this datasheet, AAA Biotech cannot be held responsible for any oversights or imprecisions. AAA Biotech reserves the right to adjust any aspect of this datasheet at any time and without notice. It is the responsibility of the customer to inform AAA Biotech of any product performance issues observed or experienced within 30 days of receipt of said product. To see additional details on this or any of our other policies, please see our Terms & Conditions page.Item has been added to Shopping Cart
If you are ready to order, navigate to Shopping Cart and get ready to checkout.
