Rabbit anti-Human EPCAM Polyclonal Antibody | anti-EPCAM antibody
EPCAM Rabbit anti-Human Polyclonal Antibody
Gene Names
EPCAM; ESA; KSA; M4S1; MK-1; DIAR5; EGP-2; EGP40; KS1/4; MIC18; TROP1; EGP314; HNPCC8; TACSTD1
Reactivity
Human
Applications
Immunohistochemistry
Purity
Immunoaffinity purified
Synonyms
EPCAM, Antibody; EPCAM Rabbit anti-Human Polyclonal Antibody; PathPlus EPCAM Antibody; EPCAM; 323/A3; ACSTD1; 17-1A; CD326; EGP; EGP34; Epithelial glycoprotein; GA733-2; HNPCC8; Ep-CAM; ESA; HEGP314; KS 1/4 antigen; KS1/4; KSA; M1S2; MIC18; MK-1; MH99; TROP1; TACST-1; TACSTD1; CD326 antigen; CO-17A; DIAR5; EGP-2; EGP314; EGP40; Epithelial glycoprotein 314; HEA125; Ly74; M4S1; anti-EPCAM antibody
Host
Rabbit
Reactivity
Human
Clonality
Polyclonal
Purity/Purification
Immunoaffinity purified
Form/Format
PBS, 0.1% Sodium Azide
Concentration
1mg/ml (varies by lot)
Applicable Applications for anti-EPCAM antibody
IHC (Immunohistochemistry)
Target
Human EPCAM
Immunogen
LP-10808, synthetic peptide
Conjugation
Unconjugated
Preparation and Storage
Aliquot and store undiluted at -20 degree C or below for up to 1 year. Can be stored undiluted at 4 degree C for up to 1 month. Avoid freeze-thaw cycles.
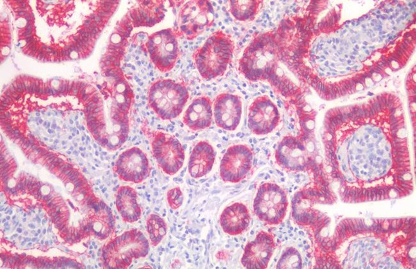
IHC (Immunohistochemistry)
(EPCAM Antibody-Human Small Intestine: Formalin-Fixed, Paraffin-Embedded (FFPE))
Related Product Information for anti-EPCAM antibody
EPCAM antibody is an unconjugated rabbit polyclonal antibody to EPCAM from human. Validated for IHC.
EPCAM (TACSTD1) is an epithelial membrane glycoprotein involved in cell adhesion that is present on the surface of a variety of epithelial cells. It is expressed in a wide variety of cancers, including: basal cell carcinomas, mammary Paget disease, lung adenocarcinomas, trichoepitheliomas, dermatofibromas, basal-cell carcinomas, cholangiocarcinomas, colorectal carcinomas, and carcinomas of prostate, ovary, endometrium, head and neck, and thyroid. EPCAM is useful for distinguishing epithelial cells (positive) from mesothelial cells (negative). It has also been implicated in the progression of individuals with Lynch Syndrome who hold inherited deletions in the gene. These deletions lead to silencing of the adjacent repair gene MSH2 via transcriptional read-through, which then causes microsatellite instability and colorectal cancer (as well as other malignancies that also frequently arise from Lynch Syndrome). MOC31 and BerEP4 are common monoclonal antibodies to this target.
EPCAM (TACSTD1) is an epithelial membrane glycoprotein involved in cell adhesion that is present on the surface of a variety of epithelial cells. It is expressed in a wide variety of cancers, including: basal cell carcinomas, mammary Paget disease, lung adenocarcinomas, trichoepitheliomas, dermatofibromas, basal-cell carcinomas, cholangiocarcinomas, colorectal carcinomas, and carcinomas of prostate, ovary, endometrium, head and neck, and thyroid. EPCAM is useful for distinguishing epithelial cells (positive) from mesothelial cells (negative). It has also been implicated in the progression of individuals with Lynch Syndrome who hold inherited deletions in the gene. These deletions lead to silencing of the adjacent repair gene MSH2 via transcriptional read-through, which then causes microsatellite instability and colorectal cancer (as well as other malignancies that also frequently arise from Lynch Syndrome). MOC31 and BerEP4 are common monoclonal antibodies to this target.
References
JClinPathol 1990,43:213; Acta Neuropathol 1991, 83:46; Dai, 2017; Baeuerle, 2007; Kempers 2010; ModPath 2002, 15:1279
NCBI and Uniprot Product Information
NCBI GI #
NCBI GeneID
NCBI Accession #
NCBI GenBank Nucleotide #
Molecular Weight
34,932 Da
NCBI Official Full Name
epithelial cell adhesion molecule
NCBI Official Synonym Full Names
epithelial cell adhesion molecule
NCBI Official Symbol
EPCAM
NCBI Official Synonym Symbols
ESA; KSA; M4S1; MK-1; DIAR5; EGP-2; EGP40; KS1/4; MIC18; TROP1; EGP314; HNPCC8; TACSTD1
NCBI Protein Information
epithelial cell adhesion molecule; epithelial glycoprotein 314; human epithelial glycoprotein-2; cell surface glycoprotein Trop-1; adenocarcinoma-associated antigen; tumor-associated calcium signal transducer 1; major gastrointestinal tumor-associated pro
UniProt Protein Name
Epithelial cell adhesion molecule
UniProt Gene Name
EPCAM
UniProt Synonym Gene Names
GA733-2; M1S2; M4S1; MIC18; TACSTD1; TROP1; Ep-CAM; EGP; EGP314; hEGP314
UniProt Entry Name
EPCAM_HUMAN
Customer Reviews
Loading reviews...
Share Your Experience
Similar Products
Product Notes
The EPCAM epcam (Catalog #AAA162977) is an Antibody produced from Rabbit and is intended for research purposes only. The product is available for immediate purchase. The EPCAM Rabbit anti-Human Polyclonal Antibody reacts with Human and may cross-react with other species as described in the data sheet. AAA Biotech's EPCAM can be used in a range of immunoassay formats including, but not limited to, IHC (Immunohistochemistry). Researchers should empirically determine the suitability of the EPCAM epcam for an application not listed in the data sheet. Researchers commonly develop new applications and it is an integral, important part of the investigative research process. It is sometimes possible for the material contained within the vial of "EPCAM, Polyclonal Antibody" to become dispersed throughout the inside of the vial, particularly around the seal of said vial, during shipment and storage. We always suggest centrifuging these vials to consolidate all of the liquid away from the lid and to the bottom of the vial prior to opening. Please be advised that certain products may require dry ice for shipping and that, if this is the case, an additional dry ice fee may also be required.Precautions
All products in the AAA Biotech catalog are strictly for research-use only, and are absolutely not suitable for use in any sort of medical, therapeutic, prophylactic, in-vivo, or diagnostic capacity. By purchasing a product from AAA Biotech, you are explicitly certifying that said products will be properly tested and used in line with industry standard. AAA Biotech and its authorized distribution partners reserve the right to refuse to fulfill any order if we have any indication that a purchaser may be intending to use a product outside of our accepted criteria.Disclaimer
Though we do strive to guarantee the information represented in this datasheet, AAA Biotech cannot be held responsible for any oversights or imprecisions. AAA Biotech reserves the right to adjust any aspect of this datasheet at any time and without notice. It is the responsibility of the customer to inform AAA Biotech of any product performance issues observed or experienced within 30 days of receipt of said product. To see additional details on this or any of our other policies, please see our Terms & Conditions page.Item has been added to Shopping Cart
If you are ready to order, navigate to Shopping Cart and get ready to checkout.
