Rabbit anti-Human EZH1 Polyclonal Antibody | anti-EZH1 antibody
EZH1 Antibody
Gene Names
EZH1; KMT6B
Reactivity
Human
Applications
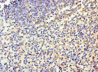
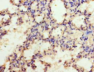
Immunohistochemistry, ELISA
Purity
>95%, Protein G purified
Synonyms
EZH1, Antibody; EZH1 Antibody; Histone-lysine N-methyltransferase EZH1; ENX-2; Enhancer of zeste homolog 1; EZH1; KIAA0388; anti-EZH1 antibody
Host
Rabbit
Reactivity
Human
Clonality
Polyclonal
Isotype
IgG
Purity/Purification
>95%, Protein G purified
Form/Format
Liquid
Sequence Length
753
Applicable Applications for anti-EZH1 antibody
IHC (Immunohistochemistry), ELISA
Species
Human
Immunogen
Recombinant human Histone-lysine N-methyltransferase EZH1 protein
Conjugate
Non-conjugated
Buffer
Preservative: 0.03% Proclin 300
Constituents: 50% Glycerol, 0.01M PBS, PH 7.4
Constituents: 50% Glycerol, 0.01M PBS, PH 7.4
Santa Cruz Alternative
Potential replacement for Santa Cruz Biotechnology antibody catalog# sc-20347 / sc-20349 / sc-292275
Preparation and Storage
Shipped at 4 degree C. Upon delivery aliquot and store at -20 degree C or -80 degree C. Avoid repeated freeze.
Related Product Information for anti-EZH1 antibody
Polycomb group (PcG) protein. Catalytic subunit of the PRC2/EED-EZH1 complex, which methylates 'Lys-27' of histone H3, leading to transcriptional repression of the affected target gene. Able to mono-, di- and trimethylate 'Lys-27' of histone H3 to form H3K27me1, H3K27me2 and H3K27me3, respectively. Required for embryonic stem cell derivation and self-renewal, suggesting that it is involved in safeguarding embryonic stem cell identity. Compared to EZH2-containing complexes, it is less abundant in embryonic stem cells, has weak methyltransferase activity and plays a less critical role in forming H3K27me3, which is required for embryonic stem cell identity and proper differentiation.
NCBI and Uniprot Product Information
NCBI GI #
NCBI GeneID
NCBI Accession #
NCBI GenBank Nucleotide #
Molecular Weight
68,961 Da
NCBI Official Full Name
histone-lysine N-methyltransferase EZH1 isoform 2
NCBI Official Synonym Full Names
enhancer of zeste 1 polycomb repressive complex 2 subunit
NCBI Official Symbol
EZH1
NCBI Official Synonym Symbols
KMT6B
NCBI Protein Information
histone-lysine N-methyltransferase EZH1
UniProt Protein Name
Histone-lysine N-methyltransferase EZH1
UniProt Gene Name
EZH1
UniProt Synonym Gene Names
KIAA0388
UniProt Entry Name
EZH1_HUMAN
Customer Reviews
Loading reviews...
Share Your Experience
Similar Products
Product Notes
The EZH1 ezh1 (Catalog #AAA231877) is an Antibody produced from Rabbit and is intended for research purposes only. The product is available for immediate purchase. The EZH1 Antibody reacts with Human and may cross-react with other species as described in the data sheet. AAA Biotech's EZH1 can be used in a range of immunoassay formats including, but not limited to, IHC (Immunohistochemistry), ELISA. Researchers should empirically determine the suitability of the EZH1 ezh1 for an application not listed in the data sheet. Researchers commonly develop new applications and it is an integral, important part of the investigative research process. It is sometimes possible for the material contained within the vial of "EZH1, Polyclonal Antibody" to become dispersed throughout the inside of the vial, particularly around the seal of said vial, during shipment and storage. We always suggest centrifuging these vials to consolidate all of the liquid away from the lid and to the bottom of the vial prior to opening. Please be advised that certain products may require dry ice for shipping and that, if this is the case, an additional dry ice fee may also be required.Precautions
All products in the AAA Biotech catalog are strictly for research-use only, and are absolutely not suitable for use in any sort of medical, therapeutic, prophylactic, in-vivo, or diagnostic capacity. By purchasing a product from AAA Biotech, you are explicitly certifying that said products will be properly tested and used in line with industry standard. AAA Biotech and its authorized distribution partners reserve the right to refuse to fulfill any order if we have any indication that a purchaser may be intending to use a product outside of our accepted criteria.Disclaimer
Though we do strive to guarantee the information represented in this datasheet, AAA Biotech cannot be held responsible for any oversights or imprecisions. AAA Biotech reserves the right to adjust any aspect of this datasheet at any time and without notice. It is the responsibility of the customer to inform AAA Biotech of any product performance issues observed or experienced within 30 days of receipt of said product. To see additional details on this or any of our other policies, please see our Terms & Conditions page.Item has been added to Shopping Cart
If you are ready to order, navigate to Shopping Cart and get ready to checkout.
