Rabbit Ezh2 Polyclonal Antibody | anti-Ezh2 antibody
Phospho-Ezh2 (Thr487) Antibody
Predicted: Pig, Bovine, Horse, Sheep, Rabbit, Dog, Chicken, Xenopus
Predicted: Pig, Bovine, Horse, Sheep, Rabbit, Dog, Chicken, Xenopus
WB (Western Blot)
(Western blot analysis of Phospho-Ezh2 (Thr487) in lysates of Jurkat?, using Phospho-Ezh2 (Thr487) Antibody.)
IHC (Immunohistochemistry)
(At 1/100 staining human liver tissue sections by IHC-P. The tissue was formaldehyde fixed and a heat mediated antigen retrieval step in citrate buffer was performed. The tissue was then blocked and incubated with the antibody for 1.5 hours at 22 degree C. An HRP conjugated goat anti-rabbit antibody was used as the secondary)
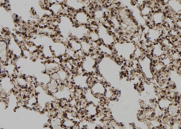
IHC (Immunohistochemisry)
(At 1/100 staining rat lung tissue sections by IHC-P. The tissue was formaldehyde fixed and a heat mediated antigen retrieval step in citrate buffer was performed. The tissue was then blocked and incubated with the antibody for 1.5 hours at 22 degree C. An HRP conjugated goat anti-rabbit antibody was used as the secondary)
IHC (Immunohiostchemistry)
(At 1/100 staining rat heart tissue sections by IHC-P. The tissue was formaldehyde fixed and a heat mediated antigen retrieval step in citrate buffer was performed. The tissue was then blocked and incubated with the antibody for 1.5 hours at 22 degree C. An HRP conjugated goat anti-rabbit antibody was used as the secondary)
IHC (Immunohistochemistry)
(At 1/100 staining mouse spleen tissue sections by IHC-P. The tissue was formaldehyde fixed and a heat mediated antigen retrieval step in citrate buffer was performed. The tissue was then blocked and incubated with the antibody for 1.5 hours at 22 degree C. An HRP conjugated goat anti-rabbit antibody was used as the secondary)
Post Translational Modifications: Phosphorylated by AKT1. Phosphorylation by AKT1 reduces methyltransferase activity. Phosphorylation at Thr-345 by CDK1 and CDK2 promotes maintenance of H3K27me3 levels at EZH2-target loci, thus leading to epigenetic gene silencing. Sumoylated. Glycosylated: O-GlcNAcylation at Ser-75 by OGT increases stability of EZH2 and facilitates the formation of H3K27me3 by the PRC2/EED-EZH2 complex.
Subunit Structure: Binds ATRX via the SET domain (Probable). Component of the PRC2/EED-EZH2 complex, which includes EED, EZH2, SUZ12, RBBP4 and RBBP7 and possibly AEBP2. The minimum components required for methyltransferase activity of the PRC2/EED-EZH2 complex are EED, EZH2 and SUZ12. The PRC2 complex may also interact with DNMT1, DNMT3A, DNMT3B and PHF1 via the EZH2 subunit and with SIRT1 via the SUZ12 subunit. Interacts with HDAC1 and HDAC2. Interacts with PRAME. Interacts with CDYL. Interacts with CLOCK, ARNTL/BMAL1 and CRY1 (By similarity). Interacts with DNMT3L; the interaction is direct (By similarity).
Similarity: Belongs to the class V-like SAM-binding methyltransferase superfamily. Histone-lysine methyltransferase family. EZ subfamily.
NCBI and Uniprot Product Information
Predicted: 86 kDa
Customer Reviews
Loading reviews...
Share Your Experience
Similar Products
Product Notes
The Ezh2 ezh2 (Catalog #AAA328524) is an Antibody produced from Rabbit and is intended for research purposes only. The product is available for immediate purchase. The Phospho-Ezh2 (Thr487) Antibody reacts with Human, Mouse, Rat Predicted: Pig, Bovine, Horse, Sheep, Rabbit, Dog, Chicken, Xenopus and may cross-react with other species as described in the data sheet. AAA Biotech's Ezh2 can be used in a range of immunoassay formats including, but not limited to, ELISA (Peptide ELISA), IHC (Immunohistochemistry), WB (Western Blot). Researchers should empirically determine the suitability of the Ezh2 ezh2 for an application not listed in the data sheet. Researchers commonly develop new applications and it is an integral, important part of the investigative research process. It is sometimes possible for the material contained within the vial of "Ezh2, Polyclonal Antibody" to become dispersed throughout the inside of the vial, particularly around the seal of said vial, during shipment and storage. We always suggest centrifuging these vials to consolidate all of the liquid away from the lid and to the bottom of the vial prior to opening. Please be advised that certain products may require dry ice for shipping and that, if this is the case, an additional dry ice fee may also be required.Precautions
All products in the AAA Biotech catalog are strictly for research-use only, and are absolutely not suitable for use in any sort of medical, therapeutic, prophylactic, in-vivo, or diagnostic capacity. By purchasing a product from AAA Biotech, you are explicitly certifying that said products will be properly tested and used in line with industry standard. AAA Biotech and its authorized distribution partners reserve the right to refuse to fulfill any order if we have any indication that a purchaser may be intending to use a product outside of our accepted criteria.Disclaimer
Though we do strive to guarantee the information represented in this datasheet, AAA Biotech cannot be held responsible for any oversights or imprecisions. AAA Biotech reserves the right to adjust any aspect of this datasheet at any time and without notice. It is the responsibility of the customer to inform AAA Biotech of any product performance issues observed or experienced within 30 days of receipt of said product. To see additional details on this or any of our other policies, please see our Terms & Conditions page.Item has been added to Shopping Cart
If you are ready to order, navigate to Shopping Cart and get ready to checkout.
