Rabbit anti-Human, Rat F12 Polyclonal Antibody | anti-F12 antibody
F12 Antibody
Phosphate buffered saline, pH 7.4, 150mM NaCl, 0.02% sodium azide and 50% glycerol.
WB (Western Blot)
(Western blot analysis of extracts of Jurkat, using F12 antibody. The lane on the left is treated with the antigen-specific peptide.)
IF (Immunofluorescence)
(AAA326324 staining 293 by IF/ICC. The sample were fixed with PFA and permeabilized in 0.1% Triton X-100, then blocked in 10% serum for 45 minutes at 25 degree C. The primary antibody was diluted at 1/200 and incubated with the sample for 1 hour at 37 degree C. An Alexa Fluor 594 conjugated goat anti-rabbit IgG (H+L) Ab, diluted at 1/600, was used as the secondary antibody.)
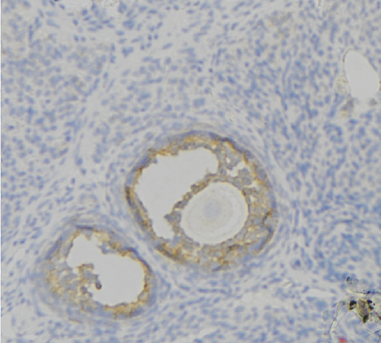
IHC (Immunohistochemistry)
(AAA326324 at 1/100 staining Human uterus tissue by IHC-P. The sample was formaldehyde fixed and a heat mediated antigen retrieval step in citrate buffer was performed. The sample was then blocked and incubated with the antibody for 1.5 hours at 22 degree C. An HRP conjugated goat anti-rabbit antibody was used as the secondary.)
Function: Factor XII is a serum glycoprotein that participates in the initiation of blood coagulation, fibrinolysis, and the generation of bradykinin and angiotensin. Prekallikrein is cleaved by factor XII to form kallikrein, which then cleaves factor XII first to alpha-factor XIIa and then trypsin cleaves it to beta-factor XIIa. Alpha-factor XIIa activates factor XI to factor XIa.
Subunit Structure: Interacts with HRG; the interaction, which is enhanced in the presence of zinc ions and inhibited by heparin-binding, inhibits factor XII autoactivation and contact-initiated coagulation.
Post-translational Modifications: Factor XII is activated by kallikrein in alpha-factor XIIa, which is further converted by trypsin into beta-factor XIIa. Alpha-factor XIIa is composed of an NH2-terminal heavy chain, called coagulation factor XIIa heavy chain, and a COOH-terminal light chain, called coagulation factor XIIa light chain, connected by a disulfide bond. Beta-factor XIIa is composed of 2 chains linked by a disulfide bond, an N-terminal nonapeptide, called beta-factor XIIa part 1, and coagulation factor XIIa light chain, also known in this context as beta-factor XIIa part 2. O-and N-glycosylated. The O-linked polysaccharides were not identified, but are probably the mucin type linked to GalNAc.
Similarity: Belongs to the peptidase S1 family.
NCBI and Uniprot Product Information
Predicted: 68 kDa
Customer Reviews
Loading reviews...
Share Your Experience
Similar Products
Product Notes
The F12 f12 (Catalog #AAA326324) is an Antibody produced from Rabbit and is intended for research purposes only. The product is available for immediate purchase. The F12 Antibody reacts with Human, Rat and may cross-react with other species as described in the data sheet. AAA Biotech's F12 can be used in a range of immunoassay formats including, but not limited to, ELISA, ICC (Immunocytochemistry), IF (Immunofluorescence), IHC (Immunohistochemistry), WB (Western Blot). Researchers should empirically determine the suitability of the F12 f12 for an application not listed in the data sheet. Researchers commonly develop new applications and it is an integral, important part of the investigative research process. It is sometimes possible for the material contained within the vial of "F12, Polyclonal Antibody" to become dispersed throughout the inside of the vial, particularly around the seal of said vial, during shipment and storage. We always suggest centrifuging these vials to consolidate all of the liquid away from the lid and to the bottom of the vial prior to opening. Please be advised that certain products may require dry ice for shipping and that, if this is the case, an additional dry ice fee may also be required.Precautions
All products in the AAA Biotech catalog are strictly for research-use only, and are absolutely not suitable for use in any sort of medical, therapeutic, prophylactic, in-vivo, or diagnostic capacity. By purchasing a product from AAA Biotech, you are explicitly certifying that said products will be properly tested and used in line with industry standard. AAA Biotech and its authorized distribution partners reserve the right to refuse to fulfill any order if we have any indication that a purchaser may be intending to use a product outside of our accepted criteria.Disclaimer
Though we do strive to guarantee the information represented in this datasheet, AAA Biotech cannot be held responsible for any oversights or imprecisions. AAA Biotech reserves the right to adjust any aspect of this datasheet at any time and without notice. It is the responsibility of the customer to inform AAA Biotech of any product performance issues observed or experienced within 30 days of receipt of said product. To see additional details on this or any of our other policies, please see our Terms & Conditions page.Item has been added to Shopping Cart
If you are ready to order, navigate to Shopping Cart and get ready to checkout.
