Rabbit anti-Human FAIM2 Polyclonal Antibody | anti-FAIM2 antibody
FAIM2 Antibody
Gene Names
FAIM2; LFG; LFG2; NGP35; NMP35; TMBIM2
Reactivity
Human
Applications
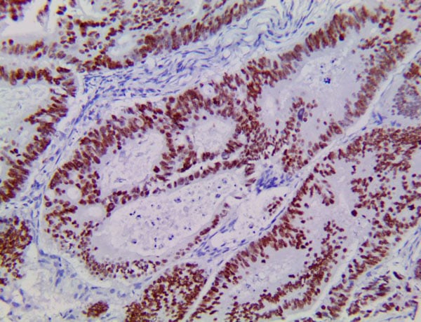
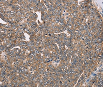
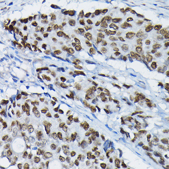
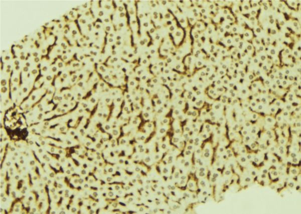
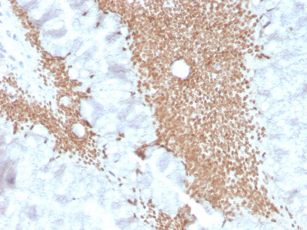
Immunohistochemistry
Purity
Antigen affinity purification.
Synonyms
FAIM2, Antibody; FAIM2 Antibody; LFG; LFG2; NGP35; NMP35; TMBIM2; anti-FAIM2 antibody
Host
Rabbit
Reactivity
Human
Clonality
Polyclonal
Specificity
The antibody detects endogenous levels of total FAIM2 protein.
Purity/Purification
Antigen affinity purification.
Form/Format
Rabbit IgG in pH7.3 PBS, 0.05% NaN3, 50% Glycerol.
Concentration
2.1 mg/ml (varies by lot)
Sequence Length
316
Applicable Applications for anti-FAIM2 antibody
IHC (Immunohistochemistry)
Immunogen Type
Recombinant Protein
Immunogen Description
Fusion protein corresponding to residues near the N terminal of human Fas apoptotic inhibitory molecule 2
Target Name
FAIM2
Preparation and Storage
Store at -20 degree C
Related Product Information for anti-FAIM2 antibody
FAIM2 (Fas apoptotic inhibitory molecule 2), also known as LFG (Protein lifeguard), TMBIM2 (Transmembrane BAX inhibitor motif-containing protein 2) and NMP35 (neural membrane protein 35), is a 316 amino acid multipass membrane protein that uniquely protects cells from Fas-induced apoptosis. Though widely expressed, FAIM2 expression is highest in hippocampus. FAIM2 contains seven transmembrane domains and resembles Bax Inhibitor-1, another anti-apoptotic protein. Overexpression of FAIM2 results in decreased caspase activation and reduced incidence of programmed cell death.
Product Categories/Family for anti-FAIM2 antibody
NCBI and Uniprot Product Information
NCBI GI #
NCBI GeneID
NCBI Accession #
NCBI GenBank Nucleotide #
Molecular Weight
30,448 Da
NCBI Official Full Name
protein lifeguard 2
NCBI Official Synonym Full Names
Fas apoptotic inhibitory molecule 2
NCBI Official Symbol
FAIM2
NCBI Official Synonym Symbols
LFG; LFG2; NGP35; NMP35; TMBIM2
NCBI Protein Information
protein lifeguard 2
UniProt Protein Name
Protein lifeguard 2
UniProt Gene Name
FAIM2
UniProt Synonym Gene Names
KIAA0950; LFG; LFG2; NMP35; TMBIM2
UniProt Entry Name
LFG2_HUMAN
Customer Reviews
Loading reviews...
Share Your Experience
Similar Products
Product Notes
The FAIM2 faim2 (Catalog #AAA303388) is an Antibody produced from Rabbit and is intended for research purposes only. The product is available for immediate purchase. The FAIM2 Antibody reacts with Human and may cross-react with other species as described in the data sheet. AAA Biotech's FAIM2 can be used in a range of immunoassay formats including, but not limited to, IHC (Immunohistochemistry). Researchers should empirically determine the suitability of the FAIM2 faim2 for an application not listed in the data sheet. Researchers commonly develop new applications and it is an integral, important part of the investigative research process. It is sometimes possible for the material contained within the vial of "FAIM2, Polyclonal Antibody" to become dispersed throughout the inside of the vial, particularly around the seal of said vial, during shipment and storage. We always suggest centrifuging these vials to consolidate all of the liquid away from the lid and to the bottom of the vial prior to opening. Please be advised that certain products may require dry ice for shipping and that, if this is the case, an additional dry ice fee may also be required.Precautions
All products in the AAA Biotech catalog are strictly for research-use only, and are absolutely not suitable for use in any sort of medical, therapeutic, prophylactic, in-vivo, or diagnostic capacity. By purchasing a product from AAA Biotech, you are explicitly certifying that said products will be properly tested and used in line with industry standard. AAA Biotech and its authorized distribution partners reserve the right to refuse to fulfill any order if we have any indication that a purchaser may be intending to use a product outside of our accepted criteria.Disclaimer
Though we do strive to guarantee the information represented in this datasheet, AAA Biotech cannot be held responsible for any oversights or imprecisions. AAA Biotech reserves the right to adjust any aspect of this datasheet at any time and without notice. It is the responsibility of the customer to inform AAA Biotech of any product performance issues observed or experienced within 30 days of receipt of said product. To see additional details on this or any of our other policies, please see our Terms & Conditions page.Item has been added to Shopping Cart
If you are ready to order, navigate to Shopping Cart and get ready to checkout.
