Rabbit FANCA Polyclonal Antibody | anti-FANCA antibody
Phospho-FANCA (Ser1449) Antibody
Predicted: Bovine, Horse
Predicted: Bovine, Horse
WB (Western Blot)
(Western blot analysis of Phospho-FANCA (Ser1449) in lysates of HELA IGF 100ng/ml 10' , using Phospho-FANCA (Ser1449) Antibody.)
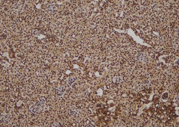
IHC (Immunohistochemisry)
(At 1/100 staining mouse kidney tissue sections by IHC-P. The tissue was formaldehyde fixed and a heat mediated antigen retrieval step in citrate buffer was performed. The tissue was then blocked and incubated with the antibody for 1.5 hours at 22 degree C. An HRP conjugated goat anti-rabbit antibody was used as the secondary)
IHC (Immunohiostchemistry)
(At 1/100 staining rat heart tissue sections by IHC-P. The tissue was formaldehyde fixed and a heat mediated antigen retrieval step in citrate buffer was performed. The tissue was then blocked and incubated with the antibody for 1.5 hours at 22 degree C. An HRP conjugated goat anti-rabbit antibody was used as the secondary)
IHC (Immunohistochemistry)
(At 1/100 staining human heart tissue sections by IHC-P. The tissue was formaldehyde fixed and a heat mediated antigen retrieval step in citrate buffer was performed. The tissue was then blocked and incubated with the antibody for 1.5 hours at 22 degree C. An HRP conjugated goat anti-rabbit antibody was used as the secondary)
Post Translational Modifications: Phosphorylation is required for the formation of the nuclear complex. Not phosphorylated in cells derived from groups A, B, C, E, F, G, and H.
Subunit Structure: Belongs to the multisubunit FA complex composed of FANCA, FANCB, FANCC, FANCE, FANCF, FANCG, FANCL/PHF9 and FANCM. The complex is not found in FA patients. In complex with FANCF, FANCG and FANCL, but not with FANCC, nor FANCE, interacts with HES1; this interaction may be essential for the stability and nuclear localization of FA core complex proteins. The complex with FANCC and FANCG may also include EIF2AK2 and HSP70. Interacts with FAAP20/C1orf86; interaction is direct.
NCBI and Uniprot Product Information
Predicted: 163 kDa
Customer Reviews
Loading reviews...
Share Your Experience
Similar Products
Product Notes
The FANCA fanca (Catalog #AAA328292) is an Antibody produced from Rabbit and is intended for research purposes only. The product is available for immediate purchase. The Phospho-FANCA (Ser1449) Antibody reacts with Human, Mouse, Rat Predicted: Bovine, Horse and may cross-react with other species as described in the data sheet. AAA Biotech's FANCA can be used in a range of immunoassay formats including, but not limited to, ELISA (Peptide ELISA), IHC (Immunohistochemistry), WB (Western Blot). Researchers should empirically determine the suitability of the FANCA fanca for an application not listed in the data sheet. Researchers commonly develop new applications and it is an integral, important part of the investigative research process. It is sometimes possible for the material contained within the vial of "FANCA, Polyclonal Antibody" to become dispersed throughout the inside of the vial, particularly around the seal of said vial, during shipment and storage. We always suggest centrifuging these vials to consolidate all of the liquid away from the lid and to the bottom of the vial prior to opening. Please be advised that certain products may require dry ice for shipping and that, if this is the case, an additional dry ice fee may also be required.Precautions
All products in the AAA Biotech catalog are strictly for research-use only, and are absolutely not suitable for use in any sort of medical, therapeutic, prophylactic, in-vivo, or diagnostic capacity. By purchasing a product from AAA Biotech, you are explicitly certifying that said products will be properly tested and used in line with industry standard. AAA Biotech and its authorized distribution partners reserve the right to refuse to fulfill any order if we have any indication that a purchaser may be intending to use a product outside of our accepted criteria.Disclaimer
Though we do strive to guarantee the information represented in this datasheet, AAA Biotech cannot be held responsible for any oversights or imprecisions. AAA Biotech reserves the right to adjust any aspect of this datasheet at any time and without notice. It is the responsibility of the customer to inform AAA Biotech of any product performance issues observed or experienced within 30 days of receipt of said product. To see additional details on this or any of our other policies, please see our Terms & Conditions page.Item has been added to Shopping Cart
If you are ready to order, navigate to Shopping Cart and get ready to checkout.
