Rabbit FANCD2 Polyclonal Antibody | anti-FANCD2 antibody
FANCD2 Antibody
Phosphate buffered saline, pH 7.4, 150mM NaCl, 0.02% sodium azide and 50% glycerol.
WB (Western Blot)
(Western blot analysis of FANCD2 expression in CalyculinA treated HT29 whole cell lysates, The lane on the left is treated with the antigen-specific peptide.)
IF (Immunofluorescence)
(AAA322453 staining HT29 by IF/ICC. The sample were fixed with PFA and permeabilized in 0.1% Triton X-100, then blocked in 10% serum for 45 minutes at 25 degree C. The primary antibody was diluted at 1/200 and incubated with the sample for 1 hour at 37 degree C. An Alexa Fluor 594 conjugated goat anti-rabbit IgG (H+L) Ab, diluted at 1/600, was used as the secondary antibody.)
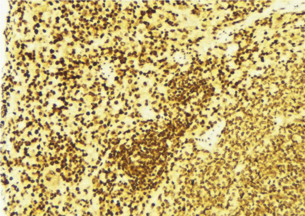
IHC (Immunohistochemistry)
(AAA322453 at 1/100 staining Mouse spleen tissue by IHC-P. The sample was formaldehyde fixed and a heat mediated antigen retrieval step in citrate buffer was performed. The sample was then blocked and incubated with the antibody for 1.5 hours at 22 degree C. An HRP conjugated goat anti-rabbit antibody was used as the secondary.)
Subunit Structure: Interacts directly with FANCE and FANCI. Interacts with USP1 and MEN1. The ubiquitinated form specifically interacts with BRCA1 and BLM. Both the nonubiquitinated and the monoubiquitinated forms interact with BRCA2; this interaction is mediated by phosphorylated FANCG and the complex also includes XCCR3. The ubiquitinated form specifically interacts with MTMR15/FAN1 (via UBZ-type zinc finger), leading to recruit MTMR15/FAN1 to sites of DNA damage. Interacts with DCLRE1B/Apollo (PubMed:11239454, PubMed:12093742, PubMed:12649160, PubMed:12874027, PubMed:15115758, PubMed:15199141, PubMed:15257300, PubMed:15694335, PubMed:17412408, PubMed:17460694, PubMed:18212739, PubMed:18469862, PubMed:20603015, PubMed:20603016, PubMed:20603073). Interacts with POLN (PubMed:19995904).
Post-translational Modifications: Monoubiquitinated on Lys-561 during S phase and upon genotoxic stress by FANCL in complex with E2 ligases UBE2T or UBE2W (isoform 1 and isoform 2). Deubiquitinated by USP1 as cells enter G2/M, or once DNA repair is completed. Monoubiquitination requires the joint intervention of the FANC core complex, including FANCA, FANCB, FANCC, FANCE, FANCF, FANCG, and FANCM, and proteins involved in cell cycle checkpoints and DNA repair, including RPA1, ATR, CHEK1 and BRCA1, and is mediated by FANCL/PHF9. Ubiquitination is required for binding to chromatin, interaction with BRCA1, BRCA2 and MTMR15/FAN1, DNA repair, and normal cell cycle progression, but not for phosphorylation on Ser-222 or interaction with MEN1. Phosphorylated in response to various genotoxic stresses by ATM and/or ATR. Upon ionizing radiation, phosphorylated by ATM on Ser-222 and Ser-1404. Phosphorylation on Ser-222 is required for S-phase checkpoint activation, but not for ubiquitination, foci formation, or DNA repair. In contrast, phosphorylation by ATR on other sites may be required for ubiquitination and foci formation.
Similarity: The C-terminal 24 residues of isoform 2 are required for its function.
NCBI and Uniprot Product Information
Predicted: 165 kDa
Customer Reviews
Loading reviews...
Share Your Experience
Similar Products
Product Notes
The FANCD2 fancd2 (Catalog #AAA322453) is an Antibody produced from Rabbit and is intended for research purposes only. The product is available for immediate purchase. The FANCD2 Antibody reacts with Human, Mouse, Rat and may cross-react with other species as described in the data sheet. AAA Biotech's FANCD2 can be used in a range of immunoassay formats including, but not limited to, ELISA, ICC (Immunocytochemistry), IF (Immunofluorescence), IHC (Immunohistochemistry), WB (Western Blot). Researchers should empirically determine the suitability of the FANCD2 fancd2 for an application not listed in the data sheet. Researchers commonly develop new applications and it is an integral, important part of the investigative research process. It is sometimes possible for the material contained within the vial of "FANCD2, Polyclonal Antibody" to become dispersed throughout the inside of the vial, particularly around the seal of said vial, during shipment and storage. We always suggest centrifuging these vials to consolidate all of the liquid away from the lid and to the bottom of the vial prior to opening. Please be advised that certain products may require dry ice for shipping and that, if this is the case, an additional dry ice fee may also be required.Precautions
All products in the AAA Biotech catalog are strictly for research-use only, and are absolutely not suitable for use in any sort of medical, therapeutic, prophylactic, in-vivo, or diagnostic capacity. By purchasing a product from AAA Biotech, you are explicitly certifying that said products will be properly tested and used in line with industry standard. AAA Biotech and its authorized distribution partners reserve the right to refuse to fulfill any order if we have any indication that a purchaser may be intending to use a product outside of our accepted criteria.Disclaimer
Though we do strive to guarantee the information represented in this datasheet, AAA Biotech cannot be held responsible for any oversights or imprecisions. AAA Biotech reserves the right to adjust any aspect of this datasheet at any time and without notice. It is the responsibility of the customer to inform AAA Biotech of any product performance issues observed or experienced within 30 days of receipt of said product. To see additional details on this or any of our other policies, please see our Terms & Conditions page.Item has been added to Shopping Cart
If you are ready to order, navigate to Shopping Cart and get ready to checkout.
