Rabbit FEN1 Polyclonal Antibody | anti-FEN1 antibody
FEN1 Antibody
Phosphate buffered saline, pH 7.4, 150mM NaCl, 0.02% sodium azide and 50% glycerol.
IF (Immunofluorescence)
(AAA323877 staining Hela by IF/ICC. The sample were fixed with PFA and permeabilized in 0.1% Triton X-100, then blocked in 10% serum for 45 minutes at 25 degree C. The primary antibody was diluted at 1/200 and incubated with the sample for 1 hour at 37 degree C. An Alexa Fluor 594 conjugated goat anti-rabbit IgG (H+L) Ab, diluted at 1/600, was used as the secondary antibody.)
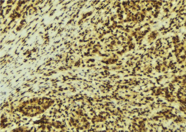
IHC (Immunohiostchemistry)
(AAA323877 at 1/100 staining Human breast cancer tissue by IHC-P. The sample was formaldehyde fixed and a heat mediated antigen retrieval step in citrate buffer was performed. The sample was then blocked and incubated with the antibody for 1.5 hours at 22 degree C. An HRP conjugated goat anti-rabbit antibody was used as the secondary.)
Subunit Structure: Three molecules of FEN1 bind to one PCNA trimer with each molecule binding to one PCNA monomer (PubMed:15616578). PCNA stimulates the nuclease activity without altering cleavage specificity (PubMed:15616578). The C-terminal domain binds EP300; can bind simultaneously to both PCNA and EP300 (PubMed:11430825). Interacts with PCNA; can bind simultaneously to both PCNA and EP300 (PubMed:9305916, PubMed:11430825). Interacts with DDX11; this interaction is direct and increases flap endonuclease activity of FEN1 (PubMed:18499658).
Post-translational Modifications: Acetylated by EP300. Acetylation inhibits both endonuclease and exonuclease activity. Acetylation also reduces DNA-binding activity but does not affect interaction with PCNA or EP300. Phosphorylation upon DNA damage induces relocalization to the nuclear plasma. Phosphorylation at Ser-187 by CDK2 occurs during late S-phase and results in dissociation from PCNA. Methylation at Arg-192 by PRMT5 impedes Ser-187 phosphorylation and increases interaction with PCNA.
Similarity: Belongs to the XPG/RAD2 endonuclease family. FEN1 subfamily.
NCBI and Uniprot Product Information
Predicted: 43 kDa
Customer Reviews
Loading reviews...
Share Your Experience
Similar Products
Product Notes
The FEN1 fen1 (Catalog #AAA323877) is an Antibody produced from Rabbit and is intended for research purposes only. The product is available for immediate purchase. The FEN1 Antibody reacts with Human, Mouse, Rat and may cross-react with other species as described in the data sheet. AAA Biotech's FEN1 can be used in a range of immunoassay formats including, but not limited to, ELISA, ICC (Immunocytochemistry), IF (Immunofluorescence), IHC (Immunohistochemistry), WB (Western Blot). Researchers should empirically determine the suitability of the FEN1 fen1 for an application not listed in the data sheet. Researchers commonly develop new applications and it is an integral, important part of the investigative research process. It is sometimes possible for the material contained within the vial of "FEN1, Polyclonal Antibody" to become dispersed throughout the inside of the vial, particularly around the seal of said vial, during shipment and storage. We always suggest centrifuging these vials to consolidate all of the liquid away from the lid and to the bottom of the vial prior to opening. Please be advised that certain products may require dry ice for shipping and that, if this is the case, an additional dry ice fee may also be required.Precautions
All products in the AAA Biotech catalog are strictly for research-use only, and are absolutely not suitable for use in any sort of medical, therapeutic, prophylactic, in-vivo, or diagnostic capacity. By purchasing a product from AAA Biotech, you are explicitly certifying that said products will be properly tested and used in line with industry standard. AAA Biotech and its authorized distribution partners reserve the right to refuse to fulfill any order if we have any indication that a purchaser may be intending to use a product outside of our accepted criteria.Disclaimer
Though we do strive to guarantee the information represented in this datasheet, AAA Biotech cannot be held responsible for any oversights or imprecisions. AAA Biotech reserves the right to adjust any aspect of this datasheet at any time and without notice. It is the responsibility of the customer to inform AAA Biotech of any product performance issues observed or experienced within 30 days of receipt of said product. To see additional details on this or any of our other policies, please see our Terms & Conditions page.Item has been added to Shopping Cart
If you are ready to order, navigate to Shopping Cart and get ready to checkout.
