Rabbit anti-Human FHL Polyclonal Antibody | anti-FHL1 antibody
Anti-FHL Antibody
Gene Names
FHL1; KYOT; SLIM; FCMSU; FHL-1; FHL1A; FHL1B; FLH1A; SLIM1; XMPMA; RBMX1A; RBMX1B; SLIM-1; SLIMMER
Reactivity
Human
Applications
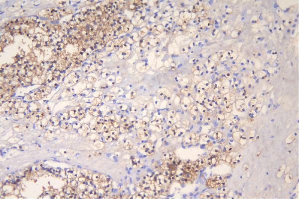
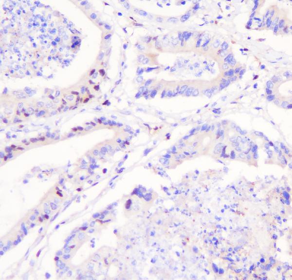
ELISA, Flow Cytometry, Functional Assay, Immunofluorescence, Immunocytochemistry, Immunohistochemistry, Western Blot
Purity
Immunogen affinity purified.
Synonyms
FHL, Antibody; Anti-FHL Antibody; Four and a half LIM domains protein 1; FHL-1; Skeletal muscle LIM-protein 1; SLIM; SLIM-1; FHL1; SLIM1; anti-FHL1 antibody
Host
Rabbit
Reactivity
Human
Clonality
Polyclonal
Isotype
IgG
Specificity
No cross reactivity with other proteins.
Purity/Purification
Immunogen affinity purified.
Form/Format
Lyophilized
Each vial contains 4mg Trehalose, 0.9mg NaCl, 0.2mg Na2HPO4, 0.05mg NaN3.
Each vial contains 4mg Trehalose, 0.9mg NaCl, 0.2mg Na2HPO4, 0.05mg NaN3.
Sequence Length
296
Applicable Applications for anti-FHL1 antibody
ELISA (Direct ELISA), FCM/FACS (Flow Cytometry), IF (Immunofluorescence), ICC (Immunocytochemistry), IHC (Immunohistochemistry), WB (Western Blot)
Immunogen
E Coli-derived human FHL1 recombinant protein (Position: A2-P323).
Reconstitution
Add 0.2ml of distilled water will yield a concentration of 500ug/ml.
Preparation and Storage
Store at -20 degree C for one year. After reconstitution, at 4 degree C for one month. It can also be aliquotted and stored frozen store at -20 degree C for a longer time. Avoid repeated freezing and thawing.
Related Product Information for anti-FHL1 antibody
Description: Rabbit IgG polyclonal antibody for FHL detection. Tested with WB, IHC-P, ICC/IF, FCM, Direct ELISA in Human.
Background: Four and a half LIM domains protein 1 is a protein that in humans is encoded by the FHL1 gene. It is mapped to Xq26.3. This gene encodes a member of the four-and-a-half-LIM-only protein family. Family members contain two highly conserved, tandemly arranged, zinc finger domains with four highly conserved cysteines binding a zinc atom in each zinc finger. Expression of these family members occurs in a cell- and tissue-specific mode and these proteins are involved in many cellular processes. Mutations in this gene have been found in patients with Emery-Dreifuss muscular dystrophy. Multiple alternately spliced transcript variants which encode different protein isoforms have been described.
Background: Four and a half LIM domains protein 1 is a protein that in humans is encoded by the FHL1 gene. It is mapped to Xq26.3. This gene encodes a member of the four-and-a-half-LIM-only protein family. Family members contain two highly conserved, tandemly arranged, zinc finger domains with four highly conserved cysteines binding a zinc atom in each zinc finger. Expression of these family members occurs in a cell- and tissue-specific mode and these proteins are involved in many cellular processes. Mutations in this gene have been found in patients with Emery-Dreifuss muscular dystrophy. Multiple alternately spliced transcript variants which encode different protein isoforms have been described.
References
1. Morgan MJ, Madgwick AJ (Aug 1996). "Slim defines a novel family of LIM-proteins expressed in skeletal muscle". Biochemical and Biophysical Research Communications. 225 (2): 632-8.
2. Lee SM, Tsui SK, Chan KK, Garcia-Barcelo M, Waye MM, Fung KP, Liew CC, Lee CY (Aug 1998). "Chromosomal mapping, tissue distribution and cDNA sequence of four-and-a-half LIM domain protein 1 (FHL1)". Gene. 216 (1): 163-70.
3. Windpassinger C, Schoser B, Straub V, Hochmeister S, Noor A, Lohberger B, Farra N, Petek E, Schwarzbraun T, Ofner L, Löscher WN, Wagner K, Lochmüller H, Vincent JB, Quasthoff S (Jan 2008). "An X-linked myopathy with postural muscle atrophy and generalized hypertrophy, termed XMPMA, is caused by mutations in FHL1". American Journal of Human Genetics. 82 (1): 88-99. doi:10.1016/j.ajhg.2007.09.004.
2. Lee SM, Tsui SK, Chan KK, Garcia-Barcelo M, Waye MM, Fung KP, Liew CC, Lee CY (Aug 1998). "Chromosomal mapping, tissue distribution and cDNA sequence of four-and-a-half LIM domain protein 1 (FHL1)". Gene. 216 (1): 163-70.
3. Windpassinger C, Schoser B, Straub V, Hochmeister S, Noor A, Lohberger B, Farra N, Petek E, Schwarzbraun T, Ofner L, Löscher WN, Wagner K, Lochmüller H, Vincent JB, Quasthoff S (Jan 2008). "An X-linked myopathy with postural muscle atrophy and generalized hypertrophy, termed XMPMA, is caused by mutations in FHL1". American Journal of Human Genetics. 82 (1): 88-99. doi:10.1016/j.ajhg.2007.09.004.
NCBI and Uniprot Product Information
NCBI GI #
NCBI GeneID
NCBI Accession #
NCBI GenBank Nucleotide #
UniProt Accession #
NCBI Official Full Name
four and a half LIM domains protein 1 isoform 5
NCBI Official Synonym Full Names
four and a half LIM domains 1
NCBI Official Symbol
FHL1
NCBI Official Synonym Symbols
KYOT; SLIM; FCMSU; FHL-1; FHL1A; FHL1B; FLH1A; SLIM1; XMPMA; RBMX1A; RBMX1B; SLIM-1; SLIMMER
NCBI Protein Information
four and a half LIM domains protein 1
UniProt Protein Name
Four and a half LIM domains protein 1
UniProt Gene Name
FHL1
UniProt Synonym Gene Names
SLIM1; FHL-1; SLIM; SLIM-1
UniProt Entry Name
FHL1_HUMAN
Customer Reviews
Loading reviews...
Share Your Experience
Similar Products
Product Notes
The FHL1 fhl1 (Catalog #AAA125421) is an Antibody produced from Rabbit and is intended for research purposes only. The product is available for immediate purchase. The Anti-FHL Antibody reacts with Human and may cross-react with other species as described in the data sheet. AAA Biotech's FHL can be used in a range of immunoassay formats including, but not limited to, ELISA (Direct ELISA), FCM/FACS (Flow Cytometry), IF (Immunofluorescence), ICC (Immunocytochemistry), IHC (Immunohistochemistry), WB (Western Blot). Researchers should empirically determine the suitability of the FHL1 fhl1 for an application not listed in the data sheet. Researchers commonly develop new applications and it is an integral, important part of the investigative research process. It is sometimes possible for the material contained within the vial of "FHL, Polyclonal Antibody" to become dispersed throughout the inside of the vial, particularly around the seal of said vial, during shipment and storage. We always suggest centrifuging these vials to consolidate all of the liquid away from the lid and to the bottom of the vial prior to opening. Please be advised that certain products may require dry ice for shipping and that, if this is the case, an additional dry ice fee may also be required.Precautions
All products in the AAA Biotech catalog are strictly for research-use only, and are absolutely not suitable for use in any sort of medical, therapeutic, prophylactic, in-vivo, or diagnostic capacity. By purchasing a product from AAA Biotech, you are explicitly certifying that said products will be properly tested and used in line with industry standard. AAA Biotech and its authorized distribution partners reserve the right to refuse to fulfill any order if we have any indication that a purchaser may be intending to use a product outside of our accepted criteria.Disclaimer
Though we do strive to guarantee the information represented in this datasheet, AAA Biotech cannot be held responsible for any oversights or imprecisions. AAA Biotech reserves the right to adjust any aspect of this datasheet at any time and without notice. It is the responsibility of the customer to inform AAA Biotech of any product performance issues observed or experienced within 30 days of receipt of said product. To see additional details on this or any of our other policies, please see our Terms & Conditions page.Item has been added to Shopping Cart
If you are ready to order, navigate to Shopping Cart and get ready to checkout.
