Rabbit FMR1 Polyclonal Antibody | anti-FMR1 antibody
Phospho-FMR1 (Ser500) Antibody
Predicted: Pig, Bovine, Sheep, Rabbit, Dog, Chicken, Xenopus
Predicted: Pig, Bovine, Sheep, Rabbit, Dog, Chicken, Xenopus
WB (Western Blot)
(Western blot analysis of extracts of Human brain tissue sample,using Phospho-FMR1(Ser500) Antibody.)
IHC (Immunohistochemisry)
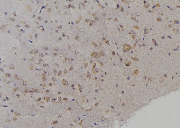
(At 1/100 staining mouse brain tissue sections by IHC-P. The tissue was formaldehyde fixed and a heat mediated antigen retrieval step in citrate buffer was performed. The tissue was then blocked and incubated with the antibody for 1.5 hours at 22 degree C. An HRP conjugated goat anti-rabbit antibody was used as the secondary)
IHC (Immunohiostchemistry)
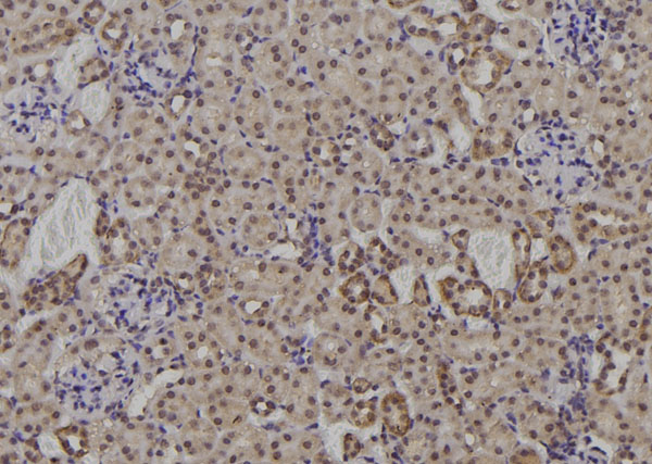
(At 1/100 staining rat kidney tissue sections by IHC-P. The tissue was formaldehyde fixed and a heat mediated antigen retrieval step in citrate buffer was performed. The tissue was then blocked and incubated with the antibody for 1.5 hours at 22 degree C. An HRP conjugated goat anti-rabbit antibody was used as the secondary)
IHC (Immunohistochemistry)
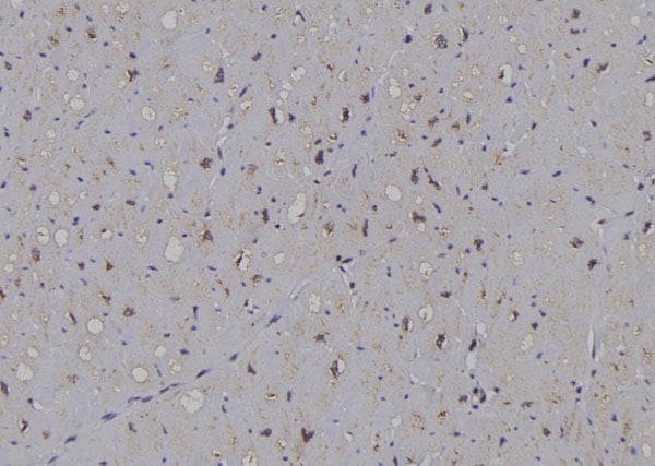
(At 1/100 staining human heart tissue sections by IHC-P. The tissue was formaldehyde fixed and a heat mediated antigen retrieval step in citrate buffer was performed. The tissue was then blocked and incubated with the antibody for 1.5 hours at 22 degree C. An HRP conjugated goat anti-rabbit antibody was used as the secondary)
Post Translational Modifications: Phosphorylated (PubMed:14532325). Phosphorylated on several serine residues. Phosphorylation at Ser-500 is required for phosphorylation of other nearby serine residues. Phosphorylation has no effect on the binding of individual mRNA species, but may affect the association with polyribosome. Unphosphorylated FMR1 is associated with actively translating polyribosome, whereas a fraction of phosphorylated FMR1 is associated with apparently stalled polyribosome. Dephosphorylation by an activated phosphatase may release the FMR1-mediated translational repression and allow synthesis of a locally required protein at snypases (By similarity). Monoubiquitinated. Polyubiquitinated. Ubiquitinated and targeted for proteasomal degradation after activation of metabotropic glutamate receptor (mGluR). Methylated; methylation is necessary for heterodimerization with FXR1, association with polyribosomes, recruitment into stress granules and translation of FMR1 target mRNAs (PubMed:16636078). Methylated by PRMT1, PRMT3 and PRMT4, in vitro (PubMed:16922515). Isoform 10: Undergoes proteolytic cleavage; may be specifically cleaved by calpain-1/CAPN1 in cajal bodies (PubMed:24204304).
Subunit Structure: Homodimer (PubMed:7489725, PubMed:12950170, PubMed:16636078). Forms heterodimer with FXR1; heterodimerization occurs in a methylation-dependent manner (PubMed:7489725, PubMed:11157796, PubMed:16636078). Forms heterodimer with FXR2 (PubMed:7489725, PubMed:11157796). Homooligomer (PubMed:11157796, PubMed:18664458). Component of the CYFIP1-EIF4E-FMR1 complex at least composed of CYFIP, EIF4E and FMR1; this mRNA cap binding complex formation increases in presence of the brain cytoplasmic RNA BC1 and is dynamically regulated in an activity-dependent manner to repress and then possibly release dendritic mRNAs for translation in response to mGluR stimulation (By similarity). Associates with the SMN core complex that contains SMN, GEMIN2/SIP1, DDX20/GEMIN3, GEMIN4, GEMIN5, GEMIN6, GEMIN7, GEMIN8 and STRAP/UNRIP (PubMed:18093976). Part of a ribonucleoprotein complex with AGO2/EIF2C2 and miRNAs (PubMed:14703574). Interacts with AGO2/EIF2C2 (PubMed:14703574). Interacts (via C-terminus) with CACNA1B; this interaction induces a deacrease in the number of presynaptic functional CACNA1B channels at the cell surface (By similarity). Interacts with CYFIP1; this interaction recruits CYFIP1 to capped mRNA (By similarity). Interacts with CYFIP2 (By similarity). Interacts with EIF5; this interaction occurs in a RNA-dependent manner (By similarity). Interacts with dynein (By similarity). Interacts with FXR1 and FXR2 (PubMed:8668200, PubMed:14532325, PubMed:15380484). Interacts with methylated histone H3 (PubMed:24813610). Interacts with IGF2BP1; this interaction allows to recruit IGF2BP1 to mRNA in a FMR1-dependent manner (PubMed:15282548). Interacts (via N-terminus) with KCNMB4 (PubMed:25561520). Interacts with KCNT1 (via C-terminus); this interaction alters gating properties of KCNT1 (PubMed:20512134). Interacts (via phosphorylated form) with MCRS1 (via N-terminus) (PubMed:16571602). Interacts with MOV10; this interaction is direct, occurs in an RNA-dependent manner on polysomes and induces association of MOV10 with RNAs (PubMed:25464849). Interacts with MYO5A and PURA; these interactions occur in association with polyribosome (By similarity). Interacts with NCL (By similarity). Interacts with NUFIP1 (PubMed:10556305). Interacts (via N-terminus) with NUFIP2 (PubMed:12837692, PubMed:16407062). Interacts with NXF1; this interaction occurs in a mRNA-dependent and polyribosome-independent manner in the nucleus (PubMed:18936162). Interacts with NXF2 (via N-terminus); this interaction is direct and occurs in a NXF1 mRNA-containing mRNP complexes (By similarity). Interacts with RANBP9 (via C-terminus); this interaction is direct and inhibits binding of FMR1 to RNA homopolymer (PubMed:15381419). Interacts with RPLP0 (PubMed:15380484). Interacts (via C-terminus) with SMN (via C-terminus); this interaction is direct and occurs in a RNA-independent manner (PubMed:18093976). Interacts with TDRD3 (via C-terminus); this interaction is direct (PubMed:18632687, PubMed:18664458). Interacts with YBX1; this interaction occurs in association with polyribosome (By similarity). Interacts with nucleosome (PubMed:24813610). Associates with polyribosome; this association occurs in a mRNA-dependent manner (PubMed:9659908, PubMed:11719188, PubMed:12594214, PubMed:19097999, PubMed:24448548). Associates with cytoplasmic messenger ribonucleoprotein particles (mRNPs) (PubMed:7692601, PubMed:9659908, PubMed:12575950, PubMed:19097999). Associates with microtubules in a kinesin- and dynein-dependent manner (By similarity). Isoform 6 interacts (via N-terminus) with NCL (via C-terminus) (PubMed:24658146). Isoform 6 interacts with CYFIP2; this interaction occurs in a RNA-dependent manner (PubMed:24658146). Isoform 6 interacts with EIF5; this interaction occurs in a RNA-dependent manner (PubMed:24658146). Isoform 6 interacts with RPLP0 (PubMed:24658146). Interacts with HABP4 (PubMed:21771594).
Similarity: The N-terminal 134 amino acids are necessary for homodimerization and RNA-binding (PubMed:12950170). The N-terminal 298 amino acids are sufficient to interact with KCNMB4 and to regulate presynaptic action potential (AP) duration in neurons (PubMed:25561520). The two agenet-like domains are necessary for binding to histone H3 in a methylation-dependent manner (PubMed:24813610). The KH domains are necessary for mediating miRNA annealing to specific RNA targets (PubMed:17057366). The KH 2 domain is necessary for binding to kissing complex (kc) RNA ligands (PubMed:15805463). The RGG box domain is necessary for binding to mRNA targets that contain G-quadruplex structures (PubMed:11719189, PubMed:18579868, PubMed:25692235). The RGG-box domain is necessary for binding to a triple stem-loop RNA structure, called Sod1 stem loop interacting with FMRP (SoSLIP), in the superoxide dismutase SOD1 mRNA (PubMed:19166269). The RGG box domain is necessary for binding to its own mRNA (PubMed:11532944). The RGG-box domain is necessary for binding to homopolymer poly(G) (PubMed:14532325).Isoform 10: The C-terminal region contains a Cajal body localization signal at positions 490 through 506 (PubMed:24204304). Belongs to the FMR1 family.
NCBI and Uniprot Product Information
Predicted: 72 kDa
Customer Reviews
Loading reviews...
Share Your Experience
Similar Products
Product Notes
The FMR1 fmr1 (Catalog #AAA328262) is an Antibody produced from Rabbit and is intended for research purposes only. The product is available for immediate purchase. The Phospho-FMR1 (Ser500) Antibody reacts with Human, Mouse, Rat Predicted: Pig, Bovine, Sheep, Rabbit, Dog, Chicken, Xenopus and may cross-react with other species as described in the data sheet. AAA Biotech's FMR1 can be used in a range of immunoassay formats including, but not limited to, ELISA (Peptide ELISA), IHC (Immunohistochemistry), WB (Western Blot). Researchers should empirically determine the suitability of the FMR1 fmr1 for an application not listed in the data sheet. Researchers commonly develop new applications and it is an integral, important part of the investigative research process. It is sometimes possible for the material contained within the vial of "FMR1, Polyclonal Antibody" to become dispersed throughout the inside of the vial, particularly around the seal of said vial, during shipment and storage. We always suggest centrifuging these vials to consolidate all of the liquid away from the lid and to the bottom of the vial prior to opening. Please be advised that certain products may require dry ice for shipping and that, if this is the case, an additional dry ice fee may also be required.Precautions
All products in the AAA Biotech catalog are strictly for research-use only, and are absolutely not suitable for use in any sort of medical, therapeutic, prophylactic, in-vivo, or diagnostic capacity. By purchasing a product from AAA Biotech, you are explicitly certifying that said products will be properly tested and used in line with industry standard. AAA Biotech and its authorized distribution partners reserve the right to refuse to fulfill any order if we have any indication that a purchaser may be intending to use a product outside of our accepted criteria.Disclaimer
Though we do strive to guarantee the information represented in this datasheet, AAA Biotech cannot be held responsible for any oversights or imprecisions. AAA Biotech reserves the right to adjust any aspect of this datasheet at any time and without notice. It is the responsibility of the customer to inform AAA Biotech of any product performance issues observed or experienced within 30 days of receipt of said product. To see additional details on this or any of our other policies, please see our Terms & Conditions page.Item has been added to Shopping Cart
If you are ready to order, navigate to Shopping Cart and get ready to checkout.
