Rabbit FOXF1 Polyclonal Antibody | anti-FOXF1 antibody
Anti-FOXF1 Antibody
Gene Names
FOXF1; FKHL5; ACDMPV; FREAC1
Reactivity
Human, Mouse, Rat
Applications
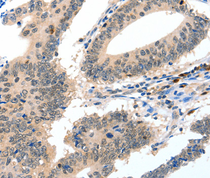
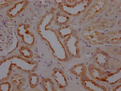
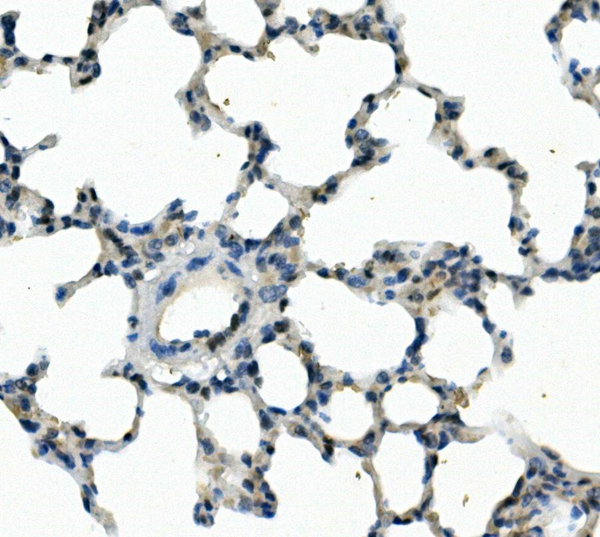
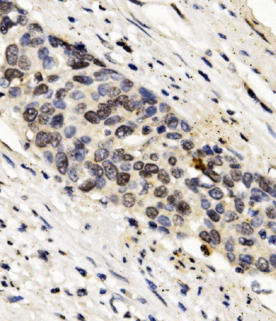
ELISA, Flow Cytometry, Functional Assay, Immunohistochemistry, Western Blot
Purity
Immunogen affinity purified.
Synonyms
FOXF1, Antibody; Anti-FOXF1 Antibody; Forkhead box protein F1; Forkhead-related activator 1; FREAC-1; Forkhead-related protein FKHL5; Forkhead-related transcription factor 1; FOXF1; FKHL5; FREAC1; anti-FOXF1 antibody
Host
Rabbit
Reactivity
Human, Mouse, Rat
Clonality
Polyclonal
Isotype
IgG
Specificity
No cross reactivity with other proteins.
Purity/Purification
Immunogen affinity purified.
Form/Format
Lyophilized
Each vial contains 4mg Trehalose, 0.9mg NaCl, 0.2mg Na2HPO4, 0.05mg NaN3.
Each vial contains 4mg Trehalose, 0.9mg NaCl, 0.2mg Na2HPO4, 0.05mg NaN3.
Sequence Length
379
Applicable Applications for anti-FOXF1 antibody
ELISA (Direct ELISA), FCM/FACS (Flow Cytometry), IHC (Immunohistochemistry), WB (Western Blot)
Immunogen
E Coli-derived human FOXF1 recombinant protein (Position: R44-M379).
Reconstitution
Add 0.2ml of distilled water will yield a concentration of 500ug/ml.
Preparation and Storage
Store at -20 degree C for one year. After reconstitution, at 4 degree C for one month. It can also be aliquotted and stored frozen store at -20 degree C for a longer time. Avoid repeated freezing and thawing.
Related Product Information for anti-FOXF1 antibody
Description: Rabbit IgG polyclonal antibody for FOXF1 detection. Tested with WB, IHC-P, FCM, Direct ELISA in Human; Mouse; Rat.
Background: Forkhead box protein F1 is a protein that in humans is encoded by the FOXF1 gene. It is mapped to 16q24.1. This gene belongs to the forkhead family of transcription factors which is characterized by a distinct forkhead domain. The specific function of this gene has not yet been determined; however, it may play a role in the regulation of pulmonary genes as well as embryonic development.
Background: Forkhead box protein F1 is a protein that in humans is encoded by the FOXF1 gene. It is mapped to 16q24.1. This gene belongs to the forkhead family of transcription factors which is characterized by a distinct forkhead domain. The specific function of this gene has not yet been determined; however, it may play a role in the regulation of pulmonary genes as well as embryonic development.
References
1. Sen, P., Thakur, N., Stockton, D. W., Langston, C., Bejjani, B. A. Expanding the phenotype of alveolar capillary dysplasia (ACD). J. Pediat. 145: 646-651, 2004.
2. Sen, P., Yang, Y., Navarro, C., Silva, I., Szafranski, P., Kolodziejska, K. E., Dharmadhikari, A. V., Mostafa, H., Kozakewich, H., Kearney, D., Cahill, J. B., Whitt, M., and 70 others. Novel FOXF1 mutations in sporadic and familial cases of alveolar capillary dysplasia with misaligned pulmonary veins imply a role for its DNA binding domain. Hum. Mutat. 34: 801-811, 2013.
3. Stankiewicz, P., Sen, P., Bhatt, S. S., Storer, M., Xia, Z., Bejjani, B. A., Ou, Z., Wiszniewska, J., Driscoll, D. J., Maisenbacher, M. K., Bolivar, J., Bauer, M., and 32 others. Genomic and genic deletions of the FOX gene cluster on 16q24.1 and inactivating mutations of FOXF1 cause alveolar capillary dysplasia and other malformations. Am. J. Hum. Genet. 84: 780-791, 2009. Note: Erratum: Am. J. Hum. Genet. 85: 537 only, 2009.
2. Sen, P., Yang, Y., Navarro, C., Silva, I., Szafranski, P., Kolodziejska, K. E., Dharmadhikari, A. V., Mostafa, H., Kozakewich, H., Kearney, D., Cahill, J. B., Whitt, M., and 70 others. Novel FOXF1 mutations in sporadic and familial cases of alveolar capillary dysplasia with misaligned pulmonary veins imply a role for its DNA binding domain. Hum. Mutat. 34: 801-811, 2013.
3. Stankiewicz, P., Sen, P., Bhatt, S. S., Storer, M., Xia, Z., Bejjani, B. A., Ou, Z., Wiszniewska, J., Driscoll, D. J., Maisenbacher, M. K., Bolivar, J., Bauer, M., and 32 others. Genomic and genic deletions of the FOX gene cluster on 16q24.1 and inactivating mutations of FOXF1 cause alveolar capillary dysplasia and other malformations. Am. J. Hum. Genet. 84: 780-791, 2009. Note: Erratum: Am. J. Hum. Genet. 85: 537 only, 2009.
NCBI and Uniprot Product Information
NCBI GI #
NCBI GeneID
NCBI Accession #
NCBI GenBank Nucleotide #
UniProt Accession #
NCBI Official Full Name
forkhead box protein F1
NCBI Official Synonym Full Names
forkhead box F1
NCBI Official Symbol
FOXF1
NCBI Official Synonym Symbols
FKHL5; ACDMPV; FREAC1
NCBI Protein Information
forkhead box protein F1
UniProt Protein Name
Forkhead box protein F1
UniProt Gene Name
FOXF1
UniProt Synonym Gene Names
FKHL5; FREAC1; FREAC-1
Customer Reviews
Loading reviews...
Share Your Experience
Similar Products
Product Notes
The FOXF1 foxf1 (Catalog #AAA125468) is an Antibody produced from Rabbit and is intended for research purposes only. The product is available for immediate purchase. The Anti-FOXF1 Antibody reacts with Human, Mouse, Rat and may cross-react with other species as described in the data sheet. AAA Biotech's FOXF1 can be used in a range of immunoassay formats including, but not limited to, ELISA (Direct ELISA), FCM/FACS (Flow Cytometry), IHC (Immunohistochemistry), WB (Western Blot). Researchers should empirically determine the suitability of the FOXF1 foxf1 for an application not listed in the data sheet. Researchers commonly develop new applications and it is an integral, important part of the investigative research process. It is sometimes possible for the material contained within the vial of "FOXF1, Polyclonal Antibody" to become dispersed throughout the inside of the vial, particularly around the seal of said vial, during shipment and storage. We always suggest centrifuging these vials to consolidate all of the liquid away from the lid and to the bottom of the vial prior to opening. Please be advised that certain products may require dry ice for shipping and that, if this is the case, an additional dry ice fee may also be required.Precautions
All products in the AAA Biotech catalog are strictly for research-use only, and are absolutely not suitable for use in any sort of medical, therapeutic, prophylactic, in-vivo, or diagnostic capacity. By purchasing a product from AAA Biotech, you are explicitly certifying that said products will be properly tested and used in line with industry standard. AAA Biotech and its authorized distribution partners reserve the right to refuse to fulfill any order if we have any indication that a purchaser may be intending to use a product outside of our accepted criteria.Disclaimer
Though we do strive to guarantee the information represented in this datasheet, AAA Biotech cannot be held responsible for any oversights or imprecisions. AAA Biotech reserves the right to adjust any aspect of this datasheet at any time and without notice. It is the responsibility of the customer to inform AAA Biotech of any product performance issues observed or experienced within 30 days of receipt of said product. To see additional details on this or any of our other policies, please see our Terms & Conditions page.Item has been added to Shopping Cart
If you are ready to order, navigate to Shopping Cart and get ready to checkout.
