Rabbit CASP3 Polyclonal Antibody | anti-CASP3 antibody
CASP3 Antibody (C-term)
FCM/FACS (Flow Cytometry)
(CASP3 Antibody (C-term) flow cytometric analysis of MDA-MB435 cells (right histogram) compared to a negative control cell (left histogram).FITC-conjugated goat-anti-rabbit secondary antibodies were used for the analysis.)
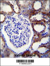
IHC (Immunohiostchemistry)
(CASP3 Antibody (C-term) immunohistochemistry analysis in formalin fixed and paraffin embedded human kidney tissue followed by peroxidase conjugation of the secondary antibody and DAB staining.This data demonstrates the use of CASP3 Antibody (C-term) for immunohistochemistry. Clinical relevance has not been evaluated.)
WB (Western Blot)
(CASP3 Antibody (C-term) western blot analysis in MDA-MB435 cell line lysates (35ug/lane).This demonstrates the CASP3 antibody detected the CASP3 protein (arrow).)
cysteine-aspartic acid protease (caspase) family. Sequential
activation of caspases plays a central role in the execution-phase
of cell apoptosis. Caspases exist as inactive proenzymes which
undergo proteolytic processing at conserved aspartic residues to
produce two subunits, large and small, that dimerize to form the
active enzyme. This protein cleaves and activates caspases 6, 7 and
9, and the protein itself is processed by caspases 8, 9 and 10. It
is the predominant caspase involved in the cleavage of amyloid-beta
4A precursor protein, which is associated with neuronal death in
Alzheimer's disease. Alternative splicing of this gene results in
two transcript variants that encode the same protein. [provided by
RefSeq].
Srikanth, C.V., et al. Science 330(6002):390-393(2010)
Burke, S.P., et al. J. Biol. Chem. 285(39):30061-30068(2010)
Chen, W., et al. Xi Bao Yu Fen Zi Mian Yi Xue Za Zhi 26(7):673-674(2010)
Bellini, M.F., et al. Anticancer Res. 30(7):2845-2849(2010)
NCBI and Uniprot Product Information
Customer Reviews
Loading reviews...
Share Your Experience
Similar Products
Product Notes
The CASP3 casp3 (Catalog #AAA290409) is an Antibody produced from Rabbit and is intended for research purposes only. The product is available for immediate purchase. The immunogen sequence is 219-248. The CASP3 Antibody (C-term) reacts with Human (Predicted Reactivity: Monkey, Mouse, Rabbit, Rat) and may cross-react with other species as described in the data sheet. AAA Biotech's CASP3 can be used in a range of immunoassay formats including, but not limited to, FCM/FACS (Flow Cytometry), IHC (Immunohistochemistry), ELISA, WB (Western Blot). Researchers should empirically determine the suitability of the CASP3 casp3 for an application not listed in the data sheet. Researchers commonly develop new applications and it is an integral, important part of the investigative research process. It is sometimes possible for the material contained within the vial of "CASP3, Polyclonal Antibody" to become dispersed throughout the inside of the vial, particularly around the seal of said vial, during shipment and storage. We always suggest centrifuging these vials to consolidate all of the liquid away from the lid and to the bottom of the vial prior to opening. Please be advised that certain products may require dry ice for shipping and that, if this is the case, an additional dry ice fee may also be required.Precautions
All products in the AAA Biotech catalog are strictly for research-use only, and are absolutely not suitable for use in any sort of medical, therapeutic, prophylactic, in-vivo, or diagnostic capacity. By purchasing a product from AAA Biotech, you are explicitly certifying that said products will be properly tested and used in line with industry standard. AAA Biotech and its authorized distribution partners reserve the right to refuse to fulfill any order if we have any indication that a purchaser may be intending to use a product outside of our accepted criteria.Disclaimer
Though we do strive to guarantee the information represented in this datasheet, AAA Biotech cannot be held responsible for any oversights or imprecisions. AAA Biotech reserves the right to adjust any aspect of this datasheet at any time and without notice. It is the responsibility of the customer to inform AAA Biotech of any product performance issues observed or experienced within 30 days of receipt of said product. To see additional details on this or any of our other policies, please see our Terms & Conditions page.Item has been added to Shopping Cart
If you are ready to order, navigate to Shopping Cart and get ready to checkout.
