Rabbit FOXL2 Polyclonal Antibody | anti-FOXL2 antibody
FOXL2 (RPab)
Reactivity
Human , Mouse , Pig , Bovine
Synonyms
FOXL2, Antibody; FOXL2 (RPab); foxl2; anti-foxl2; forkhead box l2; anti-forkhead box l2; fox-l2; anti-fox-l2; fox l2; anti-fox l2; forkhead box protein L2; forkhead transcription factor FOXL2; PFRK; PINTO; POF3; anti-FOXL2 antibody
Host
Rabbit
Reactivity
Human , Mouse , Pig , Bovine
Clonality
Polyclonal
Isotype
IgG
Form/Format
Anti-FOXL2 is a purified immunoglobullin fraction of rabbit antiserum that is a filter sterilized and diluted in buffer pH 7.5, containing BSA and sodium azide as a preservative.
Reactivity
Paraffin, Frozen
Immunogen
Synthetic peptide corresponding to the C-terminus residues of the human FOXL2 protein.
Control
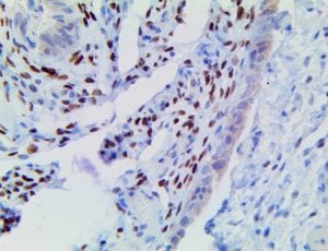
Fallopian Tube, Cervix, Pancreas, Placenta, Extra Marginal Zone Lymphoma
Localization
Cytoplasmic, Nuclear
Precautions
1. For professional users only. Results should be interpreted by a qualified medical professional.
2. This product contains <0.1% sodium azide (NaN3) as a preservative. Ensure proper handling procedures are used with this reagent.
3. Always wear personal protective equipment such as a laboratorycoat, goggles, and gloves when handling reagents.
4. Dispose of unused solution with copious amounts of water.
5. Do not ingest reagent. If reagent is ingested, seek medical advice immediately.
6. Avoid contact with eyes. If contact occurs, flush with large quantities of water.
7. Follow safety precautions of the heating device used for epitope retrieval (TintoRetriever Pressure Cooker or similar).
8. For additional safetyinformation refer to Safety Data Sheet for this product.
9. For complete recommendations for handling biological specimens, please refer to the CDC document,“Guidelines for Safe Work Practices in Human and AMDL (see References in this document).
2. This product contains <0.1% sodium azide (NaN3) as a preservative. Ensure proper handling procedures are used with this reagent.
3. Always wear personal protective equipment such as a laboratorycoat, goggles, and gloves when handling reagents.
4. Dispose of unused solution with copious amounts of water.
5. Do not ingest reagent. If reagent is ingested, seek medical advice immediately.
6. Avoid contact with eyes. If contact occurs, flush with large quantities of water.
7. Follow safety precautions of the heating device used for epitope retrieval (TintoRetriever Pressure Cooker or similar).
8. For additional safetyinformation refer to Safety Data Sheet for this product.
9. For complete recommendations for handling biological specimens, please refer to the CDC document,“Guidelines for Safe Work Practices in Human and AMDL (see References in this document).
Stability
This product is stable up to the expiration date on the product label. Do not use after expiration date listed on the package label. Temperature fluctuations should be avoided. Store appropriately when not in use, and avoid prolonged exposure to room temperature conditions.
Specimen Preparation
Paraffin sections: The antibody can be used on formalin-fixed paraffin-embedded (FFPE) tissue sections. Ensure tissue undergoes appropriate fixation for best results. Pre-treatment of tissues with heat-induced epitope retrieval (HIER) is recommended using ImmunoDNA Retriever with Citrate, ImmunoDNA Retriever with EDTA, or ImmunoDNA Digestor. See reverse side for complete protocol. Tissue should remain hydrated via use of Bio SB Immuno/DNAWasher solutions (Contact Tech Support).
Frozen sections and cell preparations
The antibody can be used on acetone-fixed frozen sections and acetone-fixed cell preparations.
IHC Protocol
1. Cut and mount 3-5 micron formalin-fixed paraffin-embedded tissues on positively charged slides such as Hydrophilic Plus Slides.
2. Air dry for 2 hours at 58° C.
3. Deparaffinize, dehydrate and rehydrate tissues.
4. Subject tissues to heat induced epitope retrieval (HIER) using a suitable retrieval solution such as ImmunoDNA Retriever with Citrate or EDTA.
5. Any of three heating methods may be used:
a.TintoRetriever Pressure Cooker or Equivalent
Place tissues/slides in a staining dish or coplin jar containing the ImmunoDNA Retriever with Citrate or EDTA and place on trivet in the pressure cooker. Add 1-2 inches of distilled water to the pressure cooker and turn heat to high. Incubate for 15 minutes. Open and immediately transfer slides to room temperature.
b.TintoRetriever PT Module or Water Bath MethodPlace tissues/slides in a pre-warmed staining dish or coplin jar containing the ImmunoDNA Retriever with Citrate or EDTA at 95°-99° C. Incubate for 30-60 minutes.
c. Conventional Steamer Method Place tissues/slides in a pre-warmed staining dish or coplin jar containing the ImmunoDNA Retriever with Citrate or EDTA in a steamer, cover and steam for 30-60 minutes.
6. After heat treatment, transfer slides in ImmunoDNA Retriever with Citrate or EDTA to room temperature and let stand for 15-20 minutes.
7. For manual IHC, perform antibody incubation at ambient temperature. For automated IHC methods, perform antibody incubation according to instrument manufacturer’s instructions.
8. Wash slides with ImmunoDNA washer or DI water.
9. Continue IHC protocol. Wash slides between each step with ImmunoDNA washer solution.
2. Air dry for 2 hours at 58° C.
3. Deparaffinize, dehydrate and rehydrate tissues.
4. Subject tissues to heat induced epitope retrieval (HIER) using a suitable retrieval solution such as ImmunoDNA Retriever with Citrate or EDTA.
5. Any of three heating methods may be used:
a.TintoRetriever Pressure Cooker or Equivalent
Place tissues/slides in a staining dish or coplin jar containing the ImmunoDNA Retriever with Citrate or EDTA and place on trivet in the pressure cooker. Add 1-2 inches of distilled water to the pressure cooker and turn heat to high. Incubate for 15 minutes. Open and immediately transfer slides to room temperature.
b.TintoRetriever PT Module or Water Bath MethodPlace tissues/slides in a pre-warmed staining dish or coplin jar containing the ImmunoDNA Retriever with Citrate or EDTA at 95°-99° C. Incubate for 30-60 minutes.
c. Conventional Steamer Method Place tissues/slides in a pre-warmed staining dish or coplin jar containing the ImmunoDNA Retriever with Citrate or EDTA in a steamer, cover and steam for 30-60 minutes.
6. After heat treatment, transfer slides in ImmunoDNA Retriever with Citrate or EDTA to room temperature and let stand for 15-20 minutes.
7. For manual IHC, perform antibody incubation at ambient temperature. For automated IHC methods, perform antibody incubation according to instrument manufacturer’s instructions.
8. Wash slides with ImmunoDNA washer or DI water.
9. Continue IHC protocol. Wash slides between each step with ImmunoDNA washer solution.
Specimen Preparation
Paraffin sections:
The antibody can be used on formalin-fixed paraffin-embedded (FFPE) tissue sections. Ensure tissue undergoes appropriate fixation for best results. Pre-treatment of tissues with heat-induced epitope retrieval (HIER) is recommended using ImmunoDNA Retriever with Citrate, ImmunoDNA Retriever with EDTA, or ImmunoDNA Digestor. See reverse side for complete protocol. Tissue should remain hydrated via use of Immuno/DNA Washer solutions.
The antibody can be used on formalin-fixed paraffin-embedded (FFPE) tissue sections. Ensure tissue undergoes appropriate fixation for best results. Pre-treatment of tissues with heat-induced epitope retrieval (HIER) is recommended using ImmunoDNA Retriever with Citrate, ImmunoDNA Retriever with EDTA, or ImmunoDNA Digestor. See reverse side for complete protocol. Tissue should remain hydrated via use of Immuno/DNA Washer solutions.
Mounting Protocols
For detailed instructions using biodegradable permanent mounting media such as XyGreen PermaMounter or organic solvent based resin such as PermaMounter, contact Technical Support.
Preparation and Storage
Store at 2-8°C (Control Slides: Store at 20-25°C)
Related Product Information for anti-FOXL2 antibody
The Forkhead box L2 (FOXL2) gene encodes FOXL2, a transcription factor involved in ovarian development and function. Before birth and in adulthood, the FOXL2 protein regulates the growth and proliferation of hormone-producing ovarian granulosa cells. FOXL2 is also involved in the breakdown of fats, steroid hormones, and potentially harmful reactive oxygen species in the ovaries.
FOXL2 antibody is a relatively sensitive and highly specific marker for Sex Cord-Stromal Tumors (SCST). FOXL2 antibody expression is present in almost all SCSTs with a FOXL2 mutation or without a mutation. A specific somatic mutation in the FOXL2 gene has been found in Adult Granulosa Cell Tumor (402C-->G/C134W), which is present in 70-95% of Ovarian Adult Granulosa Cell Tumors but not in Ovarian Fibromas. This mutation is also present in 2 of 5 men with Adult Granulosa Cell Tumor but absent in Ovarian Juvenile Granulosa Cell Tumors. Studies have demonstrated that FOXL2 is expressed in Cervical Squamous Cancer. FOXL2 suppresses the proliferation and promotes apoptosis of Cervical Cancer cells mainly through decreasing Ki-67 expression and increasing Fas ligand expression. FOXL2 has also been found to restrain the invasiveness of Cervical Cancer cells; hence, FOXL2 might be a novel tumor suppressor in Cervical Cancer. A study has demonstrated that FOXL2 antibody is expressed in Breast Cancer and influences clinical outcome with improved recurrence-free survival in cases with nuclear expression. In a multivariate Cox model, nuclear FOXL2 was a significant prognostic factor in ER-positive patients treated with tamoxifen and tumors expressing nuclear FOXL2 were also more likely positive for stromal and/or cytoplasmic aromatase.
FOXL2 antibody is a relatively sensitive and highly specific marker for Sex Cord-Stromal Tumors (SCST). FOXL2 antibody expression is present in almost all SCSTs with a FOXL2 mutation or without a mutation. A specific somatic mutation in the FOXL2 gene has been found in Adult Granulosa Cell Tumor (402C-->G/C134W), which is present in 70-95% of Ovarian Adult Granulosa Cell Tumors but not in Ovarian Fibromas. This mutation is also present in 2 of 5 men with Adult Granulosa Cell Tumor but absent in Ovarian Juvenile Granulosa Cell Tumors. Studies have demonstrated that FOXL2 is expressed in Cervical Squamous Cancer. FOXL2 suppresses the proliferation and promotes apoptosis of Cervical Cancer cells mainly through decreasing Ki-67 expression and increasing Fas ligand expression. FOXL2 has also been found to restrain the invasiveness of Cervical Cancer cells; hence, FOXL2 might be a novel tumor suppressor in Cervical Cancer. A study has demonstrated that FOXL2 antibody is expressed in Breast Cancer and influences clinical outcome with improved recurrence-free survival in cases with nuclear expression. In a multivariate Cox model, nuclear FOXL2 was a significant prognostic factor in ER-positive patients treated with tamoxifen and tumors expressing nuclear FOXL2 were also more likely positive for stromal and/or cytoplasmic aromatase.
Customer Reviews
Loading reviews...
Share Your Experience
Similar Products
Product Notes
The FOXL2 (Catalog #AAA59369) is an Antibody produced from Rabbit and is intended for research purposes only. The product is available for immediate purchase. The FOXL2 (RPab) reacts with Human, Mouse, Pig, Bovine and may cross-react with other species as described in the data sheet. It is sometimes possible for the material contained within the vial of "FOXL2, Polyclonal Antibody" to become dispersed throughout the inside of the vial, particularly around the seal of said vial, during shipment and storage. We always suggest centrifuging these vials to consolidate all of the liquid away from the lid and to the bottom of the vial prior to opening. Please be advised that certain products may require dry ice for shipping and that, if this is the case, an additional dry ice fee may also be required.Precautions
All products in the AAA Biotech catalog are strictly for research-use only, and are absolutely not suitable for use in any sort of medical, therapeutic, prophylactic, in-vivo, or diagnostic capacity. By purchasing a product from AAA Biotech, you are explicitly certifying that said products will be properly tested and used in line with industry standard. AAA Biotech and its authorized distribution partners reserve the right to refuse to fulfill any order if we have any indication that a purchaser may be intending to use a product outside of our accepted criteria.Disclaimer
Though we do strive to guarantee the information represented in this datasheet, AAA Biotech cannot be held responsible for any oversights or imprecisions. AAA Biotech reserves the right to adjust any aspect of this datasheet at any time and without notice. It is the responsibility of the customer to inform AAA Biotech of any product performance issues observed or experienced within 30 days of receipt of said product. To see additional details on this or any of our other policies, please see our Terms & Conditions page.Item has been added to Shopping Cart
If you are ready to order, navigate to Shopping Cart and get ready to checkout.
